• 文献检索
  • 文档翻译
  • 深度研究
  • 学术资讯
  • Suppr Zotero 插件Zotero 插件
  • 邀请有礼
  • 套餐&价格
  • 历史记录
应用&插件
Suppr Zotero 插件Zotero 插件浏览器插件Mac 客户端Windows 客户端微信小程序
定价
高级版会员购买积分包购买API积分包
服务
文献检索文档翻译深度研究API 文档MCP 服务
关于我们
关于 Suppr公司介绍联系我们用户协议隐私条款
关注我们

Suppr 超能文献

核心技术专利:CN118964589B侵权必究
粤ICP备2023148730 号-1Suppr @ 2026

文献检索

告别复杂PubMed语法,用中文像聊天一样搜索,搜遍4000万医学文献。AI智能推荐,让科研检索更轻松。

立即免费搜索

文件翻译

保留排版,准确专业,支持PDF/Word/PPT等文件格式,支持 12+语言互译。

免费翻译文档

深度研究

AI帮你快速写综述,25分钟生成高质量综述,智能提取关键信息,辅助科研写作。

立即免费体验

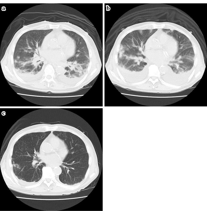
肺部嗜酸性粒细胞疾病中的肿瘤溶解样综合征:一例报告及文献复习

Tumor Lysis-like Syndrome in Eosinophilic Disease of the Lung: A Case Report and Review of the Literature.

作者信息

Urae Seiya, Tsuruoka Kayori, Kuroya Sayaka, Shibagaki Yugo

机构信息

Division of Nephrology and Hypertension, St. Marianna University School of Medicine, Japan.

出版信息

Intern Med. 2016;55(20):3029-3034. doi: 10.2169/internalmedicine.55.6659. Epub 2016 Oct 15.

DOI:10.2169/internalmedicine.55.6659
PMID:27746444
原文链接:https://pmc.ncbi.nlm.nih.gov/articles/PMC5109574/
Abstract

Tumor lysis syndrome (TLS) is a metabolic disorder that is generally associated with a malignancy leading to hyperuricemia, hyperphosphatemia, and acute kidney injury. On the other hand, we sometimes encounter these phenomena in nonmalignant disease, which has been referred to as tumor lysis-like syndrome in some studies. We herein experienced a case in which tumor lysis-like syndrome occurred in the course of therapy for eosinophilic disease of the lung, a nonmalignant disease. Even in nonmalignant disease, massive cell lysis induced by therapy can cause phenomena such as TLS or tumor lysis-like syndrome.

摘要

肿瘤溶解综合征(TLS)是一种代谢紊乱,通常与恶性肿瘤相关,可导致高尿酸血症、高磷血症和急性肾损伤。另一方面,我们有时在非恶性疾病中也会遇到这些现象,在一些研究中,这被称为肿瘤溶解样综合征。我们在此报告一例在治疗肺部嗜酸性疾病(一种非恶性疾病)过程中发生肿瘤溶解样综合征的病例。即使在非恶性疾病中,治疗引起的大量细胞溶解也可导致诸如TLS或肿瘤溶解样综合征等现象。

https://cdn.ncbi.nlm.nih.gov/pmc/blobs/bc1a/5109574/74529e935115/1349-7235-55-3029-g002.jpg
https://cdn.ncbi.nlm.nih.gov/pmc/blobs/bc1a/5109574/8db029d1240c/1349-7235-55-3029-g001.jpg
https://cdn.ncbi.nlm.nih.gov/pmc/blobs/bc1a/5109574/74529e935115/1349-7235-55-3029-g002.jpg
https://cdn.ncbi.nlm.nih.gov/pmc/blobs/bc1a/5109574/8db029d1240c/1349-7235-55-3029-g001.jpg
https://cdn.ncbi.nlm.nih.gov/pmc/blobs/bc1a/5109574/74529e935115/1349-7235-55-3029-g002.jpg

相似文献

1
Tumor Lysis-like Syndrome in Eosinophilic Disease of the Lung: A Case Report and Review of the Literature.肺部嗜酸性粒细胞疾病中的肿瘤溶解样综合征:一例报告及文献复习
Intern Med. 2016;55(20):3029-3034. doi: 10.2169/internalmedicine.55.6659. Epub 2016 Oct 15.
2
[Tumor lysis syndrome].[肿瘤溶解综合征]
Wiad Lek. 2015;68(4 Pt 2):664-7.
3
Tumor lysis syndrome: review of pathogenesis, risk factors and management of a medical emergency.肿瘤溶解综合征:发病机制、危险因素和医疗急症处理的综述。
Expert Rev Hematol. 2016;9(2):197-208. doi: 10.1586/17474086.2016.1127156. Epub 2016 Jan 8.
4
Tumour lysis syndrome: implications for cancer therapy.肿瘤溶解综合征:对癌症治疗的影响。
Asian Pac J Cancer Prev. 2012;13(8):3555-60. doi: 10.7314/apjcp.2012.13.8.3555.
5
Tumor lysis syndrome and acute kidney injury: evaluation, prevention, and management.肿瘤溶解综合征和急性肾损伤:评估、预防和管理。
Am J Kidney Dis. 2010 May;55(5 Suppl 3):S1-13; quiz S14-9. doi: 10.1053/j.ajkd.2009.10.056.
6
Tumor lysis syndrome: a systematic review of case series and case reports.肿瘤溶解综合征:病例系列和病例报告的系统评价。
Postgrad Med. 2012 Mar;124(2):92-101. doi: 10.3810/pgm.2012.03.2540.
7
Managing tumor lysis syndrome.肿瘤溶解综合征的管理。
JAAPA. 2021 Jan 1;34(1):10-13. doi: 10.1097/01.JAA.0000723908.23506.85.
8
Emergency care: the tumor lysis syndrome.急诊护理:肿瘤溶解综合征
Rev Med Chir Soc Med Nat Iasi. 2002 Oct-Dec;106(4):705-11.
9
Acute tumour lysis syndrome after oral fludarabine in a patient with chronic lymphocytic leukaemia.一名慢性淋巴细胞白血病患者口服氟达拉滨后发生急性肿瘤溶解综合征。
Hematol J. 2004;5(6):528-9. doi: 10.1038/sj.thj.6200409.
10
[Recommendations for tumor lysis syndrome management].[肿瘤溶解综合征管理建议]
Arch Argent Pediatr. 2020 Apr;118(2):S59-S63. doi: 10.5546/aap.2020.S59.

本文引用的文献

1
Tumor lysis syndrome: A clinical review.肿瘤溶解综合征:临床综述
World J Crit Care Med. 2015 May 4;4(2):130-8. doi: 10.5492/wjccm.v4.i2.130.
2
Low-dose steroid-induced tumor lysis syndrome in a hepatocellular carcinoma patient.一名肝细胞癌患者发生低剂量类固醇诱导的肿瘤溶解综合征。
Clin Mol Hepatol. 2015 Mar;21(1):85-8. doi: 10.3350/cmh.2015.21.1.85. Epub 2015 Mar 25.
3
Hyperuricemia and acute kidney injury secondary to spontaneous tumor lysis syndrome in low risk myelodysplastic syndrome.低危骨髓增生异常综合征继发自发性肿瘤溶解综合征所致高尿酸血症和急性肾损伤
BMC Nephrol. 2014 Oct 11;15:164. doi: 10.1186/1471-2369-15-164.
4
Tumor lysis syndrome after propranolol therapy in ulcerative infantile hemangioma: rare complication or incidental finding?普萘洛尔治疗溃疡性婴幼儿血管瘤后发生肿瘤溶解综合征:罕见并发症还是偶然发现?
Dermatology. 2012;224(2):106-9. doi: 10.1159/000337553. Epub 2012 Apr 19.
5
Lysis syndrome during therapy of visceral leishmaniasis.内脏利什曼病治疗期间的溶解综合征。
Infection. 2012 Apr;40(2):121-3. doi: 10.1007/s15010-011-0202-9. Epub 2011 Oct 18.
6
The tumor lysis syndrome.肿瘤溶解综合征
N Engl J Med. 2011 May 12;364(19):1844-54. doi: 10.1056/NEJMra0904569.
7
Acute tumor lysis syndrome - a rare complication in the treatment of solid tumors.急性肿瘤溶解综合征——实体瘤治疗中的一种罕见并发症。
Onkologie. 2010;33(10):498-9. doi: 10.1159/000320581. Epub 2010 Sep 6.
8
Tumor lysis syndrome and acute kidney injury: evaluation, prevention, and management.肿瘤溶解综合征和急性肾损伤:评估、预防和管理。
Am J Kidney Dis. 2010 May;55(5 Suppl 3):S1-13; quiz S14-9. doi: 10.1053/j.ajkd.2009.10.056.
9
The tumor lysis syndrome in a child with multicentric Castleman disease.一名患有多中心Castleman病儿童的肿瘤溶解综合征。
J Pediatr Hematol Oncol. 2010 Apr;32(3):247-9. doi: 10.1097/mph.0b013e3181cef45a.
10
Recommendations for the evaluation of risk and prophylaxis of tumour lysis syndrome (TLS) in adults and children with malignant diseases: an expert TLS panel consensus.恶性肿瘤成人和儿童肿瘤溶解综合征(TLS)风险评估和预防推荐:专家 TLS 小组共识。
Br J Haematol. 2010 May;149(4):578-86. doi: 10.1111/j.1365-2141.2010.08143.x. Epub 2010 Mar 16.