Suppr超能文献

细胞因子疗法介导的弗里德赖希共济失调小鼠模型中的神经保护作用。

Cytokine therapy-mediated neuroprotection in a Friedreich's ataxia mouse model.

作者信息

Kemp Kevin C, Cerminara Nadia, Hares Kelly, Redondo Juliana, Cook Amelia J, Haynes Harry R, Burton Bronwen R, Pook Mark, Apps Richard, Scolding Neil J, Wilkins Alastair

机构信息

Multiple Sclerosis and Stem Cell Group, School of Clinical Sciences, University of Bristol, Bristol, United Kingdom.

Sensory and Motor Systems Group, School of Physiology, Pharmacology and Neuroscience, University of Bristol, Bristol, United Kingdom.

出版信息

Ann Neurol. 2017 Feb;81(2):212-226. doi: 10.1002/ana.24846.

Abstract

OBJECTIVES

Friedreich's ataxia is a devastating neurological disease currently lacking any proven treatment. We studied the neuroprotective effects of the cytokines, granulocyte-colony stimulating factor (G-CSF) and stem cell factor (SCF) in a humanized murine model of Friedreich's ataxia.

METHODS

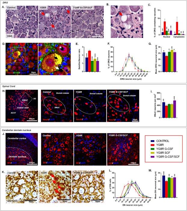
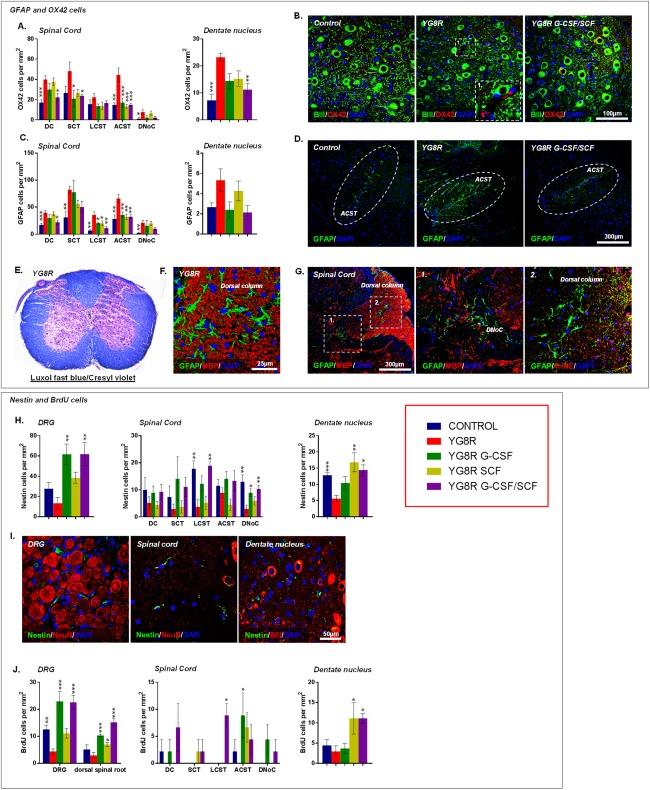
Mice received monthly subcutaneous infusions of cytokines while also being assessed at monthly time points using an extensive range of behavioral motor performance tests. After 6 months of treatment, neurophysiological evaluation of both sensory and motor nerve conduction was performed. Subsequently, mice were sacrificed for messenger RNA, protein, and histological analysis of the dorsal root ganglia, spinal cord, and cerebellum.

RESULTS

Cytokine administration resulted in significant reversal of biochemical, neuropathological, neurophysiological, and behavioural deficits associated with Friedreich's ataxia. Both G-CSF and SCF had pronounced effects on frataxin levels (the primary molecular defect in the pathogenesis of the disease) and a regulators of frataxin expression. Sustained improvements in motor coordination and locomotor activity were observed, even after onset of neurological symptoms. Treatment also restored the duration of sensory nerve compound potentials. Improvements in peripheral nerve conduction positively correlated with cytokine-induced increases in frataxin expression, providing a link between increases in frataxin and neurophysiological function. Abrogation of disease-related pathology was also evident, with reductions in inflammation/gliosis and increased neural stem cell numbers in areas of tissue injury.

INTERPRETATION

These experiments show that cytokines already clinically used in other conditions offer the prospect of a novel, rapidly translatable, disease-modifying, and neuroprotective treatment for Friedreich's ataxia. Ann Neurol 2017;81:212-226.

摘要

目的

弗里德赖希共济失调是一种严重的神经疾病,目前尚无任何经证实的治疗方法。我们在弗里德赖希共济失调的人源化小鼠模型中研究了细胞因子粒细胞集落刺激因子(G-CSF)和干细胞因子(SCF)的神经保护作用。

方法

小鼠每月接受一次细胞因子皮下注射,同时每月使用一系列广泛的行为运动性能测试进行评估。治疗6个月后,对感觉和运动神经传导进行神经生理学评估。随后,处死小鼠以进行背根神经节、脊髓和小脑的信使核糖核酸、蛋白质和组织学分析。

结果

给予细胞因子可显著逆转与弗里德赖希共济失调相关的生化、神经病理、神经生理和行为缺陷。G-CSF和SCF对frataxin水平(该疾病发病机制中的主要分子缺陷)和frataxin表达的调节因子均有显著影响。即使在神经症状出现后,仍观察到运动协调性和运动活动持续改善。治疗还恢复了感觉神经复合电位的持续时间。外周神经传导的改善与细胞因子诱导的frataxin表达增加呈正相关,这为frataxin增加与神经生理功能之间提供了联系。疾病相关病理的消除也很明显,组织损伤区域的炎症/胶质增生减少,神经干细胞数量增加。

解读

这些实验表明,临床上已用于其他病症的细胞因子为弗里德赖希共济失调提供了一种新型、可快速转化、疾病修饰和神经保护治疗的前景。《神经病学纪事》2017年;81:212 - 226。

https://cdn.ncbi.nlm.nih.gov/pmc/blobs/9b2b/5324580/784debbc9b69/ANA-81-212-g001.jpg

文献检索

告别复杂PubMed语法,用中文像聊天一样搜索,搜遍4000万医学文献。AI智能推荐,让科研检索更轻松。

立即免费搜索

文件翻译

保留排版,准确专业,支持PDF/Word/PPT等文件格式,支持 12+语言互译。

免费翻译文档

深度研究

AI帮你快速写综述,25分钟生成高质量综述,智能提取关键信息,辅助科研写作。

立即免费体验