Suppr超能文献

成人复杂肘关节脱位与桡骨远端骨折的罕见组合

A Rare Combination of Complex Elbow Dislocation and Distal Radial Fracture in Adults.

作者信息

Vaishya Raju, Krishnan Midhun, Vijay Vipul, Agarwal Amit Kumar

机构信息

Orthopaedics, Indraprastha Apollo Hospitals.

Orthopaedics, Medical College and Hospital, Karakonam, Trivandrum, Kerala.

出版信息

Cureus. 2016 Nov 8;8(11):e868. doi: 10.7759/cureus.868.

Abstract

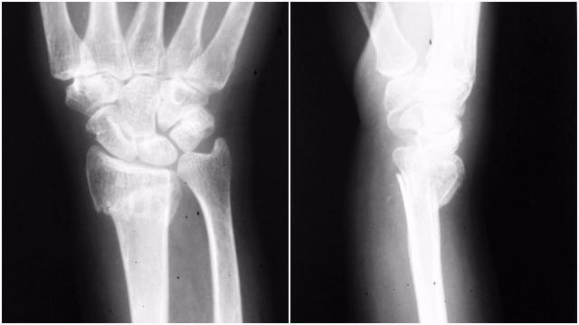
Although it is common for separate elbow joint dislocation and fracture of forearm bones to occur, it is a rare sighting for both elbow dislocation and ipsilateral fracture of the distal radius. We report a case of an anterior dislocation of the elbow with ipsilateral fracture of the distal radius. The case was treated operatively. We describe two possible mechanisms of injury for these rare injury types. The case underlines the importance of assessing the wrist in the case of an elbow fracture and vice versa.

摘要

虽然肘关节脱位和前臂骨骨折单独发生很常见,但肘关节脱位和同侧桡骨远端骨折同时出现则较为罕见。我们报告一例肘关节前脱位合并同侧桡骨远端骨折的病例。该病例接受了手术治疗。我们描述了这些罕见损伤类型的两种可能损伤机制。该病例强调了在肘关节骨折时评估腕关节以及在腕关节骨折时评估肘关节的重要性。

https://cdn.ncbi.nlm.nih.gov/pmc/blobs/86cc/5158086/00d2b9e55de7/cureus-0008-00000000868-i01.jpg

文献AI研究员

20分钟写一篇综述,助力文献阅读效率提升50倍。

立即体验

用中文搜PubMed

大模型驱动的PubMed中文搜索引擎

马上搜索

文档翻译

学术文献翻译模型,支持多种主流文档格式。

立即体验