Suppr超能文献

表达与致病性相关。

Expression Is Associated with Pathogenicity.

作者信息

Li Dan, Guo Yinjuan, Wang Shanshan, Lv Jingnan, Qi Xiuqin, Chen Zengqiang, Han Lizhong, Zhang Xueqing, Wang Liangxing, Yu Fangyou

机构信息

Department of Laboratory Medicine, the First Affiliated Hospital of Wenzhou Medical University Wenzhou, China.

Department of Clinical Microbiology, Ruijin Hospital of Shanghai Jiaotong University Shanghai, China.

出版信息

Front Microbiol. 2017 Feb 10;8:184. doi: 10.3389/fmicb.2017.00184. eCollection 2017.

Abstract

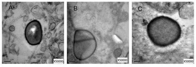
CapB2 is recognized as a tyrosine kinase and is likely a vital factor in extracellular polysaccharide synthesis in , but its pathogenicity function and regulatory mechanism remain obscure. Here, we demonstrate that CapB2 enhances bacterial virulence in a murine model. Mice infected with the wild type SA75 strain exhibited significantly larger ( < 0.05) skin lesions from days 4 to 7 of infection than those challenged with the mutant strain. The effect on virulence was reverted by restoring the mutation to the wild type. The related components of the wild type SA75 cell wall in the mutant strain (SA75Δ) were thinner than wild type SA75 strain and the mutant complemented strain (SA75Δ-C), which was determined by the transmission electron microscopy. The survival percentages of the wild type strain SA75 and SA75Δ-C were significantly higher relative to SA75Δ. The results of qRT-PCR studies also indicated that mutations in regulatory gene led to a drastic increase in capB2 gene transcription, with a 326-fold increase of growth at 6 h compared with the wild type strain, suggesting that sarA is a major negative regulator of capB2 expression. Taken together, these results demonstrate that the expression of CapB2 promotes virulence in a mouse model of skin infection, and that gene transcription is regulated negatively by SarA.

摘要

CapB2被认为是一种酪氨酸激酶,可能是[具体细菌名称]胞外多糖合成中的关键因子,但其致病功能和调控机制仍不清楚。在此,我们证明CapB2在小鼠模型中增强细菌毒力。感染野生型SA75菌株的小鼠在感染第4至7天的皮肤损伤明显大于用突变株攻击的小鼠(<0.05)。通过将突变恢复为野生型,对毒力的影响得以逆转。通过透射电子显微镜确定,突变株(SA75Δ)中野生型SA75细胞壁的相关成分比野生型SA75菌株和突变互补株(SA75Δ-C)更薄。野生型菌株SA75和SA75Δ-C的存活百分比相对于SA75Δ显著更高。qRT-PCR研究结果还表明,调控基因的突变导致capB2基因转录急剧增加,与野生型菌株相比,在6小时时生长增加了326倍,表明sarA是capB2表达的主要负调节因子。综上所述,这些结果表明CapB2的表达在皮肤感染小鼠模型中促进了[具体细菌名称]的毒力,并且基因转录受到SarA的负调控。

https://cdn.ncbi.nlm.nih.gov/pmc/blobs/1172/5300969/1a1dbe30013c/fmicb-08-00184-g001.jpg

文献AI研究员

20分钟写一篇综述,助力文献阅读效率提升50倍。

立即体验

用中文搜PubMed

大模型驱动的PubMed中文搜索引擎

马上搜索

文档翻译

学术文献翻译模型,支持多种主流文档格式。

立即体验