Oh Jooyoung, Chun Ji-Won, Kim Eunseong, Park Hae-Jeong, Lee Boreom, Kim Jae-Jin
Department of Biomedical Science and Engineering (BMSE) Institute of Integrated Technology (IIT) Gwangju Institute of Science and Technology (GIST) Gwangju Korea.
Institute of Behavioral Science in Medicine Yonsei University College of Medicine Seoul Korea.
Brain Behav. 2016 Nov 22;7(1):e00602. doi: 10.1002/brb3.602. eCollection 2017 Jan.
Patients with schizophrenia exhibit several cognitive deficits, including memory impairment. Problems with recognition memory can hinder socially adaptive behavior. Previous investigations have suggested that altered activation of the frontotemporal area plays an important role in recognition memory impairment. However, the cerebral networks related to these deficits are not known. The aim of this study was to elucidate the brain networks required for recognizing socially relevant information in patients with schizophrenia performing an old-new recognition task.
Sixteen patients with schizophrenia and 16 controls participated in this study. First, the subjects performed the theme-identification task during functional magnetic resonance imaging. In this task, pictures depicting social situations were presented with three words, and the subjects were asked to select the best theme word for each picture. The subjects then performed an old-new recognition task in which they were asked to discriminate whether the presented words were old or new. Task performance and neural responses in the old-new recognition task were compared between the subject groups. An independent component analysis of the functional connectivity was performed.
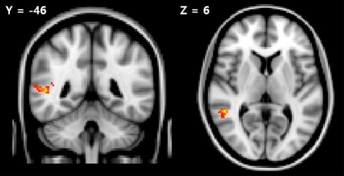
The patients with schizophrenia exhibited decreased discriminability and increased activation of the right superior temporal gyrus compared with the controls during correct responses. Furthermore, aberrant network activities were found in the frontopolar and language comprehension networks in the patients.
The functional connectivity analysis showed aberrant connectivity in the frontopolar and language comprehension networks in the patients with schizophrenia, and these aberrations possibly contribute to their low recognition performance and social dysfunction. These results suggest that the frontopolar and language comprehension networks are potential therapeutic targets in patients with schizophrenia.
精神分裂症患者存在多种认知缺陷,包括记忆障碍。识别记忆问题会阻碍社会适应性行为。先前的研究表明,额颞叶区域激活改变在识别记忆障碍中起重要作用。然而,与这些缺陷相关的脑网络尚不清楚。本研究的目的是阐明精神分裂症患者在执行新旧识别任务时识别社会相关信息所需的脑网络。
16名精神分裂症患者和16名对照参与了本研究。首先,受试者在功能磁共振成像期间执行主题识别任务。在该任务中,呈现描绘社会情境的图片并伴有三个单词,要求受试者为每张图片选择最佳主题词。然后,受试者执行新旧识别任务,要求他们辨别呈现的单词是旧的还是新的。比较两组受试者在新旧识别任务中的任务表现和神经反应。对功能连接进行独立成分分析。
与对照组相比,精神分裂症患者在正确反应期间表现出辨别能力下降和右侧颞上回激活增加。此外,在患者的额极和语言理解网络中发现了异常的网络活动。
功能连接分析显示精神分裂症患者的额极和语言理解网络存在异常连接,这些异常可能导致他们的识别表现低下和社会功能障碍。这些结果表明,额极和语言理解网络是精神分裂症患者潜在的治疗靶点。