Suppr超能文献

Partial splenectomy for a giant epidermoid cyst of the spleen.

作者信息

Valverde Martinez Amparo, Roldan Ortiz Susana, Fornell Ariza Mercedes, Castro Santiago Maria Jesús

机构信息

General Surgery University Hospital Puerta del Mar from Cádiz Avda. Ana de Viya s/n Cádiz 11009 Spain.

出版信息

Clin Case Rep. 2016 Sep 8;4(10):1013-1016. doi: 10.1002/ccr3.670. eCollection 2016 Oct.

Abstract

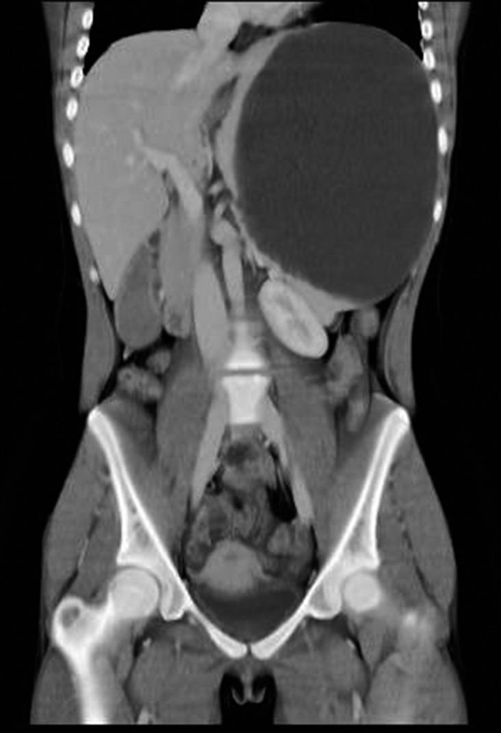
The splenic epidermoid cysts are rare benign tumors, and a definitive treatment remains unclear. Although some spleen-preserving approaches have been reportedly used, splenic cyst recurrence usually occurs in true cyst cases, wherein the cyst is incompletely removed. In our case, partial splenectomy was performed and the giant cyst was completely removed.

摘要
https://cdn.ncbi.nlm.nih.gov/pmc/blobs/7777/5054483/7b1f55feb775/CCR3-4-1013-g001.jpg

文献AI研究员

20分钟写一篇综述,助力文献阅读效率提升50倍。

立即体验

用中文搜PubMed

大模型驱动的PubMed中文搜索引擎

马上搜索

文档翻译

学术文献翻译模型,支持多种主流文档格式。

立即体验