Suppr超能文献

淋巴结移植可减轻转基因淋巴水肿模型的肿胀并恢复免疫反应。

Lymph Node Transplantation Decreases Swelling and Restores Immune Responses in a Transgenic Model of Lymphedema.

作者信息

Huang Jung-Ju, Gardenier Jason C, Hespe Geoffrey E, García Nores Gabriela D, Kataru Raghu P, Ly Catherine L, Martínez-Corral Inés, Ortega Sagrario, Mehrara Babak J

机构信息

Department of Surgery, Division of Plastic and Reconstructive Surgery, Memorial Sloan Kettering Cancer Center, New York, New York, United States of America.

Department of Plastic and Reconstructive Surgery, Division of Reconstructive Microsurgery, Chang Gung Memorial Hospital, Chang Gung University, Taoyuan, Taiwan.

出版信息

PLoS One. 2016 Dec 12;11(12):e0168259. doi: 10.1371/journal.pone.0168259. eCollection 2016.

Abstract

INTRODUCTION

Secondary lymphedema is a common complication of cancer treatment and recent studies have demonstrated that lymph node transplantation (LNT) can decrease swelling, as well as the incidence of infections. However, although these results are exciting, the mechanisms by which LNT improves these pathologic findings of lymphedema remain unknown. Using a transgenic mouse model of lymphedema, this study sought to analyze the effect of LNT on lymphatic regeneration and T cell-mediated immune responses.

METHODS

We used a mouse model in which the expression of the human diphtheria toxin receptor is driven by the FLT4 promoter to enable the local ablation of the lymphatic system through subdermal hindlimb diphtheria toxin injections. Popliteal lymph node dissection was subsequently performed after a two-week recovery period, followed by either orthotopic LNT or sham surgery after an additional two weeks. Hindlimb swelling, lymphatic vessel regeneration, immune cell trafficking, and T cell-mediated immune responses were analyzed 10 weeks later.

RESULTS

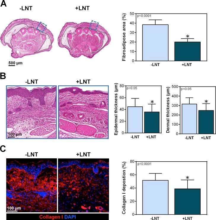
LNT resulted in a marked decrease in hindlimb swelling, fibroadipose tissue deposition, and decreased accumulation of perilymphatic inflammatory cells, as compared to controls. In addition, LNT induced a marked lymphangiogenic response in both capillary and collecting lymphatic vessels. Interestingly, the resultant regenerated lymphatics were abnormal in appearance on lymphangiography, but LNT also led to a notable increase in dendritic cell trafficking from the periphery to the inguinal lymph nodes and improved adaptive immune responses.

CONCLUSIONS

LNT decreases pathological changes of lymphedema and was shown to potently induce lymphangiogenesis. Lymphatic vessels induced by LNT were abnormal in appearance, but were functional and able to transport antigen-presenting cells. Animals treated with LNT have an increased ability to mount T cell-mediated immune responses when sensitized to antigens in the affected hindlimb.

摘要

引言

继发性淋巴水肿是癌症治疗的常见并发症,最近的研究表明,淋巴结移植(LNT)可减轻肿胀以及感染发生率。然而,尽管这些结果令人兴奋,但LNT改善淋巴水肿这些病理表现的机制仍不清楚。本研究使用淋巴水肿转基因小鼠模型,旨在分析LNT对淋巴管再生和T细胞介导的免疫反应的影响。

方法

我们使用一种小鼠模型,其中人白喉毒素受体的表达由FLT4启动子驱动,通过后肢皮下注射白喉毒素实现局部淋巴管系统消融。在两周恢复期后进行腘淋巴结清扫,再过两周后进行原位LNT或假手术。10周后分析后肢肿胀、淋巴管再生、免疫细胞迁移和T细胞介导的免疫反应。

结果

与对照组相比,LNT导致后肢肿胀、纤维脂肪组织沉积明显减少,淋巴管周围炎性细胞积聚减少。此外,LNT在毛细血管和集合淋巴管中均诱导了明显的淋巴管生成反应。有趣的是,淋巴管造影显示,由此产生的再生淋巴管外观异常,但LNT也导致从外周至腹股沟淋巴结的树突状细胞迁移显著增加,并改善了适应性免疫反应。

结论

LNT可减轻淋巴水肿的病理变化,并被证明能有效诱导淋巴管生成。LNT诱导的淋巴管外观异常,但功能正常,能够运输抗原呈递细胞。当对受影响后肢的抗原致敏时,接受LNT治疗的动物产生T细胞介导的免疫反应的能力增强。

https://cdn.ncbi.nlm.nih.gov/pmc/blobs/292b/5152898/fce4d7d2521d/pone.0168259.g001.jpg

文献AI研究员

20分钟写一篇综述,助力文献阅读效率提升50倍。

立即体验

用中文搜PubMed

大模型驱动的PubMed中文搜索引擎

马上搜索

文档翻译

学术文献翻译模型,支持多种主流文档格式。

立即体验