Suppr超能文献

急性髓系白血病与慢性淋巴细胞白血病并存:一例报告

Simultaneous existence of acute myeloid leukemia and chronic lymphocytic leukemia: a case report.

作者信息

Al Mussaed Eman, Osman Hani, Elyamany Ghaleb

机构信息

Department of Basic Sciences, Hematopathology Division, Princess Nourah Bint Abdulrahman University, College of Medicine, Riyadh, Saudi Arabia.

Department of Adult Clinical Hematology and Stem cell Therapy, Prince Sultan Military Medical City, Riyadh, Kingdom of Saudi Arabia.

出版信息

BMC Cancer. 2016 Sep 19;16(1):739. doi: 10.1186/s12885-016-2780-5.

Abstract

BACKGROUND

The simultaneous Occurrence of chronic lymphocytic leukemia (CLL) and acute myeloid leukemia (AML) has been rarely reported. Most of these cases have been occurring more frequently as a secondary event in patients receiving chemotherapeutic agents for CLL.

CASE PRESENTATION

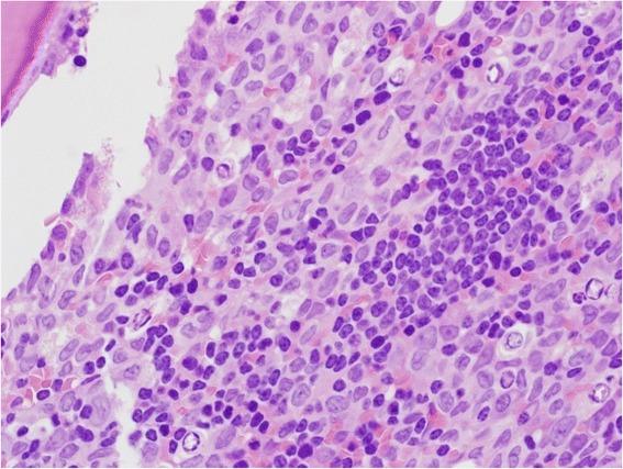
We describe a case of a 77-year-old man who presented with fatigue, pallor and lower limb pain and weakness. Initial laboratory studies showed Hb 7.7 g/dl, WBC 279.6 × 10(9)/1, PLT 143× 10(9)/1. The peripheral blood (PB) smear examination showed circulating blast cells (20 %) cells and 50 % lymphocytes, with smudge cells. A bone marrow examination showed infiltration by two discrete abnormal cell populations, one represents the leukemic blast cells (60 %) and the other represents small mature lymphocytes (30 %). The immunologic phenotype of blasts was characterized by the co-expression of CD13, CD33, CD14, CD4, CD15, CD64, HLA-DR, CD11c. Lymphocytes were characterized by a typical CLL immunophenotype: CD19+, CD5+, CD23+, CD20+ (dim) and negative for FMC7, CD34, CD10 and TdT. Cytogenetic studies were negative for CLL and AML panels. PCR assays for AML specific genetic abnormalities were negative. Immunoglobulin gene analysis established the clonal nature of the B-cell expansion. A final diagnosis of concomitant CLL and AML(FAB: M5) was made.

CONCLUSION

We have reported a case in which there was simultaneous presentation of AML and CLL. Both forms of leukemia were well documented by morphology, cytometric analysis and molecular studies. Our findings support the idea that this rare concurrence of AML and untreated CLL may represent two separate disease processes.

摘要

背景

慢性淋巴细胞白血病(CLL)与急性髓系白血病(AML)同时发生的情况鲜有报道。其中大多数病例更常见于接受CLL化疗药物治疗的患者中,作为继发事件出现。

病例介绍

我们描述了一名77岁男性患者,其表现为疲劳、面色苍白以及下肢疼痛和无力。初始实验室检查显示血红蛋白(Hb)7.7 g/dl,白细胞(WBC)279.6×10⁹/L,血小板(PLT)143×10⁹/L。外周血涂片检查显示循环中的原始细胞(20%)和50%的淋巴细胞,伴有涂抹细胞。骨髓检查显示有两种离散的异常细胞群浸润,一种代表白血病原始细胞(60%),另一种代表小成熟淋巴细胞(30%)。原始细胞的免疫表型特征为CD13、CD33、CD14、CD4、CD15、CD64、HLA - DR、CD11c共表达。淋巴细胞具有典型的CLL免疫表型:CD19⁺、CD5⁺、CD23⁺、CD20⁺(弱阳性),FMC7、CD34、CD10和TdT为阴性。细胞遗传学研究对CLL和AML检测均为阴性。AML特异性基因异常的聚合酶链反应(PCR)检测为阴性。免疫球蛋白基因分析确定了B细胞扩增的克隆性质。最终诊断为CLL与AML(FAB:M5)同时存在。

结论

我们报告了一例同时出现AML和CLL的病例。两种白血病形式均通过形态学、细胞计量分析和分子研究得到充分证实。我们的研究结果支持这样一种观点,即AML与未经治疗的CLL这种罕见的同时发生情况可能代表两个独立的疾病过程。

https://cdn.ncbi.nlm.nih.gov/pmc/blobs/2917/5028963/c25793b4ef6f/12885_2016_2780_Fig1_HTML.jpg

文献AI研究员

20分钟写一篇综述,助力文献阅读效率提升50倍。

立即体验

用中文搜PubMed

大模型驱动的PubMed中文搜索引擎

马上搜索

文档翻译

学术文献翻译模型,支持多种主流文档格式。

立即体验