Suppr超能文献

直肠胃异位症:文献综述及其诊断陷阱

Gastric heterotopia in rectum: A literature review and its diagnostic pitfall.

作者信息

Dinarvand Peyman, Vareedayah Ashley A, Phillips Nancy J, Hachem Christine, Lai Jinping

机构信息

Department of Pathology, School of Medicine, Saint Louis University, St. Louis, MO, USA.

Division of Gastroenterology, Department of Internal Medicine, School of Medicine, Saint Louis University, St. Louis, MO, USA.

出版信息

SAGE Open Med Case Rep. 2017 Feb 17;5:2050313X17693968. doi: 10.1177/2050313X17693968. eCollection 2017.

Abstract

OBJECTIVES

The term heterotopia, in pathology, refers to the presence of normal tissues at foreign sites. Gastric heterotopia has been reported anywhere in the gastrointestinal tract. However, the presence of gastric heterotopia in the rectum is very rare.

METHODS

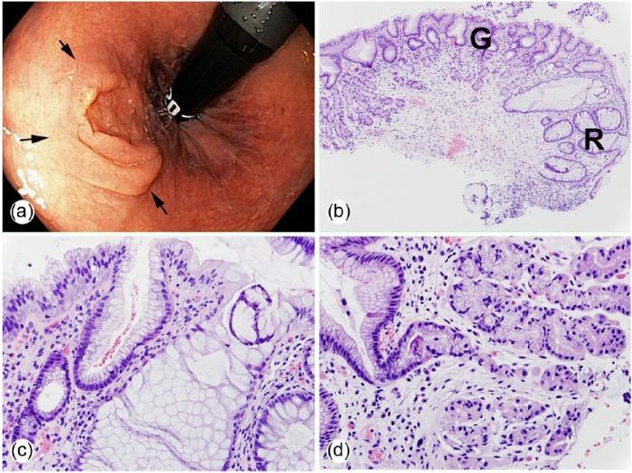
We, here, report a rare case of a localized 2-cm area of cratered mucosa with heaped-up borders in the rectum of a 51-year-old, asymptomatic woman who underwent screening colonoscopy.

RESULTS

Histologic examination of the biopsy from the lesional tissue in rectum demonstrated fragments of rectal mucosa co-mingling with oxyntic- and antral-type gastric mucosa. No intestinal metaplasia or is identified.

CONCLUSION

Patients with gastric heterotopia in rectum usually present with bleeding and/or abdominal pain. Definite treatment of choice is surgical or endoscopic resection, although the lesions also respond to histamine-2 receptor blockers. In this article, most recent literature about gastric heterotopia in rectum is reviewed, following a case presentation about it.

摘要

目的

在病理学中,异位一词指正常组织出现在异常部位。胃肠道任何部位均有胃异位的报道。然而,直肠出现胃异位非常罕见。

方法

在此,我们报告一例罕见病例,一名51岁无症状女性在接受结肠镜筛查时,直肠出现一处2厘米的局限性火山口状黏膜区域,边界隆起。

结果

对直肠病变组织活检的组织学检查显示,直肠黏膜碎片与胃体和胃窦型胃黏膜混合存在。未发现肠化生或其他病变。

结论

直肠胃异位患者通常表现为出血和/或腹痛。尽管病变对组胺-2受体阻滞剂也有反应,但明确的治疗选择是手术或内镜切除。在本文中,在介绍一例直肠胃异位病例后,对有关直肠胃异位的最新文献进行了综述。

https://cdn.ncbi.nlm.nih.gov/pmc/blobs/bec5/5347492/8389c477cc9e/10.1177_2050313X17693968-fig1.jpg

文献AI研究员

20分钟写一篇综述,助力文献阅读效率提升50倍。

立即体验

用中文搜PubMed

大模型驱动的PubMed中文搜索引擎

马上搜索

文档翻译

学术文献翻译模型,支持多种主流文档格式。

立即体验