Suppr超能文献

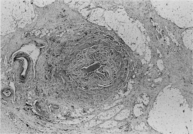
Gallbladder carcinoma and retroperitoneal fibrosis: a rare combination.

作者信息

Armstrong M B, Olson P R, Townsend R N

出版信息

J Natl Med Assoc. 1989 Sep;81(9):1001-1005-6, 1011.

Abstract

Retroperitoneal fibrosis secondary to carcinoma of the gallbladder has not been reported previously. Such a combination is reported and a review of the pertinent literature presented.

摘要
https://cdn.ncbi.nlm.nih.gov/pmc/blobs/c952/2626069/e6f11e790b04/jnma00904-0109-a.jpg

文献AI研究员

20分钟写一篇综述,助力文献阅读效率提升50倍。

立即体验

用中文搜PubMed

大模型驱动的PubMed中文搜索引擎

马上搜索

文档翻译

学术文献翻译模型,支持多种主流文档格式。

立即体验