Suppr超能文献

Spontaneous recovery of post-traumatic acute bilateral facial and abducens nerve palsy.

作者信息

Salunke Pravin, Madhivanan Karthigeyan, Kamali Nasib, Garg Ravi

机构信息

Department of Neurosurgery, PGIMER, Chandigarh, India.

出版信息

Asian J Neurosurg. 2016 Oct-Dec;11(4):446. doi: 10.4103/1793-5482.145056.

Abstract

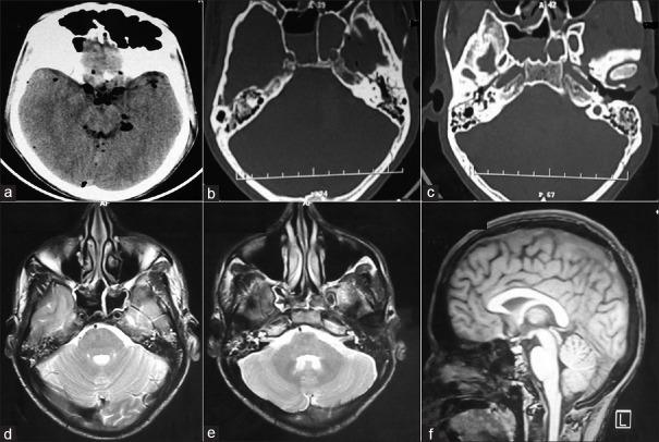
Bilateral abducens and facial palsy following head injury are extremely rare. We present a patient with post-traumatic bilateral facial and abducens palsy. There were bitemporal fractures that did not correspond with the facial canal. Despite complete facial palsy with axonal degeneration and > 90% facial muscle degenervation, conservative management helped. This report highlights the importance of conservative management in post-traumatic complete facial palsy especially when the fracture line does not correspond with the facial canal.

摘要
https://cdn.ncbi.nlm.nih.gov/pmc/blobs/4541/4974977/3912d7d3b756/AJNS-11-446a-g001.jpg

文献AI研究员

20分钟写一篇综述,助力文献阅读效率提升50倍。

立即体验

用中文搜PubMed

大模型驱动的PubMed中文搜索引擎

马上搜索

文档翻译

学术文献翻译模型,支持多种主流文档格式。

立即体验