Marutani Akiko, Nakagawa Ichiro, Park Hun Soo, Tamura Kentaro, Motoyama Yasushi, Nakase Hiroyuki
Department of Neurosurgery, Nara Medical University, Nara, Japan.
Surg Neurol Int. 2016 Dec 21;7(Suppl 41):S1065-S1068. doi: 10.4103/2152-7806.196377. eCollection 2016.
A distal posterior inferior cerebellar artery (PICA) aneurysm at the cortical segment after atherosclerotic basilar artery occlusion is extremely rare. Here, we report the case of a ruptured distal PICA aneurysm 8 years after basilar artery occlusion.
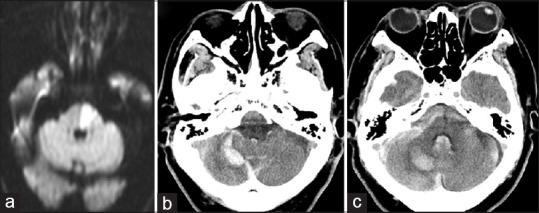
A 75-year-old man experienced sudden disturbance of consciousness; computed tomography demonstrated cerebellar and subarachnoid hemorrhage due to a ruptured distal PICA aneurysm. Neck clipping of the aneurysm prevented re-rupture initially, and superficial temporal artery-superior cerebellar artery (STA-SCA) bypass was performed 3 months after admission. Postoperative angiography confirmed patency of the bypass, and the patient was discharged without any new neurological deficits.
This report describes a case of development of a saccular distal PICA aneurysm after atherosclerotic basilar artery occlusion. We believe that increased hemodynamic stress at the PICA might have contributed to the occurrence and rupture of the aneurysm. STA-SCA bypass, introduced in the territory of the cerebellar hemisphere, reduces hemodynamic stress, which would prevent the occurrence of aneurysm and recurrent bleeding.
动脉粥样硬化性基底动脉闭塞后皮质段小脑后下动脉(PICA)远端动脉瘤极为罕见。在此,我们报告一例基底动脉闭塞8年后破裂的PICA远端动脉瘤病例。
一名75岁男性突发意识障碍;计算机断层扫描显示因PICA远端动脉瘤破裂导致小脑和蛛网膜下腔出血。动脉瘤颈部夹闭最初防止了再次破裂,入院3个月后进行了颞浅动脉-小脑上动脉(STA-SCA)搭桥手术。术后血管造影证实搭桥通畅,患者出院时无任何新的神经功能缺损。
本报告描述了一例动脉粥样硬化性基底动脉闭塞后囊状PICA远端动脉瘤形成的病例。我们认为PICA处血流动力学应力增加可能促成了动脉瘤的发生和破裂。引入小脑半球区域的STA-SCA搭桥手术可降低血流动力学应力,从而预防动脉瘤的发生和再出血。