Suppr超能文献

Iprindole reverses the lamellar body deficiency of cultured L-2 cells. Possible implications in the reversal of surfactant deficiency.

作者信息

Martin W J, Kachel D L

机构信息

Department of Internal Medicine, Mayo Clinic, Rochester, Minnesota.

出版信息

Am J Pathol. 1987 Oct;129(1):34-43.

Abstract

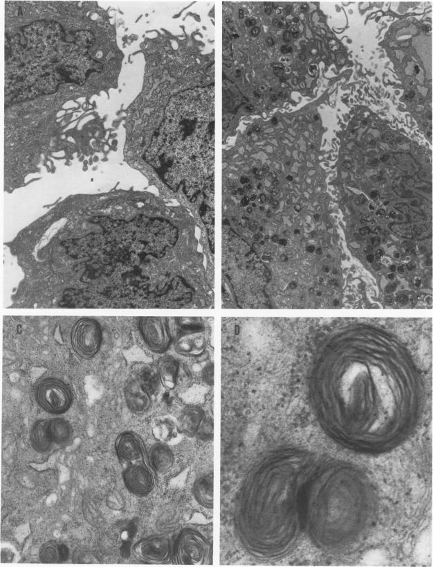
Type II alveolar epithelial cells in long-term culture typically lose the ability to synthesize surfactant together with a loss of the characteristic lamellar bodies in the cytoplasm of the cells. Iprindole, a cationic amphiphilic drug, induces lamellar body formation in cultured L-2 cells, a cell line derived from rat Type II cells, but devoid of lamellar bodies. With concentrations of 10(-7)-10(-5) M iprindole, which approximate therapeutic plasma concentrations in human subjects, the drug induced the formation of lamellar bodies within 8 hours of incubation. This effect on cell morphology was rapidly lost after withdrawal of the drug. At concentrations of iprindole which induced lamellar body formation, there was a significant increase in phospholipid content of the L-2 cells as well as an increase in disaturated phosphatidylcholine, an important constituent of surfactant. These studies suggest that the use of drugs such as iprindole may represent a novel approach in the augmentation of phospholipid (and possibly surfactant) content of Type II cells in the lung.

摘要
https://cdn.ncbi.nlm.nih.gov/pmc/blobs/7e23/1899685/c0fa6280cd31/amjpathol00139-0044-a.jpg

文献AI研究员

20分钟写一篇综述,助力文献阅读效率提升50倍。

立即体验

用中文搜PubMed

大模型驱动的PubMed中文搜索引擎

马上搜索

文档翻译

学术文献翻译模型,支持多种主流文档格式。

立即体验