Suppr超能文献

一只实验用比格犬的淋巴细胞性肾上腺髓质炎和淋巴细胞性甲状腺炎。

Lymphocytic adrenal medullitis and lymphocytic thyroiditis in a laboratory beagle dog.

作者信息

Doi Takuya, Tomonari Yuki, Kawasako Kazufumi, Yamada Naoaki, Tsuchitani Minoru

机构信息

Pathology Department, Kashima Laboratory, Nonclinical Research Center, LSI Medience Corporation, 14-1 Sunayama, Kamisu, Ibaraki 314-0255, Japan.

出版信息

J Vet Med Sci. 2017 Feb 4;79(2):255-257. doi: 10.1292/jvms.16-0486. Epub 2016 Nov 24.

Abstract

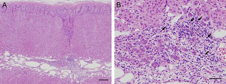
Lymphocytic adrenal medullitis characterized by inflammation and atrophy in the medulla of the bilateral adrenal glands was observed in an 18-month-old male laboratory beagle dog. It might be that the present lymphocytic adrenal medullitis is an autoimmune-mediated disease as the histological characteristics are consistent with an autoimmune pathogenesis. However, the actual cause remains unclear as the existence of serum autoantibodies against the adrenal medulla could not be confirmed. Although this dog also contracted lymphocytic thyroiditis along with serum thyroglobulin autoantibodies, indicating that the thyroiditis occurred with an autoimmune basis; the relation between the adrenal medullitis and thyroiditis is unknown.

摘要

在一只18个月大的雄性实验比格犬身上观察到双侧肾上腺髓质出现炎症和萎缩,其特征为淋巴细胞性肾上腺髓炎。鉴于组织学特征与自身免疫发病机制相符,目前的淋巴细胞性肾上腺髓炎可能是一种自身免疫介导的疾病。然而,由于无法确认血清中存在针对肾上腺髓质的自身抗体,实际病因仍不清楚。尽管这只狗还患有淋巴细胞性甲状腺炎并伴有血清甲状腺球蛋白自身抗体,表明甲状腺炎是在自身免疫基础上发生的,但肾上腺髓炎与甲状腺炎之间的关系尚不清楚。

https://cdn.ncbi.nlm.nih.gov/pmc/blobs/5a1e/5326927/18b787c77581/jvms-79-255-g001.jpg

文献AI研究员

20分钟写一篇综述,助力文献阅读效率提升50倍。

立即体验

用中文搜PubMed

大模型驱动的PubMed中文搜索引擎

马上搜索

文档翻译

学术文献翻译模型,支持多种主流文档格式。

立即体验