• 文献检索
  • 文档翻译
  • 深度研究
  • 学术资讯
  • Suppr Zotero 插件Zotero 插件
  • 邀请有礼
  • 套餐&价格
  • 历史记录
应用&插件
Suppr Zotero 插件Zotero 插件浏览器插件Mac 客户端Windows 客户端微信小程序
定价
高级版会员购买积分包购买API积分包
服务
文献检索文档翻译深度研究API 文档MCP 服务
关于我们
关于 Suppr公司介绍联系我们用户协议隐私条款
关注我们

Suppr 超能文献

核心技术专利:CN118964589B侵权必究
粤ICP备2023148730 号-1Suppr @ 2026

文献检索

告别复杂PubMed语法,用中文像聊天一样搜索,搜遍4000万医学文献。AI智能推荐,让科研检索更轻松。

立即免费搜索

文件翻译

保留排版,准确专业,支持PDF/Word/PPT等文件格式,支持 12+语言互译。

免费翻译文档

深度研究

AI帮你快速写综述,25分钟生成高质量综述,智能提取关键信息,辅助科研写作。

立即免费体验

家鸭(卡其坎贝尔鸭)的次生腭发育。一项电子显微镜、组织化学、放射自显影和生物化学研究。

Secondary palate development in the domestic duck (Khaki Campbell). An electron microscopic, histochemical, autoradiographic and biochemical study.

作者信息

Shah R M, Cheng K M, MacKay R A, Wong A

机构信息

Department of Oral Biology, Faculty of Dentistry, University of British Columbia, Vancouver, Canada.

出版信息

J Anat. 1987 Oct;154:245-58.

PMID:2833483
原文链接:https://pmc.ncbi.nlm.nih.gov/articles/PMC1261850/
Abstract

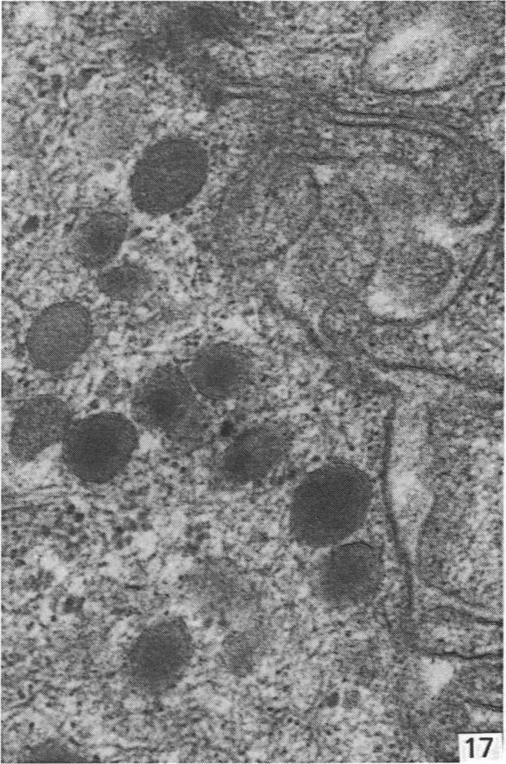
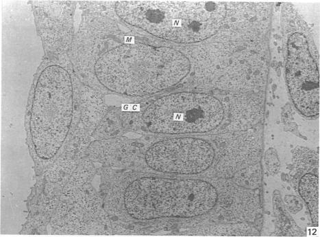
Prenatal development of the secondary palate in duck was studied using light and electron microscopic, histochemical, autoradiographic and biochemical techniques. The secondary palate of duck develops between Days 7-12 of incubation (HH 25-37). During this period the palatal shelves grow horizontally toward one another but, unlike those in mammals and the alligator, they never fuse, and a physiological cleft persists between them. In contrast to both chick, where the MEE differentiates to orthokeratinisation, and quail, where the MEE becomes parakeratinised, the MEE of duck differentiates to a non-keratinised stratified type. A continuation of DNA synthesis in the MEE, unchanged levels of cyclic AMP in the palatal tissues and an absence of programmed cell death in the MEE during duck palatogenesis distinguish it from the mammalian palate morphogenesis. Also, although the morphogenesis of palate in duck, chick and quail is similar, the cytodifferentiation of their MEE is different.

摘要

利用光学显微镜、电子显微镜、组织化学、放射自显影和生化技术研究了鸭次生腭的产前发育。鸭的次生腭在孵化第7至12天(HH 25 - 37)发育。在此期间,腭突向彼此水平生长,但与哺乳动物和短吻鳄不同的是,它们从不融合,两者之间始终存在生理性裂隙。与鸡的MEE分化为正角化、鹌鹑的MEE分化为不全角化不同,鸭的MEE分化为非角化复层类型。鸭腭发育过程中MEE中DNA合成的持续、腭组织中环状AMP水平的不变以及MEE中程序性细胞死亡的缺失使其与哺乳动物腭形态发生区分开来。此外,尽管鸭、鸡和鹌鹑腭的形态发生相似,但其MEE的细胞分化不同。

https://cdn.ncbi.nlm.nih.gov/pmc/blobs/4a4b/1261850/98c07548e954/janat00178-0248-b.jpg
https://cdn.ncbi.nlm.nih.gov/pmc/blobs/4a4b/1261850/9369ca41783c/janat00178-0243-a.jpg
https://cdn.ncbi.nlm.nih.gov/pmc/blobs/4a4b/1261850/651754b68a2b/janat00178-0243-b.jpg
https://cdn.ncbi.nlm.nih.gov/pmc/blobs/4a4b/1261850/55764bb3cf57/janat00178-0243-c.jpg
https://cdn.ncbi.nlm.nih.gov/pmc/blobs/4a4b/1261850/19a59cb8bda6/janat00178-0243-d.jpg
https://cdn.ncbi.nlm.nih.gov/pmc/blobs/4a4b/1261850/00e72e3d407f/janat00178-0243-e.jpg
https://cdn.ncbi.nlm.nih.gov/pmc/blobs/4a4b/1261850/3d54cac9433d/janat00178-0243-f.jpg
https://cdn.ncbi.nlm.nih.gov/pmc/blobs/4a4b/1261850/469d46b2fa49/janat00178-0243-g.jpg
https://cdn.ncbi.nlm.nih.gov/pmc/blobs/4a4b/1261850/ca9aefce5158/janat00178-0243-h.jpg
https://cdn.ncbi.nlm.nih.gov/pmc/blobs/4a4b/1261850/06489facadd9/janat00178-0245-a.jpg
https://cdn.ncbi.nlm.nih.gov/pmc/blobs/4a4b/1261850/3f4e2d8b6b0c/janat00178-0245-b.jpg
https://cdn.ncbi.nlm.nih.gov/pmc/blobs/4a4b/1261850/740381ce7d5c/janat00178-0245-c.jpg
https://cdn.ncbi.nlm.nih.gov/pmc/blobs/4a4b/1261850/e050bd630d2b/janat00178-0246-a.jpg
https://cdn.ncbi.nlm.nih.gov/pmc/blobs/4a4b/1261850/e99ffbbc56e1/janat00178-0246-b.jpg
https://cdn.ncbi.nlm.nih.gov/pmc/blobs/4a4b/1261850/ef464165c9e2/janat00178-0246-c.jpg
https://cdn.ncbi.nlm.nih.gov/pmc/blobs/4a4b/1261850/764e2ff5c122/janat00178-0247-a.jpg
https://cdn.ncbi.nlm.nih.gov/pmc/blobs/4a4b/1261850/c6bfec52c6e1/janat00178-0247-b.jpg
https://cdn.ncbi.nlm.nih.gov/pmc/blobs/4a4b/1261850/d99733553bfe/janat00178-0247-c.jpg
https://cdn.ncbi.nlm.nih.gov/pmc/blobs/4a4b/1261850/9b336f0b2265/janat00178-0248-a.jpg
https://cdn.ncbi.nlm.nih.gov/pmc/blobs/4a4b/1261850/98c07548e954/janat00178-0248-b.jpg
https://cdn.ncbi.nlm.nih.gov/pmc/blobs/4a4b/1261850/9369ca41783c/janat00178-0243-a.jpg
https://cdn.ncbi.nlm.nih.gov/pmc/blobs/4a4b/1261850/651754b68a2b/janat00178-0243-b.jpg
https://cdn.ncbi.nlm.nih.gov/pmc/blobs/4a4b/1261850/55764bb3cf57/janat00178-0243-c.jpg
https://cdn.ncbi.nlm.nih.gov/pmc/blobs/4a4b/1261850/19a59cb8bda6/janat00178-0243-d.jpg
https://cdn.ncbi.nlm.nih.gov/pmc/blobs/4a4b/1261850/00e72e3d407f/janat00178-0243-e.jpg
https://cdn.ncbi.nlm.nih.gov/pmc/blobs/4a4b/1261850/3d54cac9433d/janat00178-0243-f.jpg
https://cdn.ncbi.nlm.nih.gov/pmc/blobs/4a4b/1261850/469d46b2fa49/janat00178-0243-g.jpg
https://cdn.ncbi.nlm.nih.gov/pmc/blobs/4a4b/1261850/ca9aefce5158/janat00178-0243-h.jpg
https://cdn.ncbi.nlm.nih.gov/pmc/blobs/4a4b/1261850/06489facadd9/janat00178-0245-a.jpg
https://cdn.ncbi.nlm.nih.gov/pmc/blobs/4a4b/1261850/3f4e2d8b6b0c/janat00178-0245-b.jpg
https://cdn.ncbi.nlm.nih.gov/pmc/blobs/4a4b/1261850/740381ce7d5c/janat00178-0245-c.jpg
https://cdn.ncbi.nlm.nih.gov/pmc/blobs/4a4b/1261850/e050bd630d2b/janat00178-0246-a.jpg
https://cdn.ncbi.nlm.nih.gov/pmc/blobs/4a4b/1261850/e99ffbbc56e1/janat00178-0246-b.jpg
https://cdn.ncbi.nlm.nih.gov/pmc/blobs/4a4b/1261850/ef464165c9e2/janat00178-0246-c.jpg
https://cdn.ncbi.nlm.nih.gov/pmc/blobs/4a4b/1261850/764e2ff5c122/janat00178-0247-a.jpg
https://cdn.ncbi.nlm.nih.gov/pmc/blobs/4a4b/1261850/c6bfec52c6e1/janat00178-0247-b.jpg
https://cdn.ncbi.nlm.nih.gov/pmc/blobs/4a4b/1261850/d99733553bfe/janat00178-0247-c.jpg
https://cdn.ncbi.nlm.nih.gov/pmc/blobs/4a4b/1261850/9b336f0b2265/janat00178-0248-a.jpg
https://cdn.ncbi.nlm.nih.gov/pmc/blobs/4a4b/1261850/98c07548e954/janat00178-0248-b.jpg

相似文献

1
Secondary palate development in the domestic duck (Khaki Campbell). An electron microscopic, histochemical, autoradiographic and biochemical study.家鸭(卡其坎贝尔鸭)的次生腭发育。一项电子显微镜、组织化学、放射自显影和生物化学研究。
J Anat. 1987 Oct;154:245-58.
2
An ultrastructural and histochemical study of the development of secondary palate in Japanese quail, Coturnix coturnix japonica.
J Craniofac Genet Dev Biol. 1985;5(1):41-57.
3
In vitro differentiation of the Japanese quail secondary palate.日本鹌鹑次生腭的体外分化
Cleft Palate J. 1988 Jan;25(1):43-7.
4
Development of the secondary palate in chick embryo: a light and electron microscopic and histochemical study.鸡胚次生腭的发育:光镜、电镜及组织化学研究
Invest Cell Pathol. 1980 Oct-Dec;3(4):319-28.
5
Embryogenesis of the secondary palate in pigeons.鸽子次生腭的胚胎发育。
Poult Sci. 1988 Jun;67(6):865-70. doi: 10.3382/ps.0670865.
6
In vitro development of the hamster and chick secondary palate.仓鼠和鸡次生腭的体外发育
J Craniofac Genet Dev Biol. 1985;5(3):299-314.
7
Differentiation of the avian secondary palate.
J Exp Zool. 1983 Jan;225(1):43-52. doi: 10.1002/jez.1402250107.
8
Effects of 5-fluorouracil on collagen synthesis during quail secondary palate development.5-氟尿嘧啶对鹌鹑次生腭发育过程中胶原蛋白合成的影响。
J Craniofac Genet Dev Biol. 1993 Jan-Mar;13(1):6-17.
9
Cell autonomous requirement for Tgfbr2 in the disappearance of medial edge epithelium during palatal fusion.在腭融合过程中内侧边缘上皮消失时,Tgfbr2的细胞自主需求。
Dev Biol. 2006 Sep 1;297(1):238-48. doi: 10.1016/j.ydbio.2006.05.014. Epub 2006 May 19.
10
Genesis of hadacidin-induced cleft palate in hamster: morphogenesis, electron microscopy, and determination of DNA synthesis, cAMP, and enzyme acid phosphatase.
Am J Anat. 1991 Sep;192(1):55-68. doi: 10.1002/aja.1001920107.

引用本文的文献

1
Development of the squamate naso-palatal complex: detailed 3D analysis of the vomeronasal organ and nasal cavity in the brown anole (Squamata: Iguania).有鳞目鼻腭复合体的发育:对绿安乐蜥(有鳞目:鬣蜥亚目)犁鼻器和鼻腔的详细三维分析
Front Zool. 2020 Sep 22;17:28. doi: 10.1186/s12983-020-00369-7. eCollection 2020.
2
Molecular profiles of mitogen activated protein kinase signaling pathways in orofacial development.口腔面部发育中丝裂原活化蛋白激酶信号通路的分子特征
Birth Defects Res A Clin Mol Teratol. 2007 Jan;79(1):35-44. doi: 10.1002/bdra.20320.

本文引用的文献

1
Protein measurement with the Folin phenol reagent.使用福林酚试剂进行蛋白质测定。
J Biol Chem. 1951 Nov;193(1):265-75.
2
Development of the secondary palate in chick embryo: a light and electron microscopic and histochemical study.鸡胚次生腭的发育:光镜、电镜及组织化学研究
Invest Cell Pathol. 1980 Oct-Dec;3(4):319-28.
3
In-vivo and in-vitro studies of the development of the avian secondary palate.鸟类次生腭发育的体内和体外研究。
Arch Oral Biol. 1981;26(3):181-7. doi: 10.1016/0003-9969(81)90128-x.
4
Microanalysis of epithelial and mesenchymal acid hydrolase activities in the developing palate.
J Craniofac Genet Dev Biol. 1983;3(3):281-8.
5
Differentiation of cultured palatal shelves from alligator, chick, and mouse embryos.来自短吻鳄、鸡和小鼠胚胎的培养腭板的分化。
Anat Rec. 1984 Jun;209(2):231-49. doi: 10.1002/ar.1092090210.
6
Morphological, cellular, and biochemical aspects of differentiation of normal and teratogen-treated palate in hamster and chick embryos.仓鼠和鸡胚正常及致畸剂处理后腭部分化的形态学、细胞及生化方面
Curr Top Dev Biol. 1984;19:103-35. doi: 10.1016/s0070-2153(08)60397-x.
7
Is there a general paradigm of cyclic AMP action in eukaryotes?
Mol Cell Biochem. 1984;58(1-2):187-91. doi: 10.1007/BF00240619.
8
Differentiation of the avian secondary palate.
J Exp Zool. 1983 Jan;225(1):43-52. doi: 10.1002/jez.1402250107.
9
Immunohistochemical localization of cyclic AMP in the developing rodent secondary palate.
J Embryol Exp Morphol. 1980 Dec;60:271-81.
10
Developmental pattern of cAMP, adenyl cyclase, and cAMP phosphodiesterase in the palate, lung, and liver of the fetal mouse: alterations resulting from exposure to methylmercury at levels inhibiting palate closure.胎鼠腭、肺和肝脏中cAMP、腺苷酸环化酶和cAMP磷酸二酯酶的发育模式:暴露于抑制腭闭合水平的甲基汞所导致的改变。
Teratology. 1980 Oct;22(2):155-66. doi: 10.1002/tera.1420220204.