Suppr超能文献

外侧单髁膝关节置换术的临床结果:至少2年随访

Clinical Results of Lateral Unicompartmental Knee Arthroplasty: Minimum 2-Year Follow-up.

作者信息

Kim Kyung Tae, Lee Song, Kim Jeehyoung, Kim Jin Woo, Kang Min Su

机构信息

Department of Orthopedic Surgery, Seoul Sacred Heart General Hospital, Seoul, Korea.

出版信息

Clin Orthop Surg. 2016 Dec;8(4):386-392. doi: 10.4055/cios.2016.8.4.386. Epub 2016 Nov 4.

Abstract

BACKGROUND

We investigated the clinical results and early complications after lateral unicompartmental knee arthroplasty (UKA) using the Zimmer unicompartmental high-flex knee (ZUK) prosthesis with a minimum follow-up of 2 years.

METHODS

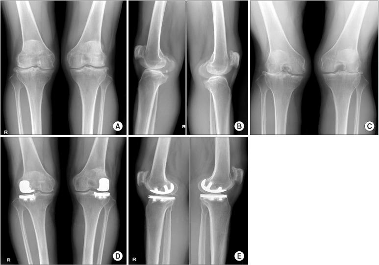
Twenty-seven patients (30 cases) who underwent lateral UKA with the ZUK prosthesis between January 2011 and February 2014 were selected for this study. The mean age of the patients was 63.3 years at the time of surgery, and the mean followup was 3 years and 2 months (range, 24 to 48 months). A retrospective investigation method was used to evaluate the clinical and radiographic results with use of the Knee Society (KS) clinical rating system and plain radiography.

RESULTS

The mean KS pain score was improved from 17.9 points (range, 10 to 30 points) preoperatively to 40.5 points (range, 30 to 45 points) at the final follow-up ( < 0.001). The mean KS knee score and function score significantly increased from 63.2 points (range, 48 to 70 points) and 68.6 points (range, 35 to 80 points), respectively, preoperatively to 86.0 points (range, 74 to 95 points) and 92.4 points (range, 60 to 100 points), respectively, at the final follow-up ( < 0.001). The mean range of motion of the knee was recovered from 127.1° (range, 110° to 135°) preoperatively to 131.6° (range, 120° to 135°) at the final follow-up. The mean tibiofemoral angle changed from 6.2° of valgus (range, 0.1° to 11.4° of valgus) preoperatively to 3.4°of valgus (range, 0.2° to 9.5° of valgus) at the final follow-up. The overall results classified based on the KS knee score were "excellent" in 21 cases and "good" in 8 cases. Revision total knee arthroplasty was required in one case because of consistent pain on the medial side of the knee after surgery.

CONCLUSIONS

The early clinical results of lateral UKA using the ZUK prosthesis were satisfactory for improvement of pain, knee score, function score, and recovery of knee motion. Therefore, the lateral UKA could be a useful method in the treatment of osteoarthritis in the lateral compartment of the knee. Long-term survivorship remains to be confirmed through ongoing follow-up.

摘要

背景

我们对使用 Zimmer 单髁高屈曲膝关节(ZUK)假体进行外侧单髁膝关节置换术(UKA)后的临床结果和早期并发症进行了研究,随访时间至少为 2 年。

方法

选取 2011 年 1 月至 2014 年 2 月期间接受 ZUK 假体外侧 UKA 的 27 例患者(30 膝)进行本研究。患者手术时的平均年龄为 63.3 岁,平均随访时间为 3 年 2 个月(范围为 24 至 48 个月)。采用回顾性调查方法,使用膝关节协会(KS)临床评分系统和普通 X 线摄影评估临床和影像学结果。

结果

KS 疼痛平均评分从术前的 17.9 分(范围为 10 至 30 分)提高到末次随访时的 40.5 分(范围为 30 至 45 分)(P<0.001)。KS 膝关节评分和功能评分分别从术前的 63.2 分(范围为 48 至 70 分)和 68.6 分(范围为 35 至 80 分)显著提高到末次随访时的 86.0 分(范围为 74 至 95 分)和 92.4 分(范围为 60 至 100 分)(P<0.001)。膝关节平均活动范围从术前的 127.1°(范围为 110°至 135°)恢复到末次随访时的 131.6°(范围为 120°至 135°)。胫股角从术前的外翻 6.2°(范围为外翻 0.1°至 11.4°)变为末次随访时的外翻 3.4°(范围为外翻 0.2°至 9.5°)。根据 KS 膝关节评分分类的总体结果为“优秀”21 例,“良好”8 例。1 例患者因术后膝关节内侧持续疼痛需要翻修为全膝关节置换术。

结论

使用 ZUK 假体进行外侧 UKA 的早期临床结果在改善疼痛、膝关节评分、功能评分和膝关节活动恢复方面令人满意。因此,外侧 UKA 可能是治疗膝关节外侧间室骨关节炎的一种有用方法。长期生存率仍有待通过持续随访来证实。

https://cdn.ncbi.nlm.nih.gov/pmc/blobs/e6f1/5114250/7654aadd5ce1/cios-8-386-g001.jpg

文献AI研究员

20分钟写一篇综述,助力文献阅读效率提升50倍。

立即体验

用中文搜PubMed

大模型驱动的PubMed中文搜索引擎

马上搜索

文档翻译

学术文献翻译模型,支持多种主流文档格式。

立即体验