• 文献检索
  • 文档翻译
  • 深度研究
  • 学术资讯
  • Suppr Zotero 插件Zotero 插件
  • 邀请有礼
  • 套餐&价格
  • 历史记录
应用&插件
Suppr Zotero 插件Zotero 插件浏览器插件Mac 客户端Windows 客户端微信小程序
定价
高级版会员购买积分包购买API积分包
服务
文献检索文档翻译深度研究API 文档MCP 服务
关于我们
关于 Suppr公司介绍联系我们用户协议隐私条款
关注我们

Suppr 超能文献

核心技术专利:CN118964589B侵权必究
粤ICP备2023148730 号-1Suppr @ 2026

文献检索

告别复杂PubMed语法,用中文像聊天一样搜索,搜遍4000万医学文献。AI智能推荐,让科研检索更轻松。

立即免费搜索

文件翻译

保留排版,准确专业,支持PDF/Word/PPT等文件格式,支持 12+语言互译。

免费翻译文档

深度研究

AI帮你快速写综述,25分钟生成高质量综述,智能提取关键信息,辅助科研写作。

立即免费体验

胃腺癌中MET的过表达、基因扩增及相关临床病理特征

MET overexpression, gene amplification and relevant clinicopathological features in gastric adenocarcinoma.

作者信息

Zhang Jing, Guo Lei, Liu Xiuyun, Li Wenbin, Ying Jianming

机构信息

Department of Pathology, National Cancer Center/Cancer Hospital, Chinese Academy of Medical Sciences and Peking Union Medical College, Beijing, 100021, China.

出版信息

Oncotarget. 2017 Feb 7;8(6):10264-10273. doi: 10.18632/oncotarget.14382.

DOI:10.18632/oncotarget.14382
PMID:28052014
原文链接:https://pmc.ncbi.nlm.nih.gov/articles/PMC5354657/
Abstract

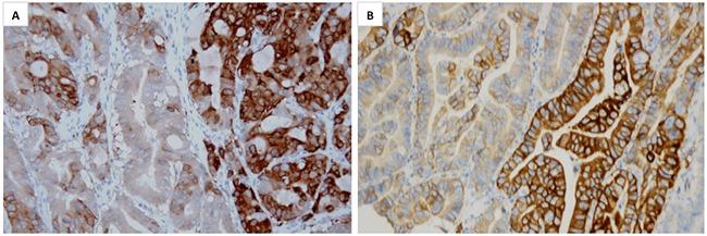
This study was conducted to investigate the expression of MET in Chinese gastric adenocarcinoma cohort, the correlation between MET overexpression and clinical pathological features, HER2 expression and MET gene amplification. A total of 816 gastric adenocarcinoma patients were included and MET and HER2 immunohistochemical (IHC) staining were performed. IHC and dual-color silver in situ hybridization analysis were performed in the tissue microarrays, constructed from the 240 patients who were randomly selected. MET overexpression (IHC 3+) was observed in 6.0% (49/816) of the cohort. MET overexpression rate was higher in patients with poor prognostic factors, such as clinical stages III/IV (p =0.012) and pathologic stages T3/T4 (p =0.027). The HER2 overexpression (IHC 3+) rate was 8.8% (72/816) and MET overexpression rate was higher in HER2 positive patients (9.7%, 7/72). A high concordance rate (94.6%) between MET overexpression and gene amplification was demonstrated. Therefore, MET overexpression could serve as a prognostic biomarker and a potential therapeutic target for gastric cancer.

摘要

本研究旨在探讨MET在中国胃腺癌队列中的表达情况、MET过表达与临床病理特征之间的相关性、HER2表达以及MET基因扩增情况。共纳入816例胃腺癌患者,并进行了MET和HER2免疫组织化学(IHC)染色。对从随机选取的240例患者构建的组织芯片进行了IHC和双色银原位杂交分析。该队列中6.0%(49/816)的患者观察到MET过表达(IHC 3+)。在具有不良预后因素的患者中,如临床分期III/IV期(p = 0.012)和病理分期T3/T4期(p = 0.027),MET过表达率更高。HER2过表达(IHC 3+)率为8.8%(72/816),且HER2阳性患者的MET过表达率更高(9.7%,7/72)。MET过表达与基因扩增之间显示出较高的一致性率(94.6%)。因此,MET过表达可作为胃癌的预后生物标志物和潜在治疗靶点。

https://cdn.ncbi.nlm.nih.gov/pmc/blobs/3966/5354657/769844d80931/oncotarget-08-10264-g002.jpg
https://cdn.ncbi.nlm.nih.gov/pmc/blobs/3966/5354657/9682601fa2af/oncotarget-08-10264-g001.jpg
https://cdn.ncbi.nlm.nih.gov/pmc/blobs/3966/5354657/769844d80931/oncotarget-08-10264-g002.jpg
https://cdn.ncbi.nlm.nih.gov/pmc/blobs/3966/5354657/9682601fa2af/oncotarget-08-10264-g001.jpg
https://cdn.ncbi.nlm.nih.gov/pmc/blobs/3966/5354657/769844d80931/oncotarget-08-10264-g002.jpg

相似文献

1
MET overexpression, gene amplification and relevant clinicopathological features in gastric adenocarcinoma.胃腺癌中MET的过表达、基因扩增及相关临床病理特征
Oncotarget. 2017 Feb 7;8(6):10264-10273. doi: 10.18632/oncotarget.14382.
2
Prognostic impact of HER2, EGFR, and c-MET status on overall survival of advanced gastric cancer patients.HER2、EGFR和c-MET状态对晚期胃癌患者总生存期的预后影响
Gastric Cancer. 2016 Jan;19(1):183-91. doi: 10.1007/s10120-015-0471-6. Epub 2015 Feb 15.
3
Comprehensive analysis of HER2 expression and gene amplification in gastric cancers using immunohistochemistry and in situ hybridization: which scoring system should we use?采用免疫组织化学和原位杂交技术对胃癌中 HER2 表达和基因扩增进行综合分析:我们应该使用哪种评分系统?
Hum Pathol. 2012 Mar;43(3):413-22. doi: 10.1016/j.humpath.2011.05.019. Epub 2011 Aug 19.
4
HER2/neu (ERBB2) expression and gene amplification correlates with better survival in esophageal adenocarcinoma.HER2/neu(ERBB2)表达和基因扩增与食管腺癌的生存改善相关。
BMC Cancer. 2019 Jan 8;19(1):38. doi: 10.1186/s12885-018-5242-4.
5
Expression profiles of HER2, EGFR, MET and FGFR2 in a large cohort of patients with gastric adenocarcinoma.胃腺癌患者大样本中 HER2、EGFR、MET 和 FGFR2 的表达谱。
Gastric Cancer. 2015 Apr;18(2):227-38. doi: 10.1007/s10120-014-0360-4. Epub 2014 Mar 14.
6
Evaluation of HER-2/neu overexpression in gastric carcinoma using a tissue microarray.利用组织芯片评估胃癌中HER-2/neu的过表达情况。
Asian Pac J Cancer Prev. 2014;15(18):7597-602. doi: 10.7314/apjcp.2014.15.18.7597.
7
Topoisomerase IIalpha gene amplification in gastric carcinomas: correlation with the HER2 gene. An immunohistochemical, immunoblotting, and multicolor fluorescence in situ hybridization study.胃癌中拓扑异构酶IIα基因扩增:与HER2基因的相关性。一项免疫组织化学、免疫印迹及多色荧光原位杂交研究。
Hum Pathol. 2006 Oct;37(10):1333-43. doi: 10.1016/j.humpath.2006.05.008. Epub 2006 Aug 10.
8
Increased gene copy number of HER2 and concordant protein overexpression found in a subset of eyelid sebaceous gland carcinoma indicate HER2 as a potential therapeutic target.在一部分眼睑皮脂腺癌中发现HER2基因拷贝数增加及相应的蛋白过表达,这表明HER2是一个潜在的治疗靶点。
J Cancer Res Clin Oncol. 2016 Jan;142(1):125-33. doi: 10.1007/s00432-015-2009-z. Epub 2015 Jul 4.
9
HER2 in gastric cancer: comparative analysis of three different antibodies using whole-tissue sections and tissue microarrays.胃 HER2 检测:三种不同抗体在全组织切片和组织微阵列上的比较分析。
World J Gastroenterol. 2013 Oct 14;19(38):6438-46. doi: 10.3748/wjg.v19.i38.6438.
10
HER2 status in patients with residual rectal cancer after preoperative chemoradiotherapy: the relationship with molecular results and clinicopathologic features.术前放化疗后残余直肠癌患者的 HER2 状态:与分子结果及临床病理特征的关系。
Virchows Arch. 2018 Oct;473(4):413-423. doi: 10.1007/s00428-018-2409-y. Epub 2018 Jul 28.

引用本文的文献

1
Case Report: A rare case of MET-amplified gastric cancer with systemic metastasis: remarkable efficacy of crizotinib and the role of precision medicine.病例报告:一例罕见的伴有全身转移的MET扩增型胃癌:克唑替尼的显著疗效及精准医学的作用
Front Oncol. 2025 Aug 8;15:1555801. doi: 10.3389/fonc.2025.1555801. eCollection 2025.
2
Role of savolitinib in advanced gastric adenocarcinoma with meningeal carcinomatosis and cerebellar metastasis: A case report.赛沃替尼在伴有脑膜癌病和小脑转移的晚期胃腺癌中的作用:一例报告
World J Clin Cases. 2024 May 26;12(15):2636-2641. doi: 10.12998/wjcc.v12.i15.2636.
3
MET alterations detection platforms and clinical implications in solid tumors: a comprehensive review of literature.

本文引用的文献

1
A novel antagonist anti-cMet antibody with antitumor activities targeting both ligand-dependent and ligand-independent c-Met receptors.一种新型拮抗剂抗c-Met抗体,具有针对配体依赖性和配体非依赖性c-Met受体的抗肿瘤活性。
Int J Cancer. 2016 Oct 15;139(8):1851-63. doi: 10.1002/ijc.30174. Epub 2016 Jul 4.
2
Targeted therapies in gastric cancer and future perspectives.胃癌的靶向治疗及未来展望。
World J Gastroenterol. 2016 Jan 14;22(2):471-89. doi: 10.3748/wjg.v22.i2.471.
3
c-Met targeting in advanced gastric cancer: An open challenge.
实体瘤中MET改变的检测平台及其临床意义:文献综述
Ther Adv Med Oncol. 2024 Jan 18;16:17588359231221910. doi: 10.1177/17588359231221910. eCollection 2024.
4
Systematic Review and Meta-analysis of TP53, HER2/ERBB2, KRAS, APC, and PIK3CA Genes Expression Pattern in Gastric Cancer.胃癌中TP53、HER2/ERBB2、KRAS、APC和PIK3CA基因表达模式的系统评价与Meta分析
Middle East J Dig Dis. 2022 Jul;14(3):335-345. doi: 10.34172/mejdd.2022.292. Epub 2022 Jul 30.
5
Case Report: Prompt Response to Savolitinib in a Case of Advanced Gastric Cancer With Bone Marrow Invasion and Abnormalities.病例报告:一例晚期胃癌伴骨髓侵犯及异常患者对赛沃替尼的快速反应
Front Oncol. 2022 Apr 4;12:868654. doi: 10.3389/fonc.2022.868654. eCollection 2022.
6
The dawn of precision medicine in diffuse-type gastric cancer.弥漫型胃癌精准医学的曙光。
Ther Adv Med Oncol. 2022 Mar 8;14:17588359221083049. doi: 10.1177/17588359221083049. eCollection 2022.
7
Research progress on exosomal proteins as diagnostic markers of gastric cancer (review article).外泌体蛋白作为胃癌诊断标志物的研究进展(综述文章)。
Clin Exp Med. 2023 Jun;23(2):203-218. doi: 10.1007/s10238-022-00793-5. Epub 2022 Jan 22.
8
The Significance of MET Expression and Strategies of Targeting MET Treatment in Advanced Gastric Cancer.MET表达在晚期胃癌中的意义及靶向MET治疗策略
Front Oncol. 2021 Sep 7;11:719217. doi: 10.3389/fonc.2021.719217. eCollection 2021.
9
Dependence receptors: new targets for cancer therapy.依赖受体:癌症治疗的新靶点。
EMBO Mol Med. 2021 Nov 8;13(11):e14495. doi: 10.15252/emmm.202114495. Epub 2021 Sep 20.
10
Inhibition of c-MET increases the antitumour activity of PARP inhibitors in gastric cancer models.抑制 c-MET 可增强胃癌模型中 PARP 抑制剂的抗肿瘤活性。
J Cell Mol Med. 2020 Sep;24(18):10420-10431. doi: 10.1111/jcmm.15655. Epub 2020 Jul 20.
晚期胃癌中靶向c-Met:一项公开挑战。
Cancer Lett. 2015 Aug 28;365(1):30-6. doi: 10.1016/j.canlet.2015.05.028. Epub 2015 Jun 3.
4
Targeted therapy in gastric cancer.胃癌的靶向治疗。
APMIS. 2015 May;123(5):365-72. doi: 10.1111/apm.12359. Epub 2015 Feb 23.
5
Prognostic impact of HER2, EGFR, and c-MET status on overall survival of advanced gastric cancer patients.HER2、EGFR和c-MET状态对晚期胃癌患者总生存期的预后影响
Gastric Cancer. 2016 Jan;19(1):183-91. doi: 10.1007/s10120-015-0471-6. Epub 2015 Feb 15.
6
Global cancer statistics, 2012.全球癌症统计数据,2012 年。
CA Cancer J Clin. 2015 Mar;65(2):87-108. doi: 10.3322/caac.21262. Epub 2015 Feb 4.
7
Clinical significance of hepatocyte growth factor/c-Met expression in the assessment of gastric cancer progression.肝细胞生长因子/c-Met表达在评估胃癌进展中的临床意义
Mol Med Rep. 2015 May;11(5):3423-31. doi: 10.3892/mmr.2015.3205. Epub 2015 Jan 15.
8
HER2-positive gastric cancer with concomitant MET and/or EGFR overexpression: a distinct subset of patients for dual inhibition therapy.伴有MET和/或EGFR共表达的HER2阳性胃癌:双靶点抑制治疗的独特患者亚群
Int J Cancer. 2015 Apr 1;136(7):1629-35. doi: 10.1002/ijc.29159. Epub 2014 Sep 4.
9
Functional genetic approach identifies MET, HER3, IGF1R, INSR pathways as determinants of lapatinib unresponsiveness in HER2-positive gastric cancer.功能遗传学方法确定了 MET、HER3、IGF1R 和 INSR 通路是导致曲妥珠单抗联合卡培他滨治疗 HER2 阳性胃癌耐药的决定因素。
Clin Cancer Res. 2014 Sep 1;20(17):4559-73. doi: 10.1158/1078-0432.CCR-13-3396. Epub 2014 Jun 27.
10
Prognostic impact of major receptor tyrosine kinase expression in gastric cancer.主要受体酪氨酸激酶表达对胃癌的预后影响
Ann Surg Oncol. 2014 Dec;21 Suppl 4:S584-90. doi: 10.1245/s10434-014-3690-x. Epub 2014 Apr 18.