Suppr超能文献

硬脊膜下脊柱Rosai-Dorfman病伴长节段病变:1例病例报告及文献复习

Rosai-Dorfman disease of the subdural spine with a long segment lesion: A case report and literature review.

作者信息

Tu Ji, Li Wen-Tian, Yang Cao

机构信息

1 Department of Orthopaedics, Union Hospital, Tongji Medical College, Huazhong University of Science and Technology, Wuhan, Hubei Province, China.

2 Wuhan Institute of Biological Products Co. limited, Wuhan, Hubei Province, China.

出版信息

J Int Med Res. 2017 Apr;45(2):875-881. doi: 10.1177/0300060516687228. Epub 2017 Feb 8.

Abstract

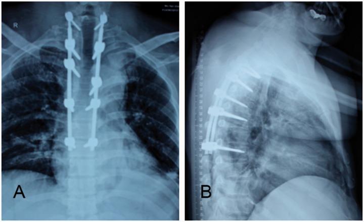
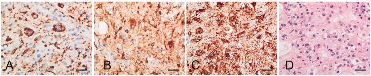
Rosai-Dorfman disease (RDD) or sinus histiocytosis with massive lymphadenopathy is a rare benign disorder usually characterized by massive painless cervical lymphadenopathy and systemic manifestations. Extranodal involvement, especially spinal involvement, is extremely rare. We report a 41-year-old man who presented with only intermittent dorsodynia. His condition was diagnosed as non-specific inflammatory disease on the basis of preoperative puncture biopsy results. We performed total surgical resection. Histopathological findings showed distinctive emperipolesis and immunohistochemistry results were positive for cluster of differentiation CD68 and S100 and negative for CD1a. A good prognosis was confirmed at the 3-month follow-up visit. This is the first case of RDD of the subdural spine with such a long segment lesion. There is still no consensus regarding appropriate therapy for this type of RDD and the preoperative diagnosis remains challenging. The unusual presentation of our case serves as a reference when diagnosing and treating RDD.

摘要

罗萨伊-多夫曼病(RDD)或伴有巨大淋巴结病的窦性组织细胞增生症是一种罕见的良性疾病,通常表现为无痛性巨大颈部淋巴结病和全身症状。结外受累,尤其是脊柱受累极为罕见。我们报告一名41岁男性,仅表现为间歇性背痛。根据术前穿刺活检结果,其病情被诊断为非特异性炎症性疾病。我们进行了全手术切除。组织病理学检查结果显示有独特的血细胞吞噬现象,免疫组化结果显示分化簇CD68和S100呈阳性,CD1a呈阴性。在3个月的随访中证实预后良好。这是首例硬膜下脊柱RDD伴如此长节段病变的病例。对于这类RDD的适当治疗仍未达成共识,术前诊断仍然具有挑战性。我们病例的不寻常表现为RDD的诊断和治疗提供了参考。

https://cdn.ncbi.nlm.nih.gov/pmc/blobs/db15/5536658/b70ba344c360/10.1177_0300060516687228-fig1.jpg

文献AI研究员

20分钟写一篇综述,助力文献阅读效率提升50倍。

立即体验

用中文搜PubMed

大模型驱动的PubMed中文搜索引擎

马上搜索

文档翻译

学术文献翻译模型,支持多种主流文档格式。

立即体验