Suppr超能文献

通过稳态磁共振成像显示的托洛萨-亨特综合征

Tolosa-Hunt Syndrome Demonstrated by Constructive Interference Steady State Magnetic Resonance Imaging.

作者信息

Wani Nisar A, Jehangir Majid, Lone Parveen A

机构信息

Department of Radiodiagnosis and Imaging, Government Medical College, Srinagar, Jammu and Kashmir, India.

Department of OMF Surgery, GDC Jammu, Jammu and Kashmir, India.

出版信息

J Ophthalmic Vis Res. 2017 Jan-Mar;12(1):106-109. doi: 10.4103/2008-322X.200171.

Abstract

PURPOSE

To highlight the role of constructive interference steady state (CISS) magnetic resonance imaging (MRI) in the diagnosis of Tolosa-Hunt Syndrome (THS).

CASE REPORT

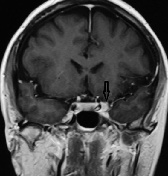
We describe a case of THS in a 55-year-old woman presenting with left painful opthalmoplegia that was diagnosed by CISS MRI. Patient responded to steroid treatment and the lesion resolved.

CONCLUSION

Imaging with MRI can help in making the diagnosis of THS by demonstrating an enhancing soft tissue lesion in the cavernous sinus and orbital apex resolving with steroids. CISS MRI is a sensitive sequence for diagnosis and follow-up imaging in THS.

摘要

目的

强调稳态构成性干扰磁共振成像(CISS)在托洛萨-亨特综合征(THS)诊断中的作用。

病例报告

我们描述了一例55岁女性的THS病例,该患者表现为左侧疼痛性眼肌麻痹,通过CISS磁共振成像得以诊断。患者对类固醇治疗有反应,病变消退。

结论

磁共振成像有助于诊断THS,可显示海绵窦和眶尖有强化的软组织病变,且病变在类固醇治疗后消退。CISS磁共振成像是THS诊断及随访成像的敏感序列。

https://cdn.ncbi.nlm.nih.gov/pmc/blobs/2b0f/5340048/9aa4badfa9f5/JOVR-12-106-g001.jpg

文献AI研究员

20分钟写一篇综述,助力文献阅读效率提升50倍。

立即体验

用中文搜PubMed

大模型驱动的PubMed中文搜索引擎

马上搜索

文档翻译

学术文献翻译模型,支持多种主流文档格式。

立即体验