• 文献检索
  • 文档翻译
  • 深度研究
  • 学术资讯
  • Suppr Zotero 插件Zotero 插件
  • 邀请有礼
  • 套餐&价格
  • 历史记录
应用&插件
Suppr Zotero 插件Zotero 插件浏览器插件Mac 客户端Windows 客户端微信小程序
定价
高级版会员购买积分包购买API积分包
服务
文献检索文档翻译深度研究API 文档MCP 服务
关于我们
关于 Suppr公司介绍联系我们用户协议隐私条款
关注我们

Suppr 超能文献

核心技术专利:CN118964589B侵权必究
粤ICP备2023148730 号-1Suppr @ 2026

文献检索

告别复杂PubMed语法,用中文像聊天一样搜索,搜遍4000万医学文献。AI智能推荐,让科研检索更轻松。

立即免费搜索

文件翻译

保留排版,准确专业,支持PDF/Word/PPT等文件格式,支持 12+语言互译。

免费翻译文档

深度研究

AI帮你快速写综述,25分钟生成高质量综述,智能提取关键信息,辅助科研写作。

立即免费体验

升结肠癌转移至阑尾:一例报告。

Metastasis to the appendix from adenocarcinoma of the ascending colon: A case report.

作者信息

Li Yingjie, Li Mingshan, Li Xiaoxia, Sang Haiquan

机构信息

Department of General Surgery, The Fourth Affiliated Hospital of China Medical University, Shenyang, Liaoning, People's Republic of China.

出版信息

Medicine (Baltimore). 2017 Mar;96(11):e6357. doi: 10.1097/MD.0000000000006357.

DOI:10.1097/MD.0000000000006357
PMID:28296772
原文链接:https://pmc.ncbi.nlm.nih.gov/articles/PMC5369927/
Abstract

RATIONALE

Metastasis of cancer cells involves shedding from the primary tumor through various means to distant tissues and organs with continued growth and formation of new metastatic tumors of the same cancer type as the original tumor. The common sites for colon cancer metastases include the pelvis, retroperitoneal lymph nodes, liver, and lungs; Colon cancer metastases to the appendix are rare, as reported in this case.

PATIENT CONCERNS AND DIAGNOSES

A 45-year-old man was admitted to our department with a 24-hour history of abdominal distension and incomplete obstruction. Colonoscopy showed an elevated lesion in the ascending colon and the pathologic diagnosis was adenocarcinoma.

INTERVENTIONS AND OUTCOMES

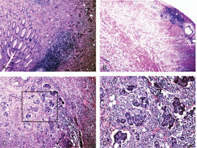
This patient underwent a radical right hemi-colectomy. The post-operative pathologic examination revealed metastatic adenocarcinoma in all layers of the appendix, especially the muscularis mucosae. The diagnosis was adenocarcinoma of the ascending colon (pT4bN2bM0 stage IIIC) with metastatic adenocarcinoma of the appendix.

LESSONS

An absent right colic artery with lymph node fusion might increase the risk of appendiceal cancer metastasis.

摘要

理论依据

癌细胞转移包括通过各种方式从原发肿瘤脱落至远处组织和器官,并持续生长,形成与原发肿瘤相同类型的新转移瘤。结肠癌转移的常见部位包括骨盆、腹膜后淋巴结、肝脏和肺部;如本病例报道,结肠癌转移至阑尾较为罕见。

患者情况及诊断

一名45岁男性因腹胀和不完全性肠梗阻24小时入院。结肠镜检查显示升结肠有一隆起性病变,病理诊断为腺癌。

干预措施及结果

该患者接受了根治性右半结肠切除术。术后病理检查显示阑尾各层均有转移性腺癌,尤其是黏膜肌层。诊断为升结肠癌(pT4bN2bM0,IIIC期)伴阑尾转移性腺癌。

经验教训

右结肠动脉缺如伴淋巴结融合可能增加阑尾癌转移的风险。

https://cdn.ncbi.nlm.nih.gov/pmc/blobs/3bf7/5369927/c0650d7ce04a/medi-96-e6357-g005.jpg
https://cdn.ncbi.nlm.nih.gov/pmc/blobs/3bf7/5369927/53f6ae6bf622/medi-96-e6357-g001.jpg
https://cdn.ncbi.nlm.nih.gov/pmc/blobs/3bf7/5369927/f40530efac1b/medi-96-e6357-g002.jpg
https://cdn.ncbi.nlm.nih.gov/pmc/blobs/3bf7/5369927/679d84a580b9/medi-96-e6357-g003.jpg
https://cdn.ncbi.nlm.nih.gov/pmc/blobs/3bf7/5369927/ed3b4f9e6c6b/medi-96-e6357-g004.jpg
https://cdn.ncbi.nlm.nih.gov/pmc/blobs/3bf7/5369927/c0650d7ce04a/medi-96-e6357-g005.jpg
https://cdn.ncbi.nlm.nih.gov/pmc/blobs/3bf7/5369927/53f6ae6bf622/medi-96-e6357-g001.jpg
https://cdn.ncbi.nlm.nih.gov/pmc/blobs/3bf7/5369927/f40530efac1b/medi-96-e6357-g002.jpg
https://cdn.ncbi.nlm.nih.gov/pmc/blobs/3bf7/5369927/679d84a580b9/medi-96-e6357-g003.jpg
https://cdn.ncbi.nlm.nih.gov/pmc/blobs/3bf7/5369927/ed3b4f9e6c6b/medi-96-e6357-g004.jpg
https://cdn.ncbi.nlm.nih.gov/pmc/blobs/3bf7/5369927/c0650d7ce04a/medi-96-e6357-g005.jpg

相似文献

1
Metastasis to the appendix from adenocarcinoma of the ascending colon: A case report.升结肠癌转移至阑尾:一例报告。
Medicine (Baltimore). 2017 Mar;96(11):e6357. doi: 10.1097/MD.0000000000006357.
2
Intramural metastasis to the appendix from ascending colon cancer: a case report.升结肠癌向阑尾的壁内转移:一例报告
Surg Case Rep. 2020 Apr 10;6(1):69. doi: 10.1186/s40792-020-00829-6.
3
Adenocarcinoma of the ascending colon in a 31-year-old pregnant woman: A case report.一名31岁孕妇升结肠癌病例报告
Medicine (Baltimore). 2018 Dec;97(51):e13707. doi: 10.1097/MD.0000000000013707.
4
Concurrent ascending colon adenocarcinoma and ileocecal tuberculosis: A case report.同时性升结肠癌合并回盲部结核:1 例报告。
Medicine (Baltimore). 2022 May 27;101(21):e29430. doi: 10.1097/MD.0000000000029430.
5
[A Case of Cardiodiaphragmatic Corner Lymph Node Recurrence after Surgery for Ascending Colon Cancer].[一例升结肠癌术后心膈角淋巴结复发病例]
Gan To Kagaku Ryoho. 2023 Dec;50(13):1921-1923.
6
Ascending colon cancer metastasized to the right testicle: a case report.升结肠癌转移至右侧睾丸:一例报告。
J Med Case Rep. 2024 Jun 27;18(1):305. doi: 10.1186/s13256-024-04587-z.
7
Primary ascending colon cancer accompanying skip metastases in left shoulder skin and left neck lymph node: A case report.原发性升结肠癌伴左肩部皮肤及左颈部淋巴结跳跃转移:一例报告。
World J Clin Cases. 2022 Aug 16;10(23):8262-8270. doi: 10.12998/wjcc.v10.i23.8262.
8
Ascending colon adenocarcinoma with tonsillar metastasis: a case report and review of the literature.升结肠癌伴扁桃体转移:一例病例报告及文献复习
World J Gastroenterol. 2008 Dec 14;14(46):7138-40. doi: 10.3748/wjg.14.7138.
9
Cystadenocarcinoma of the appendix: an incidental perioperatory finding in a patient with adenocarcinoma of the ascending and sigmoid colon: case report and review of literature.阑尾囊腺癌:升结肠和乙状结肠癌患者术中意外发现:病例报告及文献复习
Pathologica. 2009 Dec;101(6):255-60.
10
Long-term Survival after Treatment of Synchronous Isolated Right External Iliac Lymph Node Metastasis from Ascending Colon Cancer: A Case Report.升结肠癌孤立性右髂外淋巴结转移同期治疗后长期生存 1 例报告
Kobe J Med Sci. 2023 Aug 21;69(2):E52-E56.

引用本文的文献

1
Intramural metastasis to the appendix from ascending colon cancer: a case report.升结肠癌向阑尾的壁内转移:一例报告
Surg Case Rep. 2020 Apr 10;6(1):69. doi: 10.1186/s40792-020-00829-6.

本文引用的文献

1
Metastatic gastric signet-ring cell carcinoma: A rare cause of acute appendicitis.转移性胃印戒细胞癌:急性阑尾炎的罕见病因。
Ulus Cerrahi Derg. 2015 Jun 19;32(2):140-4. doi: 10.5152/UCD.2015.2863. eCollection 2016.
2
Management of Appendix Cancer.阑尾癌的管理
Clin Colon Rectal Surg. 2015 Dec;28(4):247-55. doi: 10.1055/s-0035-1564433.
3
Implantation of adenocarcinoma on hemorrhoidectomy wound.
Int J Colorectal Dis. 2007 Nov;22(11):1407-1408. doi: 10.1007/s00384-006-0179-5. Epub 2006 Jun 28.
4
Cancer invasion and metastasis.癌症侵袭与转移。
Oncology. 2005;69 Suppl 1:14-6. doi: 10.1159/000086626. Epub 2005 Sep 19.
5
Primary malignant neoplasms of the appendix: a population-based study from the surveillance, epidemiology and end-results program, 1973-1998.阑尾原发性恶性肿瘤:一项基于监测、流行病学和最终结果计划(1973 - 1998年)的人群研究
Cancer. 2002 Jun 15;94(12):3307-12. doi: 10.1002/cncr.10589.
6
Guidelines 2000 for colon and rectal cancer surgery.2000年结直肠癌手术指南。
J Natl Cancer Inst. 2001 Apr 18;93(8):583-96. doi: 10.1093/jnci/93.8.583.