Suppr超能文献

PLIN2 是胰腺 β 细胞未折叠蛋白反应和内质网应激缓解的关键调节因子。

PLIN2 is a Key Regulator of the Unfolded Protein Response and Endoplasmic Reticulum Stress Resolution in Pancreatic β Cells.

机构信息

Department of Molecular &Cellular Biology, Baylor College of Medicine, Houston, TX, USA.

Department of Medicine, Division of Diabetes, Endocrinology &Metabolism, Diabetes Research Center, Baylor College of Medicine, 1 Baylor Plaza, Houston, TX 77030, USA.

出版信息

Sci Rep. 2017 Jan 19;7:40855. doi: 10.1038/srep40855.

Abstract

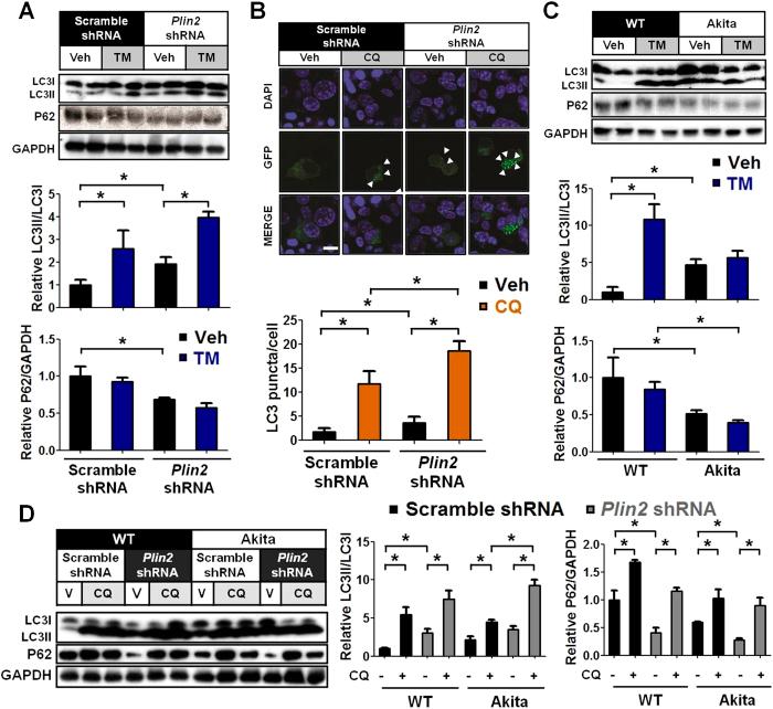
Progressive pancreatic β cell failure underlies the transition of impaired glucose tolerance to overt diabetes; endoplasmic reticulum (ER) stress expedites β cell failure in this situation. ER stress can be elicited by lipotoxicity and an increased demand for insulin in diabetes. We previously reported that the lipid droplet protein perilipin 2 (PLIN2) modulates lipid homeostasis in the liver. Here, we show that PLIN2 modulates the unfolded protein response (UPR) and ER stress in pancreatic β cells. PLIN2 expression goes up when β cells are exposed to a lipid load or to chemical ER stress inducers. Downregulation of PLIN2 ameliorates the effects of fatty acid- and chemical-induced ER stress, whereas PLIN2 overexpression exacerbates them. Diabetic Akita mice, which carry a heterozygous C96Y Ins2 mutation, exhibit elevated PLIN2 expression and ER stress in their β cells. Genetic ablation of Plin2 in Akita mice leads to mitigation of ER stress, forestalling β cell apoptosis, partially restoring β cell mass, and ameliorating diabetes. Mechanistic experiments showed that PLIN2 downregulation is associated with enhanced autophagic flux and accelerated ER stress resolution. In sum, we have identified a crucial role for PLIN2 in modulating autophagy, ER stress resolution, and β cell apoptosis and survival.

摘要

进行性胰腺β细胞衰竭是糖耐量受损向显性糖尿病转变的基础;内质网(ER)应激加速了这种情况下β细胞的衰竭。在糖尿病中,脂毒性和胰岛素需求增加都可以引发 ER 应激。我们之前曾报道过,脂滴蛋白 perilipin 2(PLIN2)可以调节肝脏中的脂质稳态。在这里,我们表明 PLIN2 可以调节胰腺β细胞中的未折叠蛋白反应(UPR)和 ER 应激。当β细胞暴露于脂质负荷或化学 ER 应激诱导剂时,PLIN2 的表达会增加。下调 PLIN2 可以减轻脂肪酸和化学诱导的 ER 应激的影响,而 PLIN2 的过表达则会加剧这些影响。携带杂合 C96Y Ins2 突变的糖尿病 Akita 小鼠其β细胞中 PLIN2 表达和 ER 应激水平升高。在 Akita 小鼠中基因敲除 Plin2 可以减轻 ER 应激,阻止β细胞凋亡,部分恢复β细胞数量,并改善糖尿病。机制实验表明,PLIN2 的下调与自噬流的增强和 ER 应激的快速解决有关。总之,我们已经确定了 PLIN2 在调节自噬、ER 应激的解决和β细胞凋亡和存活方面的关键作用。

https://cdn.ncbi.nlm.nih.gov/pmc/blobs/718b/5244387/dd9b737e699f/srep40855-f1.jpg

文献AI研究员

20分钟写一篇综述,助力文献阅读效率提升50倍。

立即体验

用中文搜PubMed

大模型驱动的PubMed中文搜索引擎

马上搜索

文档翻译

学术文献翻译模型,支持多种主流文档格式。

立即体验