Suppr超能文献

结外侵犯是淋巴结阳性乳腺癌的一个重要预后因素。

Extra-nodal extension is a significant prognostic factor in lymph node positive breast cancer.

作者信息

Aziz Sura, Wik Elisabeth, Knutsvik Gøril, Klingen Tor Audun, Chen Ying, Davidsen Benedicte, Aas Hans, Aas Turid, Akslen Lars A

机构信息

Centre for Cancer Biomarkers CCBIO, Department of Clinical Medicine, Section for Pathology, University of Bergen, Bergen, Norway.

Department of Pathology, Haukeland University Hospital, Bergen, Norway.

出版信息

PLoS One. 2017 Feb 15;12(2):e0171853. doi: 10.1371/journal.pone.0171853. eCollection 2017.

Abstract

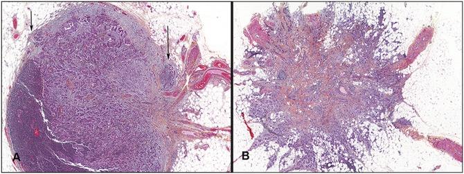
Presence of lymph node (LN) metastasis is a strong prognostic factor in breast cancer, whereas the importance of extra-nodal extension and other nodal tumor features have not yet been fully recognized. Here, we examined microscopic features of lymph node metastases and their prognostic value in a population-based cohort of node positive breast cancer (n = 218), as part of the prospective Norwegian Breast Cancer Screening Program NBCSP (1996-2009). Sections were reviewed for the largest metastatic tumor diameter (TD-MET), nodal afferent and efferent vascular invasion (AVI and EVI), extra-nodal extension (ENE), number of ENE foci, as well as circumferential (CD-ENE) and perpendicular (PD-ENE) diameter of extra-nodal growth. Number of positive lymph nodes, EVI, and PD-ENE were significantly increased with larger primary tumor (PT) diameter. Univariate survival analysis showed that several features of nodal metastases were associated with disease-free (DFS) or breast cancer specific survival (BCSS). Multivariate analysis demonstrated an independent prognostic value of PD-ENE (with 3 mm as cut-off value) in predicting DFS and BCSS, along with number of positive nodes and histologic grade of the primary tumor (for DFS: P = 0.01, P = 0.02, P = 0.01, respectively; for BCSS: P = 0.02, P = 0.008, P = 0.02, respectively). To conclude, the extent of ENE by its perpendicular diameter was independently prognostic and should be considered in line with nodal tumor burden in treatment decisions of node positive breast cancer.

摘要

淋巴结(LN)转移的存在是乳腺癌的一个强有力的预后因素,而结外扩展和其他淋巴结肿瘤特征的重要性尚未得到充分认识。在此,作为前瞻性挪威乳腺癌筛查项目NBCSP(1996 - 2009年)的一部分,我们在一个基于人群的淋巴结阳性乳腺癌队列(n = 218)中研究了淋巴结转移的微观特征及其预后价值。对切片进行了检查,以确定最大转移瘤直径(TD - MET)、淋巴结输入和输出血管侵犯(AVI和EVI)、结外扩展(ENE)、ENE病灶数量,以及结外生长的圆周直径(CD - ENE)和垂直直径(PD - ENE)。阳性淋巴结数量、EVI和PD - ENE随着原发肿瘤(PT)直径增大而显著增加。单因素生存分析表明,淋巴结转移的几个特征与无病生存(DFS)或乳腺癌特异性生存(BCSS)相关。多因素分析表明,PD - ENE(以3 mm为临界值)在预测DFS和BCSS方面具有独立的预后价值,同时还有阳性淋巴结数量和原发肿瘤的组织学分级(对于DFS:P分别为0.01、0.02、0.01;对于BCSS:P分别为0.02、0.008、0.02)。总之,ENE垂直直径的范围具有独立的预后意义,在淋巴结阳性乳腺癌的治疗决策中应与淋巴结肿瘤负荷一并考虑。

https://cdn.ncbi.nlm.nih.gov/pmc/blobs/feda/5310784/73530a1da947/pone.0171853.g001.jpg

相似文献

1
Extra-nodal extension is a significant prognostic factor in lymph node positive breast cancer.
PLoS One. 2017 Feb 15;12(2):e0171853. doi: 10.1371/journal.pone.0171853. eCollection 2017.
2
Prognostic value of extranodal extension in axillary lymph node-positive breast cancer.
Sci Rep. 2021 May 5;11(1):9534. doi: 10.1038/s41598-021-88716-4.
3
Clinical significance of extranodal extension in sentinel lymph node positive breast cancer.
Sci Rep. 2020 Sep 7;10(1):14684. doi: 10.1038/s41598-020-71594-7.
8
Extranodal extension is a powerful prognostic factor in bladder cancer patients with lymph node metastasis.
Eur Urol. 2013 Nov;64(5):837-45. doi: 10.1016/j.eururo.2012.07.026. Epub 2012 Jul 20.
10
[Correlation between extranodal invasion in axillary lymph node metastasis and prognosis of breast cancer patients].
Zhonghua Bing Li Xue Za Zhi. 2017 Aug 8;46(8):525-529. doi: 10.3760/cma.j.issn.0529-5807.2017.08.002.

引用本文的文献

1
Radiotherapy Boost to Clinically Positive Internal Mammary Lymph Nodes: An Effective Non-Surgical Alternative?
J Breast Cancer. 2025 Aug;28(4):228-241. doi: 10.4048/jbc.2024.0304. Epub 2025 Jul 8.
3
Prognostic predictive value of Ki-67 in stage I-II triple-negative breast cancer.
Future Sci OA. 2024 May 23;10(1):FSO936. doi: 10.2144/fsoa-2023-0129. eCollection 2024.
6
Prognostic value of extranodal extension in axillary lymph node-positive breast cancer.
Sci Rep. 2021 May 5;11(1):9534. doi: 10.1038/s41598-021-88716-4.
7
Clinical significance of extranodal extension in sentinel lymph node positive breast cancer.
Sci Rep. 2020 Sep 7;10(1):14684. doi: 10.1038/s41598-020-71594-7.
8
Prediction of nodal staging in breast cancer patients with 1-2 sentinel nodes in the Z0011 era.
Medicine (Baltimore). 2020 Aug 28;99(35):e21721. doi: 10.1097/MD.0000000000021721.
9
The role of staging Computed Tomography on detection of occult metastasis in asymptomatic breast cancer patients.
Cancer Rep (Hoboken). 2020 Jun;3(3):e1247. doi: 10.1002/cnr2.1247. Epub 2020 May 7.
10
Microscopic Extracapsular Extension in Sentinel Lymph Nodes Does Not Mandate Axillary Dissection in Z0011-Eligible Patients.
Ann Surg Oncol. 2020 May;27(5):1617-1624. doi: 10.1245/s10434-019-08104-1. Epub 2019 Dec 9.

本文引用的文献

2
Evaluation of Tumor Cell Proliferation by Ki-67 Expression and Mitotic Count in Lymph Node Metastases from Breast Cancer.
PLoS One. 2016 Mar 8;11(3):e0150979. doi: 10.1371/journal.pone.0150979. eCollection 2016.
4
Metastatic Tumor Volume and Extranodal Tumor Extension: Clinical Significance in Patients With Stage II Breast Cancer.
Arch Pathol Lab Med. 2015 Oct;139(10):1288-94. doi: 10.5858/arpa.2014-0375-OA. Epub 2015 Mar 13.
8
The extent of extracapsular extension may influence the need for axillary lymph node dissection in patients with T1-T2 breast cancer.
Ann Surg Oncol. 2014 Sep;21(9):2897-903. doi: 10.1245/s10434-014-3752-0. Epub 2014 Apr 29.
10
Is extracapsular tumour spread a prognostic factor in patients with early breast cancer?
Int J Clin Oncol. 2013 Aug;18(4):607-13. doi: 10.1007/s10147-012-0439-z. Epub 2012 Jul 5.

文献AI研究员

20分钟写一篇综述,助力文献阅读效率提升50倍。

立即体验

用中文搜PubMed

大模型驱动的PubMed中文搜索引擎

马上搜索

文档翻译

学术文献翻译模型,支持多种主流文档格式。

立即体验