Suppr超能文献

超声内镜引导下腹腔神经丛阻滞术后的类固醇诱导性精神病

Steroid-Induced Psychosis after EUS-Guided Celiac Plexus Blockade.

作者信息

Olson David C, Lewis Jason J

机构信息

Department of Gastroenterology, Carolinas Medical Center, Charlotte, NC.

出版信息

ACG Case Rep J. 2017 Jan 18;4:e11. doi: 10.14309/crj.2017.11. eCollection 2017.

Abstract

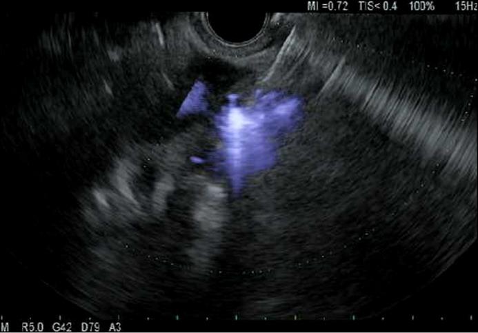
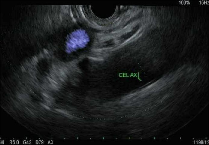
A 46-year-old female with no previous personal or family psychiatric history underwent endoscopic ultrasound (EUS)-guided celiac plexus blockade (CPB) to treat pain related to cystic fibrosis transmembrane conductance regulator-associated chronic pancreatitis. She had excellent response to her first three CPBs using bupivacaine and triamcinolone. The patient's subsequent CPBs were complicated by symptoms of racing thoughts, delusional thinking, and insomnia. She was diagnosed with acute psychosis secondary to triamcinolone. This is the first reported case of steroid-induced psychosis caused by EUS-guided CPB. Optimal treatment for steroid-induced psychiatric symptoms include dose reduction or discontinuation of steroids and administration of lithium, valproic acid, or atypical antipsychotics.

摘要

一名46岁女性,既往无个人或家族精神病史,接受了内镜超声(EUS)引导下的腹腔神经丛阻滞(CPB)以治疗与囊性纤维化跨膜传导调节因子相关的慢性胰腺炎引起的疼痛。她对前三剂使用布比卡因和曲安奈德的CPB反应良好。该患者随后的CPB出现了思维奔逸、妄想思维和失眠症状。她被诊断为曲安奈德继发的急性精神病。这是首例关于EUS引导下CPB导致类固醇诱导性精神病的报道病例。类固醇诱导性精神症状的最佳治疗方法包括减少或停用类固醇以及给予锂盐、丙戊酸或非典型抗精神病药物。

https://cdn.ncbi.nlm.nih.gov/pmc/blobs/b68d/5247628/43df2dea8bec/CG-CGCR160160F001.jpg

文献AI研究员

20分钟写一篇综述,助力文献阅读效率提升50倍。

立即体验

用中文搜PubMed

大模型驱动的PubMed中文搜索引擎

马上搜索

文档翻译

学术文献翻译模型,支持多种主流文档格式。

立即体验