Suppr超能文献

葡萄膜黑色素瘤:诊断与治疗的当前趋势

Uveal Melanoma: Current Trends in Diagnosis and Management.

作者信息

Tarlan Berçin, Kıratlı Hayyam

机构信息

Private Practice, Ophthalmology, Ankara, Turkey.

Hacettepe University Faculty of Medicine, Department of Ophthalmology, Ankara, Turkey.

出版信息

Turk J Ophthalmol. 2016 Jun;46(3):123-137. doi: 10.4274/tjo.37431. Epub 2016 Jun 6.

Abstract

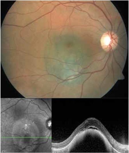
Uveal melanoma, which is the most common primary intraocular malignancy in adults, arises from melanocytes within the iris, ciliary body and choroid. The diagnosis is based principally on clinical examination of the tumor with biomicroscopy and indirect ophthalmoscopy and confirmed by diagnostic techniques such as ultrasonography, fundus fluorescein angiography and optical coherence tomography. The clinical diagnosis of posterior uveal melanomas can be made when the classical appearance of a pigmented dome-shaped mass is detected on dilated fundus exam. Uveal melanomas classically show low to medium reflectivity on A-scan ultrasonography and on B-scan ultrasonography the tumor appears as a hyperechoic, acoustically hollow intraocular mass. Management of a suspicious pigmented lesion is determined by its risk factors of transforming into a choroidal melanoma, such as documentation of growth, thickness greater than 2 mm, presence of subretinal fluid, symptoms and orange pigment, margin within 3 mm of the optic disc, and absence of halo and drusen. Advances in the diagnosis and local and systemic treatment of uveal melanoma have caused a shift from enucleation to eye-conserving treatment modalities including transpupillary thermotherapy and radiotherapy over the past few decades. Prognosis can be most accurately predicted by genetic profiling of fine needle aspiration biopsy of the tumor before the treatment, and high-risk patients can now be identified for clinical trials that may lead to target-based therapies for metastatic disease and adjuvant therapy which aims to prevent metastatic disease.

摘要

葡萄膜黑色素瘤是成人中最常见的原发性眼内恶性肿瘤,起源于虹膜、睫状体和脉络膜内的黑素细胞。诊断主要基于通过生物显微镜和间接检眼镜对肿瘤进行临床检查,并通过超声检查、眼底荧光血管造影和光学相干断层扫描等诊断技术得以证实。当在散瞳眼底检查中检测到色素性圆顶状肿块的典型表现时,可做出后葡萄膜黑色素瘤的临床诊断。葡萄膜黑色素瘤在A超检查中通常表现为低至中等反射率,在B超检查中,肿瘤表现为高回声、声学上呈中空的眼内肿块。对可疑色素性病变的处理取决于其转化为脉络膜黑色素瘤的危险因素,如生长记录、厚度大于2mm、存在视网膜下液、症状和橙色色素、距视盘边缘3mm以内、无晕轮和玻璃膜疣。在过去几十年中,葡萄膜黑色素瘤诊断以及局部和全身治疗方面的进展已导致治疗方式从眼球摘除术转向包括经瞳孔温热疗法和放射疗法在内的保眼治疗方式。治疗前通过对肿瘤细针穿刺活检进行基因分析可以最准确地预测预后,现在可以识别出高危患者,以便参加可能导致针对转移性疾病的靶向治疗和旨在预防转移性疾病的辅助治疗的临床试验。

https://cdn.ncbi.nlm.nih.gov/pmc/blobs/9565/5076295/a7c334d10a12/TJO-46-123-g2.jpg

文献AI研究员

20分钟写一篇综述,助力文献阅读效率提升50倍。

立即体验

用中文搜PubMed

大模型驱动的PubMed中文搜索引擎

马上搜索

文档翻译

学术文献翻译模型,支持多种主流文档格式。

立即体验