Kim Ji-Hye, Kim Gee-Hye, Kim Jae-Won, Pyeon Hee Jang, Lee Jae Cheoun, Lee Gene, Nam Hyun
Laboratory of Molecular Genetics, Dental Research Institute, School of Dentistry, Seoul National University, Seoul 03080, Korea.
Department of Anatomy and Cell Biology, Sungkyunkwan University School of Medicine, Seoul 06351, Korea.
Mol Cells. 2016 Nov 30;39(11):790-796. doi: 10.14348/molcells.2016.0131. Epub 2016 Nov 18.
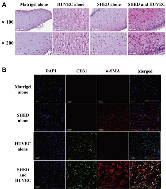
Dental pulp is a highly vascularized tissue requiring adequate blood supply for successful regeneration. In this study, we investigated the functional role of stem cells from human exfoliated deciduous teeth (SHEDs) as a perivascular source for formation of vessel-like structures. Primarily isolated SHEDs showed mesenchymal stem cell (MSC)-like characteristics including the expression of surface antigens and osteogenic and adipogenic differentiation potentials. Moreover, SHEDs were positive for NG2, α-smooth muscle actin (SMA), platelet-derived growth factor receptor beta (PDGFRβ), and CD146 as pericyte markers. To prove feasibility of SHEDs as perivascular source, SHEDs were transplanted into immunodeficient mouse using Matrigel with or without human umbilical vein endothelial cells (HUVECs). Transplantation of SHEDs alone or HUVECs alone resulted in no formation of vessel-like structures with enough red blood cells. However, when SHEDs and HUVECs were transplanted together, extensive vessel-like structures were formed. The presence of murine erythrocytes within lumens suggested the formation of anastomoses between newly formed vessel-like structures in Matrigel plug and the host circulatory system. To understand underlying mechanisms of angiogenesis, the expression of angiogenic cytokine and chemokine, their receptors, and MMPs was compared between SHEDs and HUVECs. SHEDs showed higher expression of VEGF, SDF-1α, and PDGFRβ than HUVECs. On the contrary, HUVECs showed higher expression of VEGF receptors, CXCR4, and PDGF-BB than SHEDs. This differential expression pattern suggested reciprocal interactions between SHEDs and HUVECs and their involvement during angiogenesis. In conclusion, SHEDs could be a feasible source of perivascular cells for angiogenesis.
牙髓是一种高度血管化的组织,需要充足的血液供应才能成功再生。在本研究中,我们调查了人脱落乳牙干细胞(SHEDs)作为血管样结构形成的血管周围来源的功能作用。最初分离的SHEDs表现出间充质干细胞(MSC)样特征,包括表面抗原的表达以及成骨和成脂分化潜能。此外,SHEDs作为周细胞标志物,NG2、α-平滑肌肌动蛋白(SMA)、血小板衍生生长因子受体β(PDGFRβ)和CD146呈阳性。为了证明SHEDs作为血管周围来源的可行性,将SHEDs与或不与人脐静脉内皮细胞(HUVECs)一起使用基质胶移植到免疫缺陷小鼠中。单独移植SHEDs或单独移植HUVECs均未形成带有足够红细胞的血管样结构。然而,当SHEDs和HUVECs一起移植时,形成了广泛的血管样结构。管腔内存在鼠红细胞表明在基质胶栓中新生的血管样结构与宿主循环系统之间形成了吻合。为了了解血管生成的潜在机制,比较了SHEDs和HUVECs之间血管生成细胞因子和趋化因子、它们的受体以及基质金属蛋白酶的表达。SHEDs显示出比HUVECs更高的VEGF、SDF-1α和PDGFRβ表达。相反,HUVECs显示出比SHEDs更高的VEGF受体、CXCR4和PDGF-BB表达。这种差异表达模式表明SHEDs和HUVECs之间的相互作用以及它们在血管生成过程中的参与。总之,SHEDs可能是血管生成的血管周围细胞的可行来源。