Suppr超能文献

与肺肉瘤样癌相关的极度白细胞增多症和类白血病反应:一例罕见病例报告

Extreme leukocytosis and leukemoid reaction associated with the lung sarcomatoid carcinoma: an unusual case report.

作者信息

Wang Danyang, Zhang Haiyan, Yu Fengkuan, Fang Baijun

机构信息

Department of Hematopathy, The Affiliated Cancer Hospital of Zhengzhou University, Zhengzhou, People's Republic of China.

出版信息

Int J Gen Med. 2016 Dec 23;10:7-9. doi: 10.2147/IJGM.S102524. eCollection 2017.

Abstract

PURPOSE

To report a rare case of extreme leukocytosis and leukemoid reaction associated with lung sarcomatoid carcinoma (LSC) and increase people's awareness of the disease.

PATIENTS AND METHODS

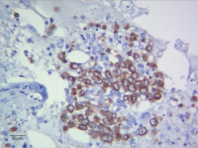
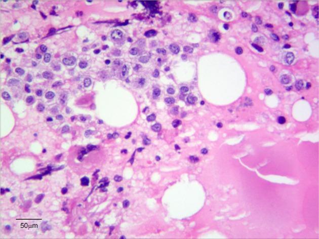
A 58-year-old male patient was diagnosed with LSC; however, after the end of the second course of chemotherapy, his white blood cells increased gradually without fever or use of medications such as granulocyte colony-stimulating factor and steroids. A bone marrow biopsy then confirmed it to be a leukemoid reaction.

RESULTS

The patient died of multiple organ failure 2 months after being diagnosed with leukocytosis.

CONCLUSION

LSC associated with leukemoid reaction is very rare and the prognosis is poor. When a patient's white blood cells are extremely elevated, we should think of the possible causes of the tumor itself and identify it with other diseases. However, more data and evidence are still needed to find an effective adjuvant therapy for these patients.

摘要

目的

报告1例与肺肉瘤样癌(LSC)相关的罕见极度白细胞增多症和类白血病反应病例,以提高人们对该疾病的认识。

患者与方法

一名58岁男性患者被诊断为LSC;然而,在第二个化疗疗程结束后,他的白细胞逐渐升高,且无发热,未使用粒细胞集落刺激因子和类固醇等药物。随后骨髓活检证实为类白血病反应。

结果

该患者在被诊断为白细胞增多症2个月后死于多器官功能衰竭。

结论

与类白血病反应相关的LSC非常罕见,预后较差。当患者白细胞极度升高时,我们应考虑肿瘤本身的可能原因,并与其他疾病相鉴别。然而,仍需要更多数据和证据来为这些患者找到有效的辅助治疗方法。

https://cdn.ncbi.nlm.nih.gov/pmc/blobs/5981/5207432/0814be9de8da/ijgm-10-007Fig1.jpg

文献AI研究员

20分钟写一篇综述,助力文献阅读效率提升50倍。

立即体验

用中文搜PubMed

大模型驱动的PubMed中文搜索引擎

马上搜索

文档翻译

学术文献翻译模型,支持多种主流文档格式。

立即体验