Suppr超能文献

关于采用腭侧入路和扩张球囊技术处理双侧上颌窦提升术后骨形成不全的病例报告。

Case report on managing incomplete bone formation after bilateral sinus augmentation using a palatal approach and a dilating balloon technique.

作者信息

Boehm Tobias K

机构信息

Western University of Health Sciences College of Dental Medicine, 309 E Second Street, Pomona, CA, 91766, USA.

出版信息

Int J Implant Dent. 2017 Dec;3(1):3. doi: 10.1186/s40729-017-0065-7. Epub 2017 Jan 19.

Abstract

BACKGROUND

Patients with resorbed edentulous alveolar ridges in the posterior maxilla often require lateral window sinus augmentation procedures prior to implant placement. Lateral window sinus augmentation procedures can produce incomplete bone augmentation as consequence of surgical and healing complications producing unusual and complex sinus anatomy. Although incomplete bone formation after sinus augmentation has been described in a previous case reports, this is the first case report that describes grafting these compromised sites prior to implant placement.

CASE PRESENTATION

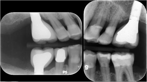
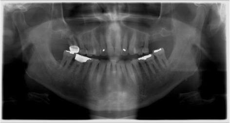
A 65-year-old male patient with no known medical conditions presented with severe chronic localized periodontitis and a combined periodontal-endodontic lesion affecting three first molars. Initial ridge preservation and lateral window sinus augmentation resulted in incomplete bone formation and complex sinus floor anatomy on both right and left sides. A dilating balloon technique on one side and a palatal approach on the other side were utilized for additional sinus augmentation using particulate allograft and resorbable collagen membranes. Healing was uneventful, and implants could be placed and restored at all sites. Periodontal maintenance was conducted every 3 months, and the implants have been in function and periodontally healthy for 2 years.

CONCLUSION

Despite initial failure of sinus augmentation to produce suitable implant sites, it is possible to rescue these sites with re-entry grafting procedures and allow successful implant placement and restoration.

摘要

背景

上颌后牙区牙槽嵴吸收的患者在种植体植入前通常需要进行侧窗式上颌窦提升术。由于手术和愈合并发症导致上颌窦解剖结构异常复杂,侧窗式上颌窦提升术可能会导致骨增量不完全。尽管之前的病例报告中已经描述了上颌窦提升术后骨形成不完全的情况,但这是第一例在种植体植入前对这些受损部位进行植骨的病例报告。

病例介绍

一名65岁男性患者,无已知病史,患有严重的慢性局限性牙周炎以及累及三颗第一磨牙的牙周牙髓联合病变。最初的牙槽嵴保存和侧窗式上颌窦提升术导致左右两侧骨形成不完全且上颌窦底解剖结构复杂。一侧采用扩张球囊技术,另一侧采用腭侧入路,使用颗粒状同种异体骨和可吸收胶原膜进行额外的上颌窦提升。愈合过程顺利,所有部位均可植入并修复种植体。每3个月进行一次牙周维护,种植体已正常行使功能且牙周健康2年。

结论

尽管最初上颌窦提升未能产生合适的种植部位,但通过再次植骨手术挽救这些部位并成功植入和修复种植体是可行的。

https://cdn.ncbi.nlm.nih.gov/pmc/blobs/c54c/5247393/92cc5c2be367/40729_2017_65_Fig1_HTML.jpg

文献AI研究员

20分钟写一篇综述,助力文献阅读效率提升50倍。

立即体验

用中文搜PubMed

大模型驱动的PubMed中文搜索引擎

马上搜索

文档翻译

学术文献翻译模型,支持多种主流文档格式。

立即体验