Suppr超能文献

An object localization optimization technique in medical images using plant growth simulation algorithm.

作者信息

Bhattacharjee Deblina, Paul Anand, Kim Jeong Hong, Kim Mucheol

机构信息

Department of Computer Science and Engineering, Kyungpook National University, Daegu, South Korea.

The Department of Media Software, Sungkyul University, Anyang, South Korea.

出版信息

Springerplus. 2016 Oct 13;5(1):1784. doi: 10.1186/s40064-016-3444-2. eCollection 2016.

Abstract

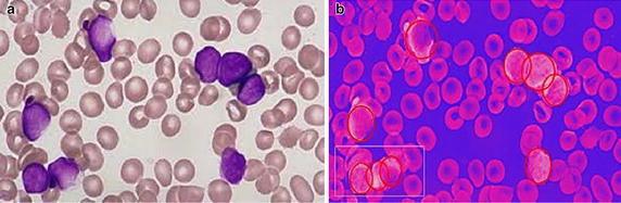
The analysis of leukocyte images has drawn interest from fields of both medicine and computer vision for quite some time where different techniques have been applied to automate the process of manual analysis and classification of such images. Manual analysis of blood samples to identify leukocytes is time-consuming and susceptible to error due to the different morphological features of the cells. In this article, the nature-inspired plant growth simulation algorithm has been applied to optimize the image processing technique of object localization of medical images of leukocytes. This paper presents a random bionic algorithm for the automated detection of white blood cells embedded in cluttered smear and stained images of blood samples that uses a fitness function that matches the resemblances of the generated candidate solution to an actual leukocyte. The set of candidate solutions evolves via successive iterations as the proposed algorithm proceeds, guaranteeing their fit with the actual leukocytes outlined in the edge map of the image. The higher precision and sensitivity of the proposed scheme from the existing methods is validated with the experimental results of blood cell images. The proposed method reduces the feasible sets of growth points in each iteration, thereby reducing the required run time of load flow, objective function evaluation, thus reaching the goal state in minimum time and within the desired constraints.

摘要
https://cdn.ncbi.nlm.nih.gov/pmc/blobs/8a61/5063838/013248116e6d/40064_2016_3444_Fig1_HTML.jpg

文献AI研究员

20分钟写一篇综述,助力文献阅读效率提升50倍。

立即体验

用中文搜PubMed

大模型驱动的PubMed中文搜索引擎

马上搜索

文档翻译

学术文献翻译模型,支持多种主流文档格式。

立即体验