Suppr超能文献

通过大鼠髁突软骨的定量蛋白质组学分析鉴定血管内皮生长因子信号通路

Identification of the vascular endothelial growth factor signalling pathway by quantitative proteomic analysis of rat condylar cartilage.

作者信息

Jiang Liting, Xie Yinyin, Wei Li, Zhou Qi, Shen Xing, Jiang Xinquan, Gao Yiming

机构信息

Department of Stomatology Ruijin Hospital Affiliated to Shanghai Jiao Tong University, School of Medicine China; Department of Prosthodontics Shanghai Key Laboratory of Stomatology Ninth People's Hospital Affiliated to Shanghai Jiao Tong University, School of Medicine China.

State Key Laboratory of Medical Genomics Shanghai Institute of Hematology Ruijin Hospital Affiliated to Shanghai Jiao Tong University, School of Medicine China.

出版信息

FEBS Open Bio. 2016 Dec 20;7(1):44-53. doi: 10.1002/2211-5463.12155. eCollection 2017 Jan.

Abstract

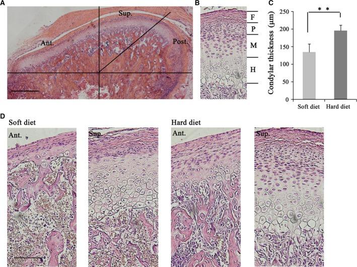
Angiogenesis mediated by vascular endothelial growth factor (VEGF) is known to play an important role in regulating cartilage remodelling and endochondral ossification. However, the details of how VEGF signalling mechanisms affect condyle remodelling in response to alterations in functional loading remains unclear. To explore this, eighty 16-day-old male SD rats were divided into two equal groups which were fed either a soft/powdery diet or a hard diet for 4 weeks; the stiffness of the diet results in alteration of mastication force and hence temporomandibular joint (TMJ) development. We performed a proteomic analysis of rat condylar cartilage using isobaric tags for relative and absolute quantification (iTRAQ) labelling, followed by 2D nano-high performance liquid chromatography and MALDI-TOF/time-of-flight technology. After protein identification, we used biological information analysis to identify the differentially expressed proteins associated with the VEGF signalling pathway. Among the identified differentially expressed proteins, we found VEGF signalling mainly the p44/42 MAPK and p38 mitogen-activated protein kinase (MAPK) pathways in condylar cartilage, including VEGFD, VGFR2, KPCB, KPCT, KPCZ, ARAF, RASN, PLCG2, PLCG1, JUN and M3K12. Furthermore, four representative protein candidates, VEGF, p38 MAPK and p44/42 MAPK/phospho-p44/42 MAPK, were confirmed by immunohistochemical staining and western blot. Our data suggest that VEGF might play an important role in TMJ development and remodelling in response to alterations in functional loading through the p44/42 MAPK and p38 MAPK signalling pathway. This study provides new clues to the understanding of the signalling mechanism responsible for VEGF production in response to different masticatory functions at the protein level.

摘要

已知血管内皮生长因子(VEGF)介导的血管生成在调节软骨重塑和软骨内骨化中起重要作用。然而,VEGF信号传导机制如何响应功能负荷改变而影响髁突重塑的细节仍不清楚。为了探究这一点,将80只16日龄雄性SD大鼠分为两组,每组数量相等,分别给予软/粉状饲料或硬饲料喂养4周;饲料硬度的不同导致咀嚼力改变,进而影响颞下颌关节(TMJ)发育。我们使用相对和绝对定量等压标签(iTRAQ)标记对大鼠髁突软骨进行蛋白质组分析,随后进行二维纳米高效液相色谱和基质辅助激光解吸电离飞行时间质谱技术分析。蛋白质鉴定后,我们利用生物信息分析来鉴定与VEGF信号通路相关的差异表达蛋白。在鉴定出的差异表达蛋白中,我们发现VEGF信号主要通过髁突软骨中的p44/42丝裂原活化蛋白激酶(MAPK)和p38丝裂原活化蛋白激酶(MAPK)途径发挥作用,包括VEGFD、VGFR2、KPCB、KPCT、KPCZ、ARAF、RASN、PLCG2、PLCG1、JUN和M3K12。此外,通过免疫组织化学染色和蛋白质印迹法证实了四种代表性蛋白质候选物,即VEGF、p38 MAPK和p44/42 MAPK/磷酸化-p44/42 MAPK。我们的数据表明,VEGF可能通过p44/42 MAPK和p38 MAPK信号通路在TMJ发育和响应功能负荷改变的重塑中起重要作用。本研究为在蛋白质水平上理解响应不同咀嚼功能产生VEGF的信号传导机制提供了新线索。

https://cdn.ncbi.nlm.nih.gov/pmc/blobs/110b/5221432/51a5734ec2d7/FEB4-7-44-g001.jpg

文献检索

告别复杂PubMed语法,用中文像聊天一样搜索,搜遍4000万医学文献。AI智能推荐,让科研检索更轻松。

立即免费搜索

文件翻译

保留排版,准确专业,支持PDF/Word/PPT等文件格式,支持 12+语言互译。

免费翻译文档

深度研究

AI帮你快速写综述,25分钟生成高质量综述,智能提取关键信息,辅助科研写作。

立即免费体验