Suppr超能文献

骨保护素对去卵巢大鼠种植体骨整合的影响。

The effect of osteoprotegerin on implant osseointegration in ovariectomized rats.

作者信息

Liu Yiming, Hu Jing, Liu Biao, Jiang Xiliang, Li Yunfeng

机构信息

State Key Laboratory of Oral Diseases, National Clinical Research Center for Oral Diseases, Department of Oral and Maxillofacial Surgery, West China Hospital of Stomatology, Sichuan University, Chengdu, China.

出版信息

Arch Med Sci. 2017 Mar 1;13(2):489-495. doi: 10.5114/aoms.2017.65468. Epub 2017 Jan 25.

Abstract

INTRODUCTION

Osteoprotegerin (OPG), the endogenous inhibitor of RANKL, prevents or reverses bone loss in a variety of preclinical models of bone disease. Preclinical studies indicate that osteoporosis significantly impairs implant fixation. This study aims to investigate the role of OPG in implant osseointegration in ovariectomized rats.

MATERIAL AND METHODS

Twelve weeks after bilateral ovariectomy, each rat accepted two titanium screws in the proximal tibiae. All animals were then randomly divided into two groups: the control (10 rats) and OPG group (10 rats). Subcutaneous injection of OPG (10 mg/kg) or vehicle was performed three times a week. Eight weeks later, tibiae with screws were harvested for micro-computed tomography (μCT), histological and biomechanical analysis.

RESULTS

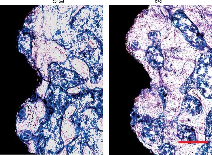
Compared to control, OPG increased the percent bone volume by 124%, the percent osseointegration by 167%, the mean trabecular number by 111%, the mean trabecular thickness by 92% ( < 0.01), the mean connective density by 95% ( < 0.05); and decreased the mean trabecular separation by 64% in μCT analysis ( < 0.05). Osteoprotegerin also increased bone area density by 160% and bone-to-implant contact by 234% in histomorphometric evaluation ( < 0.01), and increased the maximal push-out force by 228% in biomechanical test ( < 0.01).

CONCLUSIONS

Systemic administration of OPG improved implant osseointegration and fixation in ovariectomized rats, resulting from the increased peri-implant bone mass and improved trabecular microarchitecture.

摘要

引言

骨保护素(OPG)是RANKL的内源性抑制剂,可预防或逆转多种骨病临床前模型中的骨质流失。临床前研究表明,骨质疏松症会显著损害植入物固定。本研究旨在探讨OPG在去卵巢大鼠植入物骨整合中的作用。

材料与方法

双侧卵巢切除术后12周,每只大鼠在胫骨近端植入两枚钛螺钉。然后将所有动物随机分为两组:对照组(10只大鼠)和OPG组(10只大鼠)。每周皮下注射OPG(10 mg/kg)或赋形剂三次。8周后,取出带有螺钉的胫骨进行微型计算机断层扫描(μCT)、组织学和生物力学分析。

结果

与对照组相比,OPG使骨体积百分比增加了124%,骨整合百分比增加了167%,平均骨小梁数量增加了111%,平均骨小梁厚度增加了92%(P<0.01),平均连接密度增加了95%(P<0.05);在μCT分析中,平均骨小梁间距减少了64%(P<0.05)。在组织形态计量学评估中,骨保护素还使骨面积密度增加了160%,骨与植入物接触增加了234%(P<0.01),在生物力学测试中,最大推出力增加了228%(P<0.01)。

结论

全身给予OPG可改善去卵巢大鼠植入物的骨整合和固定,这是由于植入物周围骨量增加和骨小梁微结构改善所致。

https://cdn.ncbi.nlm.nih.gov/pmc/blobs/dff1/5332467/544293b6eaff/AMS-13-29245-g001.jpg

文献AI研究员

20分钟写一篇综述,助力文献阅读效率提升50倍。

立即体验

用中文搜PubMed

大模型驱动的PubMed中文搜索引擎

马上搜索

文档翻译

学术文献翻译模型,支持多种主流文档格式。

立即体验