Wootla Bharath, Denic Aleksandar, Watzlawik Jens O, Warrington Arthur E, Zoecklein Laurie J, Papke-Norton Louisa M, David Chella, Rodriguez Moses
Department of Neurology, Mayo Clinic, 200 First Street SW, Rochester, MN, 55905, USA.
Mayo Clinic Center for Multiple Sclerosis and Autoimmune Neurology, Mayo Clinic, 200 First Street SW, Rochester, MN, 55905, USA.
J Neuroinflammation. 2016 Nov 17;13(1):293. doi: 10.1186/s12974-016-0759-4.
We investigated the role of human HLA class I molecules in persistent central nervous system (CNS) injury versus repair following virus infection of the CNS.
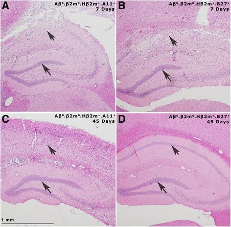
Human class I A11 and B27 transgenic human beta-2 microglobulin positive (Hβ2m) mice of the H-2 background were generated on a combined class I-deficient (mouse beta-2 microglobulin deficient, β2m) and class II-deficient (mouse Aβ) phenotype. Intracranial infection with Theiler's murine encephalomyelitis virus (TMEV) in susceptible SJL mice results in acute encephalitis with prominent injury in the hippocampus, striatum, and cortex.
Following infection with TMEV, a picornavirus, the Aβ.β2m mice lacking active immune responses died within 18 to 21 days post-infection. These mice showed severe encephalomyelitis due to rapid replication of the viral genome. In contrast, transgenic Hβ2m mice with insertion of a single human class I MHC gene in the absence of human or mouse class II survived the acute infection. Both A11 and B27 mice significantly controlled virus RNA expression by 45 days and did not develop late-onset spinal cord demyelination. By 45 days post-infection (DPI), B27 transgenic mice showed almost complete repair of the virus-induced brain injury, but A11 mice conversely showed persistent severe hippocampal and cortical injury.
The findings support the hypothesis that the expression of a single human class I MHC molecule, independent of persistent virus infection, influences the extent of sub frequent chronic neuronal injury or repair in the absence of a class II MHC immune response.
我们研究了人类HLA I类分子在中枢神经系统(CNS)病毒感染后持续性损伤与修复过程中的作用。
在I类缺陷(小鼠β2微球蛋白缺陷,β2m)和II类缺陷(小鼠Aβ)表型的背景下,培育出H-2背景的人类I类A11和B27转基因人类β2微球蛋白阳性(Hβ2m)小鼠。易感的SJL小鼠颅内感染泰勒氏鼠脑脊髓炎病毒(TMEV)会导致急性脑炎,海马体、纹状体和皮质出现明显损伤。
感染微小核糖核酸病毒TMEV后,缺乏活跃免疫反应的Aβ.β2m小鼠在感染后18至21天内死亡。这些小鼠因病毒基因组快速复制而出现严重的脑脊髓炎。相比之下,在没有人类或小鼠II类分子的情况下插入单个人类I类MHC基因的转基因Hβ2m小鼠在急性感染中存活下来。A11和B27小鼠在45天时均显著控制了病毒RNA表达,且未发生迟发性脊髓脱髓鞘。感染后45天(DPI),B27转基因小鼠的病毒诱导脑损伤几乎完全修复,但A11小鼠则相反,表现出持续性的严重海马体和皮质损伤。
这些发现支持以下假设:在没有II类MHC免疫反应的情况下,单个人类I类MHC分子的表达,独立于持续性病毒感染,会影响亚频繁慢性神经元损伤或修复的程度。