• 文献检索
  • 文档翻译
  • 深度研究
  • 学术资讯
  • Suppr Zotero 插件Zotero 插件
  • 邀请有礼
  • 套餐&价格
  • 历史记录
应用&插件
Suppr Zotero 插件Zotero 插件浏览器插件Mac 客户端Windows 客户端微信小程序
定价
高级版会员购买积分包购买API积分包
服务
文献检索文档翻译深度研究API 文档MCP 服务
关于我们
关于 Suppr公司介绍联系我们用户协议隐私条款
关注我们

Suppr 超能文献

核心技术专利:CN118964589B侵权必究
粤ICP备2023148730 号-1Suppr @ 2026

文献检索

告别复杂PubMed语法,用中文像聊天一样搜索,搜遍4000万医学文献。AI智能推荐,让科研检索更轻松。

立即免费搜索

文件翻译

保留排版,准确专业,支持PDF/Word/PPT等文件格式,支持 12+语言互译。

免费翻译文档

深度研究

AI帮你快速写综述,25分钟生成高质量综述,智能提取关键信息,辅助科研写作。

立即免费体验

用于非小细胞肺癌和眼部转移的酪氨酸激酶抑制剂:疾病复发还是一种新情况?

Tyrosine Kinase Inhibitors for Non-Small Cell Lung Cancer and Eye Metastasis: Disease Relapse or a New Entity?

作者信息

Zarogoulidis Paul, Lampaki Sofia, Chinelis Panos, Lazaridis George, Baka Sofia, Rapti Aggeliki

机构信息

Pulmonary Department, Oncology Unit, G. Papanikolaou General Hospital, Aristotle University of Thessaloniki, Thessaloniki, Greece.

Oncology Department, G. Papageorgiou University General Hospital, Thessaloniki, Greece.

出版信息

Med Hypothesis Discov Innov Ophthalmol. 2016 Winter;5(4):132-135.

PMID:28293661
原文链接:https://pmc.ncbi.nlm.nih.gov/articles/PMC5346303/
Abstract

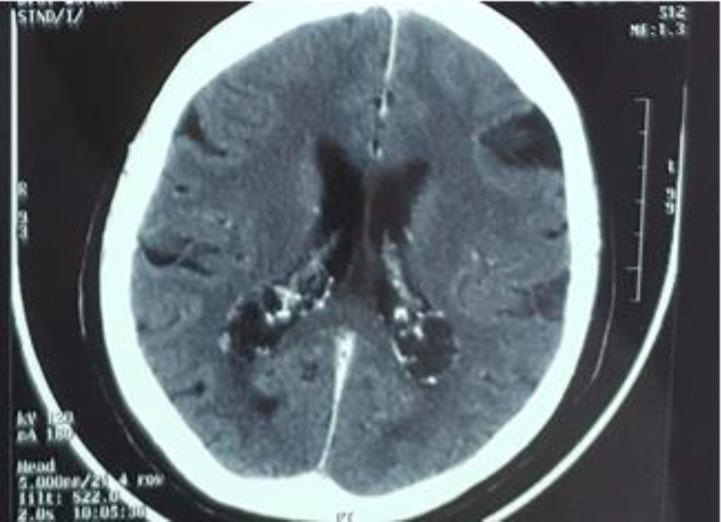
Lung cancer is still diagnosed during the advanced stage of the disease and most patients do not have the opportunity for surgical treatment, despite the new diagnostic equipment that has been made available in recent years, such as the radial and linear endobronchial ultrasound (EBUS) and electromagnetic fiberoptic bronchoscopy. However, novel targeted therapies with second generation tyrosine kinase inhibitors and immunotherapy are available. In this commentary, we will focus on eye metastasis after initiation of tyrosine kinase inhibitors due to epidermal growth factor mutation of lung cancer adenocarcinoma.

摘要

尽管近年来出现了新的诊断设备,如径向和线性支气管内超声(EBUS)以及电磁纤维支气管镜,但肺癌仍在疾病晚期才被诊断出来,大多数患者没有机会接受手术治疗。然而,有第二代酪氨酸激酶抑制剂和免疫疗法等新型靶向治疗方法。在这篇评论中,我们将聚焦于因肺腺癌表皮生长因子突变而开始使用酪氨酸激酶抑制剂后出现的眼部转移。

https://cdn.ncbi.nlm.nih.gov/pmc/blobs/48ed/5346303/4cadf62bff80/mehdiophth-5-132-g001.jpg
https://cdn.ncbi.nlm.nih.gov/pmc/blobs/48ed/5346303/4cadf62bff80/mehdiophth-5-132-g001.jpg
https://cdn.ncbi.nlm.nih.gov/pmc/blobs/48ed/5346303/4cadf62bff80/mehdiophth-5-132-g001.jpg

相似文献

1
Tyrosine Kinase Inhibitors for Non-Small Cell Lung Cancer and Eye Metastasis: Disease Relapse or a New Entity?用于非小细胞肺癌和眼部转移的酪氨酸激酶抑制剂:疾病复发还是一种新情况?
Med Hypothesis Discov Innov Ophthalmol. 2016 Winter;5(4):132-135.
2
Tyrosine kinase inhibitors for epidermal growth factor receptor gene mutation-positive non-small cell lung cancers: an update for recent advances in therapeutics.用于表皮生长因子受体基因突变阳性非小细胞肺癌的酪氨酸激酶抑制剂:治疗学最新进展
J Oncol Pharm Pract. 2016 Jun;22(3):461-76. doi: 10.1177/1078155215577810. Epub 2015 Apr 8.
3
Re-biopsy by endobronchial ultrasound procedures for mutation analysis of non-small cell lung cancer after EGFR tyrosine kinase inhibitor treatment.经支气管超声引导下再次活检用于表皮生长因子受体酪氨酸激酶抑制剂治疗后非小细胞肺癌的突变分析。
BMC Pulm Med. 2016 Jul 26;16(1):106. doi: 10.1186/s12890-016-0268-3.
4
Molecular analysis of peripheral non-squamous non-small cell lung cancer sampled by radial EBUS.经径向超声支气管镜引导下肺活检获取的外周型非鳞非小细胞肺癌的分子分析
Respirology. 2016 May;21(4):718-26. doi: 10.1111/resp.12737. Epub 2016 Jan 27.
5
Molecular analysis of peripheral lung adenocarcinoma in brush cytology obtained by EBUS plus fluoroscopy-guided bronchoscopy.经 EBUS 加透视引导支气管镜刷取的外周型肺腺癌的分子分析。
Cancer Cytopathol. 2018 Oct;126(10):860-871. doi: 10.1002/cncy.22053. Epub 2018 Oct 6.
6
Convex endobronchial ultrasound: same coin, two faces. Challenging biopsy and staging for non-small-cell lung cancer.凸面支气管内超声:同一枚硬币的两面。非小细胞肺癌活检及分期面临的挑战。
Lung Cancer Manag. 2020 Jan 16;8(4):LMT20. doi: 10.2217/lmt-2019-0008.
7
Recent advances in diagnostic bronchoscopy.诊断性支气管镜检查的最新进展
J Thorac Dis. 2016 Dec;8(12):3808-3817. doi: 10.21037/jtd.2016.12.70.
8
Combined endobronchial and esophageal endosonography for the diagnosis and staging of lung cancer: European Society of Gastrointestinal Endoscopy (ESGE) Guideline, in cooperation with the European Respiratory Society (ERS) and the European Society of Thoracic Surgeons (ESTS).支气管内与食管内超声联合用于肺癌诊断及分期:欧洲胃肠内镜学会(ESGE)指南,与欧洲呼吸学会(ERS)及欧洲胸外科医师学会(ESTS)合作制定
Endoscopy. 2015 Jun;47(6):545-59. doi: 10.1055/s-0034-1392040. Epub 2015 Jun 1.
9
Feasibility of tissue re-biopsy in non-small cell lung cancers resistant to previous epidermal growth factor receptor tyrosine kinase inhibitor therapies.组织再活检在先前表皮生长因子受体酪氨酸激酶抑制剂治疗耐药的非小细胞肺癌中的可行性。
BMC Pulm Med. 2017 Dec 6;17(1):175. doi: 10.1186/s12890-017-0514-3.
10
Clinical impact of switching to a second EGFR-TKI after a severe AE related to a first EGFR-TKI in EGFR-mutated NSCLC.表皮生长因子受体突变型非小细胞肺癌患者使用第一代表皮生长因子受体酪氨酸激酶抑制剂(EGFR-TKI)发生严重不良反应后切换使用第二代 EGFR-TKI 的临床影响。
Jpn J Clin Oncol. 2012 Jun;42(6):528-33. doi: 10.1093/jjco/hys042. Epub 2012 Mar 28.

引用本文的文献

1
Cell Culture Model Evolution and Its Impact on Improving Therapy Efficiency in Lung Cancer.细胞培养模型的演变及其对提高肺癌治疗效率的影响
Cancers (Basel). 2023 Oct 15;15(20):4996. doi: 10.3390/cancers15204996.
2
EGFR transcriptionally upregulates UTX via STAT3 in non-small cell lung cancer.EGFR 通过 STAT3 转录上调非小细胞肺癌中的 UTX。
J Cancer Res Clin Oncol. 2022 Feb;148(2):309-319. doi: 10.1007/s00432-021-03800-6. Epub 2021 Oct 18.
3
Chronicles of EGFR Tyrosine Kinase Inhibitors: Targeting EGFR C797S Containing Triple Mutations.

本文引用的文献

1
Biomarkers along the continuum of care in lung cancer.肺癌全程照护中的生物标志物。
Scand J Clin Lab Invest Suppl. 2016;245:S40-5. doi: 10.1080/00365513.2016.1208446.
2
Environmental tobacco smoke exposure and risk of breast cancer in nonsmoking women. An updated review and meta-analysis.非吸烟女性暴露于环境烟草烟雾与患乳腺癌风险。一项更新的综述与荟萃分析。
Inhal Toxicol. 2016 Aug;28(10):431-54. doi: 10.1080/08958378.2016.1210701.
3
Optimal tumor shrinkage predicts long-term outcome in advanced nonsmall cell lung cancer (NSCLC) treated with target therapy: Result from 3 clinical trials of advanced NSCLC by 1 institution.
表皮生长因子受体酪氨酸激酶抑制剂纪事:靶向含三重突变的表皮生长因子受体C797S
Biomol Ther (Seoul). 2022 Jan 1;30(1):19-27. doi: 10.4062/biomolther.2021.047.
最佳肿瘤缩小情况可预测接受靶向治疗的晚期非小细胞肺癌(NSCLC)的长期预后:来自一家机构的3项晚期NSCLC临床试验结果。
Medicine (Baltimore). 2016 Aug;95(31):e4176. doi: 10.1097/MD.0000000000004176.
4
Evaluation of erlotinib treatment response in non-small cell lung cancer using metabolic and anatomic criteria.使用代谢和解剖学标准评估厄洛替尼在非小细胞肺癌中的治疗反应
Q J Nucl Med Mol Imaging. 2016 Sep;60(3):264-73. Epub 2014 May 9.
5
The emergence of T790M mutation in EGFR-mutant lung adenocarcinoma patients having a history of acquired resistance to EGFR-TKI: focus on rebiopsy timing and long-term existence of T790M.在对EGFR-TKI获得性耐药的EGFR突变型肺腺癌患者中T790M突变的出现:关注再次活检时机及T790M的长期存在情况
Oncotarget. 2016 Jul 26;7(30):48059-48069. doi: 10.18632/oncotarget.10351.
6
Spotlight on afatinib and its potential in the treatment of squamous cell lung cancer: the evidence so far.聚焦阿法替尼及其在鳞状细胞肺癌治疗中的潜力:目前的证据
Ther Clin Risk Manag. 2016 May 24;12:807-16. doi: 10.2147/TCRM.S92996. eCollection 2016.
7
Pulmonary imaging after stereotactic radiotherapy-does RECIST still apply?立体定向放射治疗后的肺部影像——RECIST标准是否仍然适用?
Br J Radiol. 2016 Sep;89(1065):20160113. doi: 10.1259/bjr.20160113. Epub 2016 Jun 20.
8
Determination of and mutational status in Greek non-small-cell lung cancer patients.希腊非小细胞肺癌患者中 和 突变状态的测定。 (你提供的原文中“Determination of and ”这里有缺失内容)
Oncol Lett. 2015 Oct;10(4):2176-2184. doi: 10.3892/ol.2015.3600. Epub 2015 Aug 12.
9
EGFR-TKIs in adjuvant treatment of lung cancer: to give or not to give?表皮生长因子受体酪氨酸激酶抑制剂在肺癌辅助治疗中的应用:用还是不用?
Onco Targets Ther. 2015 Oct 13;8:2915-21. doi: 10.2147/OTT.S91627. eCollection 2015.
10
Afatinib in Treatment-Naive Patients With EGFR-Mutated Lung Adenocarcinoma With Brain Metastasis: A Case Series.阿法替尼治疗初治的伴有脑转移的EGFR突变型肺腺癌患者:病例系列
Medicine (Baltimore). 2015 Oct;94(41):e1739. doi: 10.1097/MD.0000000000001739.