Kouame Maurice, Traore Moctar, Yepie Armand, Anoumou Michel
Department of Orthopaedics, Treichville Teaching Hospital, (Abidjan/Ivory Coast), PO Box V 3 Abidjan 01.
J Orthop Case Rep. 2016 Sep-Oct;6(4):80-83. doi: 10.13107/jocr.2250-0685.582.
Ossifications after osteosynthesis of the proximal humerus are poorly described. We report a case of major and early ossifications after synthesis of a fracture dislocation of the shoulder.
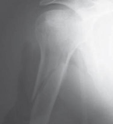
A 57-year-old man, right-handed, bipolar schizophrenic, presented after a fall, a fracture of the head and metaphysis of the humerus from the anterior notch of posterior dislocation of the right humerus. An osteosynthesis was performed after reduction on the tenth posttraumatic day. The postoperative period was complicated because of early ossifications and painless stiffness of the shoulder.
The importance of local trauma, the long consultation period, the operative difficulties and the heparin therapy are factors that could have favored the occurrence of ossifications. Preventive treatment could have prevented them or limited their extent.
肱骨近端骨合成后的骨化情况鲜有描述。我们报告一例肩关节骨折脱位复位固定术后早期严重骨化的病例。
一名57岁右利手双相精神分裂症男性,因跌倒后出现右肱骨后脱位伴肱骨头部及干骺端骨折就诊。创伤后第10天复位后进行了骨合成。术后因早期骨化和肩关节无痛性僵硬而出现并发症。
局部创伤的严重性、较长的会诊时间、手术难度以及肝素治疗等因素可能促使了骨化的发生。预防性治疗本可预防骨化或限制其程度。