Suppr超能文献

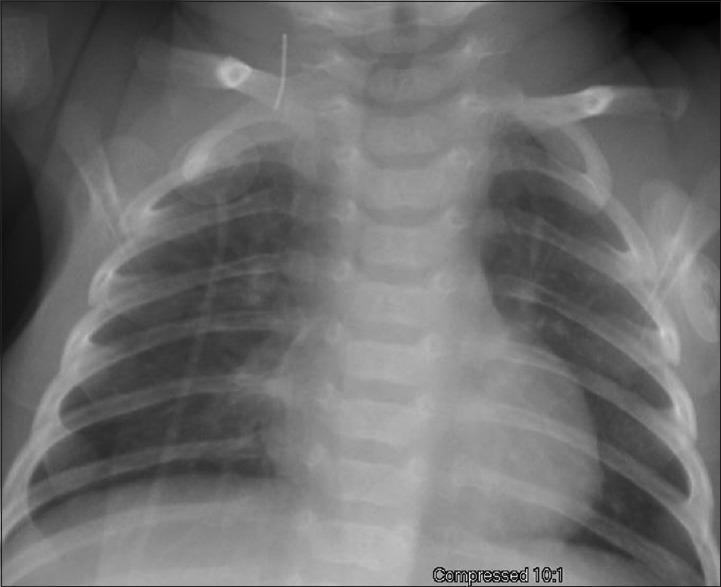
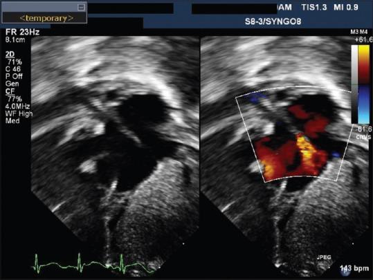
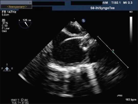
在一名婴儿中,使用Atrieve™血管圈套器,在荧光透视和经食管超声心动图联合引导下,取出残留于心内的射线可透过的导丝碎片。

Removal of a retained intracardiac radiolucent guidewire fragment using an Atrieve™ vascular snare using combined fluoroscopy and transesophageal echocardiography guidance in an infant.

作者信息

Padiyath Asif, Fontenot Eudice E, Abraham Boban P

机构信息

Department of Pediatrics, Section of Pediatric Cardiology, Arkansas Children's Hospital, University of Arkansas for Medical Sciences, Little Rock, Arkansas 72202, USA.

出版信息

Ann Pediatr Cardiol. 2017 Jan-Apr;10(1):65-68. doi: 10.4103/0974-2069.197068.

Abstract

Retained intravascular foreign body is a well-known complication of central venous access placement in children as well as adults. Most of these foreign bodies are radio-opaque and hence are removed under fluoroscopy guidance. In our case, we describe the removal of an intracardiac radiolucent foreign body in an infant utilizing a combination technique - transesophageal echocardiogram and fluoroscopy.

摘要

血管内异物残留是儿童及成人中心静脉置管的一种常见并发症。这些异物大多是不透射线的,因此在荧光透视引导下取出。在我们的病例中,我们描述了采用经食管超声心动图和荧光透视联合技术为一名婴儿取出心内透射线异物的过程。

https://cdn.ncbi.nlm.nih.gov/pmc/blobs/7b21/5241848/1841e08db77e/APC-10-65-g001.jpg

文献AI研究员

20分钟写一篇综述,助力文献阅读效率提升50倍。

立即体验

用中文搜PubMed

大模型驱动的PubMed中文搜索引擎

马上搜索

文档翻译

学术文献翻译模型,支持多种主流文档格式。

立即体验