Suppr超能文献

拔牙后翼下颌间隙脓肿并发脑膜炎和硬膜下积脓。

Meningitis and subdural empyema as complication of pterygomandibular space abscess upon tooth extraction.

作者信息

Cariati Paolo, Cabello-Serrano Almudena, Monsalve-Iglesias Fernando, Roman-Ramos Maria, Garcia-Medina Blas

机构信息

Oral and Maxillofacial surgery resident. Hospital Universitario Virgen de las nieves, Granada, Spain.

Maxillofacial Surgeon. Hospital Universitario Virgen de las nieves, Granada, Spain.

出版信息

J Clin Exp Dent. 2016 Oct 1;8(4):e469-e472. doi: 10.4317/jced.52916. eCollection 2016 Oct.

Abstract

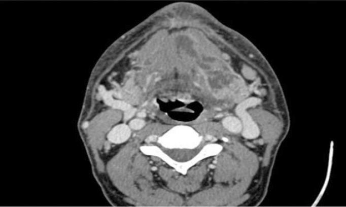
Complication of dental infections might be various and heterogeneous. The most common complications are represented by maxilar celulitis, canine space celulitis, infratemporal space celulitis, temporal celulitis and bacteremia. Among rarest complications we found: sepsis, bacterial endocarditis, mediastinitis, intracranial complications, osteomyelitis, etc. Although dental infections are often considered trivial entities, sometimes they can reach an impressive gravity. In this regard, the present study describes a case of dental infection complicated by meningitis, subdural empiema and cerebral vasculitis. Furthermore, we observed other neurological complications, like thalamic ischemic infarction, during the disease evolution. Noteworthy, these entities were not presented when the patient was admitted to hospital. Therefore, the main aim of this report is to highlight the serious consequences that an infection of dental origin could cause. Meningitis, subdural empyema, odontogenic infections.

摘要

牙齿感染的并发症可能多种多样且各不相同。最常见的并发症表现为上颌蜂窝织炎、尖牙间隙蜂窝织炎、颞下间隙蜂窝织炎、颞部蜂窝织炎和菌血症。在罕见的并发症中,我们发现有:败血症、细菌性心内膜炎、纵隔炎、颅内并发症、骨髓炎等。尽管牙齿感染通常被认为是微不足道的病症,但有时它们会发展到令人震惊的严重程度。在这方面,本研究描述了一例并发脑膜炎、硬膜下积脓和脑血管炎的牙齿感染病例。此外,在疾病发展过程中,我们还观察到了其他神经并发症,如丘脑缺血性梗死。值得注意的是,患者入院时并未出现这些病症。因此,本报告的主要目的是强调牙源性感染可能导致的严重后果。脑膜炎、硬膜下积脓、牙源性感染。

https://cdn.ncbi.nlm.nih.gov/pmc/blobs/bb73/5045698/08a0ff4e3180/jced-8-e469-g001.jpg

文献AI研究员

20分钟写一篇综述,助力文献阅读效率提升50倍。

立即体验

用中文搜PubMed

大模型驱动的PubMed中文搜索引擎

马上搜索

文档翻译

学术文献翻译模型,支持多种主流文档格式。

立即体验