Xu Li, Fan Qiuling, Wang Xu, Zhao Xue, Wang Lining
Department of Nephrology, First Hospital of China Medical University, Shenyang, China.
Department of Gastroenterology, First Hospital of China Medical University, Shenyang, China.
Cell Death Dis. 2016 Nov 3;7(11):e2445. doi: 10.1038/cddis.2016.322.
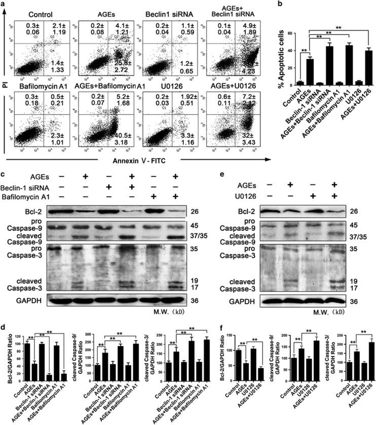
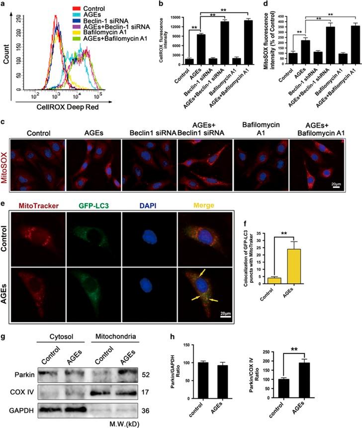
The aim of our study was to investigate the role of autophagy, a homeostatic process involved in the lysosomal degradation of damaged cell organelles and proteins, in regulating the survival of mesangial cells treated with advanced glycation end products (AGEs). In the present study, AGEs induced mitochondrial depolarization and led to mitochondrial-dependent apoptosis in mesangial cells, as shown by the loss of the mitochondrial membrane potential; increased Bax processing; increased Caspase-9, Caspase-3 and PARP cleavage; and decreased Bcl-2 expression. Meanwhile, AGEs also triggered autophagy flux in mesangial cells, as confirmed by the presence of autophagic vesicles, the conversion of LC3II/LC3I and the increase/decrease in Beclin-1/p62 expression. Interestingly, this study reported apparent apoptosis and autophagy that were dependent on reactive oxygen species (ROS) production. Scavenging ROS with N-acetyl-l-cysteine could prevent the appearance of the autophagic features and reverse AGE-induced apoptosis. Moreover, AGE-triggered mitophagy, which was confirmed by the colocalization of autophagosomes and mitochondria and Parkin translocation to mitochondria, played a potential role in reducing ROS production in mesangial cells. Additionally, inhibition of autophagy significantly enhanced AGE-induced cell apoptosis. Taken together, our data suggest that ROS were the mediators of AGE-induced mesangial cell apoptosis and that autophagy was likely to be the mechanism that was triggered to repair the ROS-induced damage in the AGE-treated cells and thereby promote cell survival. This study provides new insights into the molecular mechanism of autophagy involved in AGE-induced apoptosis in mesangial cells.
我们研究的目的是探讨自噬(一种参与受损细胞器和蛋白质溶酶体降解的稳态过程)在调节经晚期糖基化终产物(AGEs)处理的系膜细胞存活中的作用。在本研究中,AGEs诱导线粒体去极化,并导致系膜细胞发生线粒体依赖性凋亡,表现为线粒体膜电位丧失、Bax加工增加、Caspase-9、Caspase-3和PARP裂解增加以及Bcl-2表达降低。同时,AGEs还触发了系膜细胞中的自噬流,这通过自噬小泡的存在、LC3II/LC3I的转化以及Beclin-1/p62表达的增加/减少得到证实。有趣的是,本研究报道了明显的凋亡和自噬依赖于活性氧(ROS)的产生。用N-乙酰-L-半胱氨酸清除ROS可防止自噬特征的出现并逆转AGE诱导的凋亡。此外,AGE触发的线粒体自噬(通过自噬体与线粒体的共定位以及Parkin转位至线粒体得到证实)在减少系膜细胞中ROS产生方面发挥了潜在作用。此外,抑制自噬显著增强了AGE诱导的细胞凋亡。综上所述,我们的数据表明ROS是AGE诱导的系膜细胞凋亡的介质,自噬可能是被触发以修复AGE处理细胞中ROS诱导的损伤从而促进细胞存活的机制。本研究为自噬参与AGE诱导的系膜细胞凋亡的分子机制提供了新的见解。