Fathi Afshin, Amani Firuz, Davoodi Mohammad, Bahadoram Sara, Bahadoram Mohammad
Associate Professor of Pediatric Haematology Oncology, Faculty of Medicine, Ardabil University of Medical Sciences, Ardabil, IR Iran.
Associate Professor of Biostatistics and Epidemiology, Ardabil University of Medical Sciences, Ardabil, IR Iran.
Iran J Cancer Prev. 2016 Jun 15;9(4):e4277. doi: 10.17795/ijcp-4277. eCollection 2016 Aug.
Nasopharyngeal carcinoma among the children has been rare accounting for only 1% of all pediatric malignancies. Both genetic and environmental factors have contributed to the development of nasopharyngeal carcinoma. Among the children there was a higher rate of undifferentiated histology. The mean age of nasopharyngeal carcinoma diagnosis has been 11 years old age; and the most common site was nasopharynx. Palpable lymphadenopathy, dysphasia and neural defect were common associated signs.
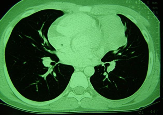
A 15-year-old boy has presented with a mass that located near by the heart in the left side of mediastinum with invasion to anterior mediastinum from two years ago. In biopsy, nasopharyngeal carcinoma, non-keratinizing type, has diagnosed while there was no involvement of nasopharyngeal region. Patient has treated by 70 Gy (2.0 Gy/fraction) radiotherapy plus concomitant chemotherapy with base of docetaxel. But the mass had no regression. Then, the patient has treated with Cisplatin 100 mg/m IV on days 1, 22, and 43 with radiation, then cisplatin 80 mg/m IV on day 1 plus fluorouracil (5-FU) 1000 mg/m/day by continuous IV infusion on days 1 - 4 every 4wk for 3 cycles and after remission interferon beta has added to treatment for 6 months duration as a maintenance therapy. After 1 year follow up; the patient was in complete remission. In the course of therapy, only hypothyroidism has occurred.
Nasopharyngeal carcinoma in childhood, without nasopharyngeal involvement, initially could be detected in other sites such as pericardium. Also good results could be respected by cisplatin and 5-fluorouracil based neoadjuvant chemotherapy before radiotherapy plus interferon beta as a maintenance therapy in childhood aggressive nasopharyngeal carcinoma.