Suppr超能文献

γ辐射对转录因子IIIA锌指结构的损伤

Gamma Radiation-Induced Damage in the Zinc Finger of the Transcription Factor IIIA.

作者信息

Zhang XiaoHong, Miao YuJi, Hu XiaoDan, Min Rui, Liu PeiDang, Zhang HaiQian

机构信息

Department of Nuclear Science and Engineering, Nanjing University of Aeronautics and Astronautics, Nanjing 210016, China; Jiangsu Key Laboratory for Biomaterials and Devices, Southeast University, Nanjing 210009, China; Collaborative Innovation Center of Radiation Medicine, Jiangsu Higher Education Institutions, Suzhou University, Suzhou 215123, China.

Department of Nuclear Science and Engineering, Nanjing University of Aeronautics and Astronautics, Nanjing 210016, China.

出版信息

Bioinorg Chem Appl. 2016;2016:1642064. doi: 10.1155/2016/1642064. Epub 2016 Oct 10.

Abstract

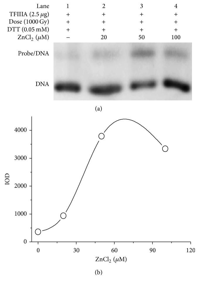
A zinc finger motif is an element of proteins that can specifically recognize and bind to DNA. Because they contain multiple cysteine residues, zinc finger motifs possess redox properties. Ionizing radiation generates a variety of free radicals in organisms. Zinc finger motifs, therefore, may be a target of ionizing radiation. The effect of gamma radiation on the zinc finger motifs in transcription factor IIIA (TFIIIA), a zinc finger protein, was investigated. TFIIIA was exposed to different gamma doses from Co sources. The dose rates were 0.20 Gy/min and 800 Gy/h, respectively. The binding capacity of zinc finger motifs in TFIIIA was determined using an electrophoretic mobility shift assay. We found that 1000 Gy of gamma radiation impaired the function of the zinc finger motifs in TFIIIA. The sites of radiation-induced damage in the zinc finger were the thiol groups of cysteine residues and zinc (II) ions. The thiol groups were oxidized to form disulfide bonds and the zinc (II) ions were indicated to be reduced to zinc atoms. These results indicate that the zinc finger motif is a target domain for gamma radiation, which may decrease 5S rRNA expression via impairment of the zinc finger motifs in TFIIIA.

摘要

锌指基序是蛋白质的一种元件,能够特异性识别并结合DNA。由于它们含有多个半胱氨酸残基,锌指基序具有氧化还原特性。电离辐射在生物体中产生多种自由基。因此,锌指基序可能是电离辐射的一个靶点。研究了γ辐射对锌指蛋白转录因子IIIA(TFIIIA)中锌指基序的影响。将TFIIIA暴露于来自钴源的不同γ剂量下。剂量率分别为0.20 Gy/min和800 Gy/h。使用电泳迁移率变动分析来测定TFIIIA中锌指基序的结合能力。我们发现1000 Gy的γ辐射损害了TFIIIA中锌指基序的功能。锌指中辐射诱导损伤的位点是半胱氨酸残基的巯基和锌(II)离子。巯基被氧化形成二硫键,并且锌(II)离子被证实还原为锌原子。这些结果表明锌指基序是γ辐射的一个靶结构域,γ辐射可能通过损害TFIIIA中的锌指基序来降低5S rRNA的表达。

https://cdn.ncbi.nlm.nih.gov/pmc/blobs/f8b1/5075647/3839d74f9f86/BCA2016-1642064.001.jpg

文献AI研究员

20分钟写一篇综述,助力文献阅读效率提升50倍。

立即体验

用中文搜PubMed

大模型驱动的PubMed中文搜索引擎

马上搜索

文档翻译

学术文献翻译模型,支持多种主流文档格式。

立即体验