Suppr超能文献

毕赤酵母中产生的病毒样颗粒诱导小鼠对柯萨奇病毒A16产生保护性免疫反应。

Virus-Like Particles Produced in Pichia Pastoris Induce Protective Immune Responses Against Coxsackievirus A16 in Mice.

作者信息

Feng Qianjin, He Yaqing, Lu Jiahai

机构信息

School of Public Health, Sun Yat-sen University, Guangzhou, Guangdong, China (mainland).

Microbiological Lab, Shenzhen Centers for Disease Control and Prevention, Shenzhen, Guangdong, China (mainland).

出版信息

Med Sci Monit. 2016 Sep 23;22:3370-3382. doi: 10.12659/msm.900380.

Abstract

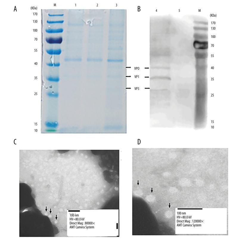
BACKGROUND Coxsackievirus A16 (CA16) is one of the main causative agents of hand, foot, and mouth disease (HFMD), and the development of a safe and effective vaccine has been a top priority among CA16 researchers. MATERIAL AND METHODS In this study, we developed a Pichia pastoris yeast system for secretory expression of the virus-like particles (VLPs) for CA16 by co-expression of the P1 and 3CD proteins of CA16. SDS-PAGE, Western blot, and transmission electron microscopy (TEM) were performed to identify the formation of VLPs. Immunogenicity and vaccine efficacy of the CA16 VLPs were assessed in BABL/c mouse models. RESULTS Biochemical and biophysical analysis showed that the yeast-expressed CA16 VLPs were composed of VP0, VP1, and VP3 capsid subunit proteins, and present spherical particles with a diameter of 30 nm, similar to the parental infectious CA16 virus. Furthermore, CA16 VLPs elicited potent humoral and cellular immune responses, and VLPs-immunized sera conferred efficient protection to neonatal mice against lethal CA16 challenge. CONCLUSIONS Our results demonstrate that VLPs produced in Pichia pastoris represent a safe and effective vaccine strategy for CA16.

摘要

背景 柯萨奇病毒A16(CA16)是手足口病(HFMD)的主要病原体之一,开发安全有效的疫苗一直是CA16研究人员的首要任务。材料与方法 在本研究中,我们通过共表达CA16的P1和3CD蛋白,开发了一种毕赤酵母系统用于分泌表达CA16的病毒样颗粒(VLPs)。进行SDS-PAGE、蛋白质印迹和透射电子显微镜(TEM)以鉴定VLPs的形成。在BABL/c小鼠模型中评估CA16 VLPs的免疫原性和疫苗效力。结果 生化和生物物理分析表明,酵母表达的CA16 VLPs由VP0、VP1和VP3衣壳亚基蛋白组成,呈现直径为30 nm的球形颗粒,类似于亲本感染性CA16病毒。此外,CA16 VLPs引发了强烈的体液和细胞免疫反应,并且用VLPs免疫的血清为新生小鼠提供了针对致命CA16攻击的有效保护。结论 我们的结果表明,在毕赤酵母中产生的VLPs代表了一种针对CA16的安全有效的疫苗策略。

https://cdn.ncbi.nlm.nih.gov/pmc/blobs/bca3/5036384/df20b32149d1/medscimonit-22-3370-g001.jpg

文献AI研究员

20分钟写一篇综述,助力文献阅读效率提升50倍。

立即体验

用中文搜PubMed

大模型驱动的PubMed中文搜索引擎

马上搜索

文档翻译

学术文献翻译模型,支持多种主流文档格式。

立即体验