Suppr超能文献

自发性多灶性冠状动脉痉挛:一例报告

Spontaneous multi-focal coronary artery spasm: a case report.

作者信息

Ostovan Mohammad Ali, Khanian Mahdi Sajedi, Hamidi Sahand, Fattahi Mostafa, Dehghani Pooyan

机构信息

Cardiology Department, School of Medicine, Shiraz University of Medical Sciences, Shiraz, Iran ; Cardiovascular Research Center, Shiraz University of Medical Sciences, Shiraz, Iran.

出版信息

J Cardiovasc Thorac Res. 2016;8(3):137-139. doi: 10.15171/jcvtr.2016.28. Epub 2016 Sep 25.

Abstract

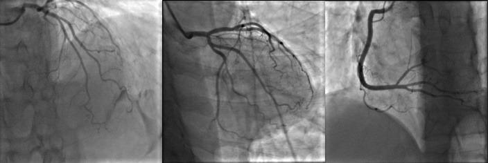
Spontaneous coronary artery vasospasm is one of the important causes of acute chest pain syndromes. The diagnosis of diffuse multifocal spasm can be quite challenging and it could be easily mistaken for diffuse coronary artery disease. The use of intracoronary nitroglycerin can relieve spasm and reveal the real extent of coronary artery disease. Herein we present a case presenting with acute myocardial infarction due to severe coronary artery spasm that had even received fibrinolytic therapy. Multiple narrowing was shown during coronary angiography and the patient was scheduled for percutaneous coronary intervention (PCI). But after intracoronary (IC) injection of nitroglycerin, all of lesions disappeared completely and the diagnosis of coronary spasm was confirmed.

摘要

自发性冠状动脉血管痉挛是急性胸痛综合征的重要病因之一。弥漫性多灶性痉挛的诊断颇具挑战性,很容易被误诊为弥漫性冠状动脉疾病。冠状动脉内使用硝酸甘油可缓解痉挛并揭示冠状动脉疾病的实际范围。在此,我们报告一例因严重冠状动脉痉挛导致急性心肌梗死的病例,该患者甚至接受了溶栓治疗。冠状动脉造影显示多处狭窄,患者计划接受经皮冠状动脉介入治疗(PCI)。但在冠状动脉内(IC)注射硝酸甘油后,所有病变完全消失,冠状动脉痉挛的诊断得以证实。

https://cdn.ncbi.nlm.nih.gov/pmc/blobs/a028/5075363/d617c0f07d31/jcvtr-8-137-g001.jpg

文献AI研究员

20分钟写一篇综述,助力文献阅读效率提升50倍。

立即体验

用中文搜PubMed

大模型驱动的PubMed中文搜索引擎

马上搜索

文档翻译

学术文献翻译模型,支持多种主流文档格式。

立即体验