Suppr超能文献

肝切除治疗巨大肝包虫囊肿:两例报告

Huge echinococcal cyst of the liver managed by hepatectomy: Report of two cases.

作者信息

Pavlidis Efstathios T, Symeonidis Nikolaos, Psarras Kyriakos, Pavlidis Theodoros E

机构信息

Aristotle University of Thessaloniki, Medical School, Second Surgical Propedeutic Department, Hippokratio General Hospital of Thessaloniki, 49 Konstantinoupoleos Str, 546 42 Thessaloniki, Greece.

Aristotle University of Thessaloniki, Medical School, Second Surgical Propedeutic Department, Hippokratio General Hospital of Thessaloniki, 49 Konstantinoupoleos Str, 546 42 Thessaloniki, Greece.

出版信息

Int J Surg Case Rep. 2017;31:79-82. doi: 10.1016/j.ijscr.2017.01.017. Epub 2017 Jan 10.

Abstract

INTRODUCTION

Echinococcocal cysts are predominantly located in the right liver. They are usually solitary and asymptomatic, but large cysts can cause compression symptoms.

CASE REPORTS

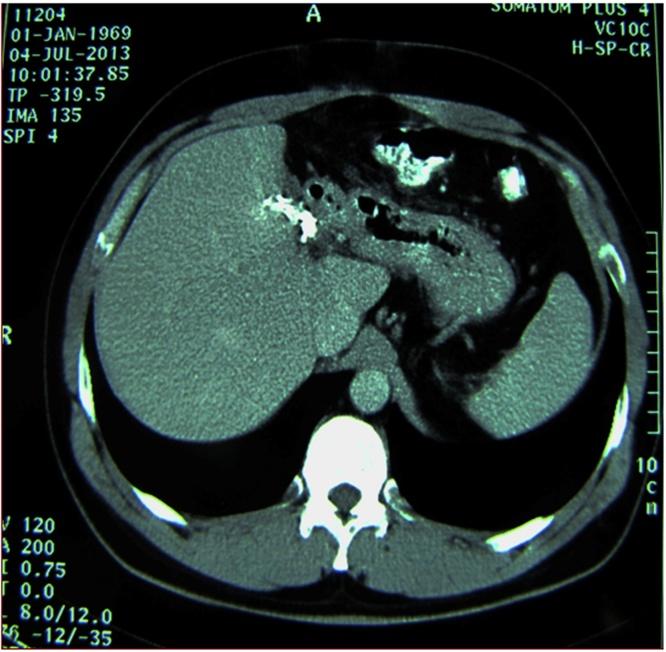
We report two cases of huge (25cm and 20cm in diameter, respectively) echinococcal cysts located in the left liver, which presented as a large palpable mass causing compression symptoms. Diagnosis was established with CT scan showing a cystic mass with the characteristic daughter cysts and reactive layer (pericystic wall) consisting of fibrous connective tissue and calcifications. Both patients were treated radically with left hepatectomy and had uneventful postoperative course and no recurrence upon follow-up.

DISCUSSION

The treatment of liver echinococcal cysts represent a unique surgical challenge. Even though conservative approaches are less technically demanding, the radical approach with resection has better outcome with less recurrences, when performed by experienced surgeons.

CONCLUSION

Resection rather than drainage is the management of choice for such huge liver echinococcal cysts.

摘要

引言

棘球蚴囊肿主要位于肝脏右叶。它们通常为单发且无症状,但大囊肿可引起压迫症状。

病例报告

我们报告两例位于肝脏左叶的巨大棘球蚴囊肿(直径分别为25厘米和20厘米),表现为可触及的巨大肿块并引起压迫症状。通过CT扫描确诊,显示为囊性肿块,具有特征性的子囊和由纤维结缔组织及钙化构成的反应层(包囊壁)。两名患者均接受了左半肝切除术根治性治疗,术后恢复顺利,随访无复发。

讨论

肝棘球蚴囊肿的治疗是一项独特的外科挑战。尽管保守方法技术要求较低,但由经验丰富的外科医生进行切除的根治性方法效果更好,复发率更低。

结论

对于此类巨大肝棘球蚴囊肿,手术切除而非引流是首选的治疗方法。

https://cdn.ncbi.nlm.nih.gov/pmc/blobs/66ae/5257183/b91466de7b59/gr1.jpg

文献AI研究员

20分钟写一篇综述,助力文献阅读效率提升50倍。

立即体验

用中文搜PubMed

大模型驱动的PubMed中文搜索引擎

马上搜索

文档翻译

学术文献翻译模型,支持多种主流文档格式。

立即体验