• 文献检索
  • 文档翻译
  • 深度研究
  • 学术资讯
  • Suppr Zotero 插件Zotero 插件
  • 邀请有礼
  • 套餐&价格
  • 历史记录
应用&插件
Suppr Zotero 插件Zotero 插件浏览器插件Mac 客户端Windows 客户端微信小程序
定价
高级版会员购买积分包购买API积分包
服务
文献检索文档翻译深度研究API 文档MCP 服务
关于我们
关于 Suppr公司介绍联系我们用户协议隐私条款
关注我们

Suppr 超能文献

核心技术专利:CN118964589B侵权必究
粤ICP备2023148730 号-1Suppr @ 2026

文献检索

告别复杂PubMed语法,用中文像聊天一样搜索,搜遍4000万医学文献。AI智能推荐,让科研检索更轻松。

立即免费搜索

文件翻译

保留排版,准确专业,支持PDF/Word/PPT等文件格式,支持 12+语言互译。

免费翻译文档

深度研究

AI帮你快速写综述,25分钟生成高质量综述,智能提取关键信息,辅助科研写作。

立即免费体验

关于BRPF2对HBO1组蛋白乙酰转移酶活性调控的结构和机制见解

Structural and mechanistic insights into regulation of HBO1 histone acetyltransferase activity by BRPF2.

作者信息

Tao Ye, Zhong Chen, Zhu Junjun, Xu Shutong, Ding Jianping

机构信息

National Center for Protein Science Shanghai, State Key Laboratory of Molecular Biology, CAS Center for Excellence in Molecular Cell Science, Shanghai Institute of Biochemistry and Cell Biology, and University of Chinese Academy of Sciences, Chinese Academy of Sciences, 320 Yue-Yang Road, Shanghai 200031, China.

School of Life Science and Technology, ShanghaiTech University, 100 Haike Road, Shanghai 201210, China.

出版信息

Nucleic Acids Res. 2017 Jun 2;45(10):5707-5719. doi: 10.1093/nar/gkx142.

DOI:10.1093/nar/gkx142
PMID:28334966
原文链接:https://pmc.ncbi.nlm.nih.gov/articles/PMC5449618/
Abstract

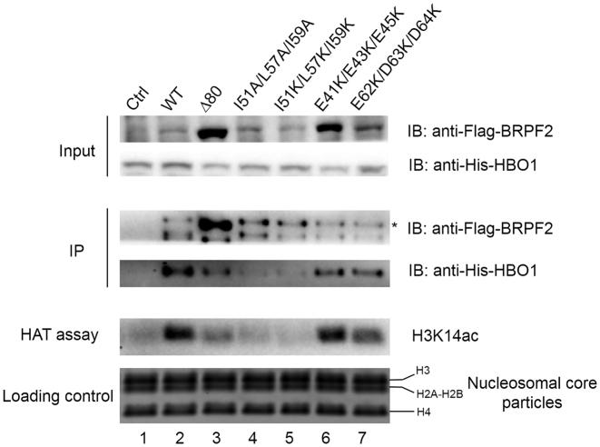
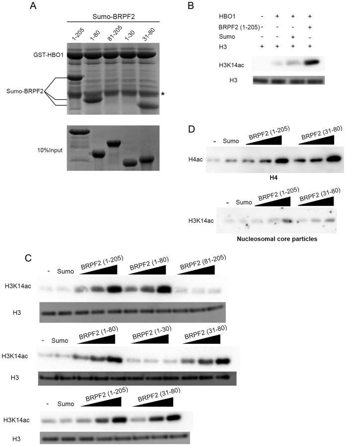
HBO1, a member of the MYST family of histone acetyltransferases (HATs), is required for global acetylation of histone H3K14 and embryonic development. It functions as a catalytic subunit in multisubunit complexes comprising a BRPF1/2/3 or JADE1/2/3 scaffold protein, and two accessory proteins. BRPF2 has been shown to be important for the HAT activity of HBO1 toward H3K14. Here we demonstrated that BRPF2 can regulate the HAT activity of HBO1 toward free H3 and H4, and nucleosomal H3. Particularly, a short N-terminal region of BRPF2 is sufficient for binding to HBO1 and can potentiate its activity toward H3K14. The crystal structure of the HBO1 MYST domain in complex with this segment of BRPF2 together with the biochemical and cell biological data revealed the key residues responsible for the HBO1-BRPF2 interaction. Our structural and functional data together indicate that the N-terminal region of BRPF2 plays an important role in the binding of HBO1 and a minor role in the binding of nucleosomes, which provide new mechanistic insights into the regulation of the HAT activity of HBO1 by BRPF2.

摘要

HBO1是组蛋白乙酰转移酶(HATs)MYST家族的成员之一,是组蛋白H3K14全局乙酰化和胚胎发育所必需的。它在包含BRPF1/2/3或JADE1/2/3支架蛋白以及两个辅助蛋白的多亚基复合物中作为催化亚基发挥作用。BRPF2已被证明对HBO1针对H3K14的HAT活性很重要。在此我们证明,BRPF2可以调节HBO1针对游离H3和H4以及核小体H3的HAT活性。特别地,BRPF2的一个短N端区域足以与HBO1结合,并能增强其针对H3K14的活性。HBO1 MYST结构域与BRPF2的这一片段形成复合物的晶体结构,连同生化和细胞生物学数据,揭示了负责HBO1 - BRPF2相互作用的关键残基。我们的结构和功能数据共同表明,BRPF2的N端区域在与HBO1的结合中起重要作用,而在与核小体的结合中起次要作用,这为BRPF2对HBO1的HAT活性调控提供了新的机制见解。

https://cdn.ncbi.nlm.nih.gov/pmc/blobs/c99c/5449618/387cd12366d1/gkx142fig5.jpg
https://cdn.ncbi.nlm.nih.gov/pmc/blobs/c99c/5449618/39bd0d8cc3a5/gkx142fig1.jpg
https://cdn.ncbi.nlm.nih.gov/pmc/blobs/c99c/5449618/ff386cfb2850/gkx142fig2.jpg
https://cdn.ncbi.nlm.nih.gov/pmc/blobs/c99c/5449618/c3713808d621/gkx142fig3.jpg
https://cdn.ncbi.nlm.nih.gov/pmc/blobs/c99c/5449618/b4c400419fd1/gkx142fig4.jpg
https://cdn.ncbi.nlm.nih.gov/pmc/blobs/c99c/5449618/387cd12366d1/gkx142fig5.jpg
https://cdn.ncbi.nlm.nih.gov/pmc/blobs/c99c/5449618/39bd0d8cc3a5/gkx142fig1.jpg
https://cdn.ncbi.nlm.nih.gov/pmc/blobs/c99c/5449618/ff386cfb2850/gkx142fig2.jpg
https://cdn.ncbi.nlm.nih.gov/pmc/blobs/c99c/5449618/c3713808d621/gkx142fig3.jpg
https://cdn.ncbi.nlm.nih.gov/pmc/blobs/c99c/5449618/b4c400419fd1/gkx142fig4.jpg
https://cdn.ncbi.nlm.nih.gov/pmc/blobs/c99c/5449618/387cd12366d1/gkx142fig5.jpg

相似文献

1
Structural and mechanistic insights into regulation of HBO1 histone acetyltransferase activity by BRPF2.关于BRPF2对HBO1组蛋白乙酰转移酶活性调控的结构和机制见解
Nucleic Acids Res. 2017 Jun 2;45(10):5707-5719. doi: 10.1093/nar/gkx142.
2
The scaffolding protein JADE1 physically links the acetyltransferase subunit HBO1 with its histone H3-H4 substrate.支架蛋白 JADE1 通过物理作用将乙酰转移酶亚基 HBO1 与其组蛋白 H3-H4 底物连接起来。
J Biol Chem. 2018 Mar 23;293(12):4498-4509. doi: 10.1074/jbc.RA117.000677. Epub 2018 Jan 30.
3
Molecular Insights into the Recognition of Acetylated Histone Modifications by the BRPF2 Bromodomain.BRPF2 溴结构域识别乙酰化组蛋白修饰的分子机制研究
Biochemistry. 2022 Sep 6;61(17):1774-1789. doi: 10.1021/acs.biochem.2c00297. Epub 2022 Aug 17.
4
Exchange of associated factors directs a switch in HBO1 acetyltransferase histone tail specificity.相关因素的交换指导 HBO1 乙酰转移酶组蛋白尾部特异性的转变。
Genes Dev. 2013 Sep 15;27(18):2009-24. doi: 10.1101/gad.223396.113.
5
The Hbo1-Brd1/Brpf2 complex is responsible for global acetylation of H3K14 and required for fetal liver erythropoiesis.Hbo1-Brd1/Brpf2 复合物负责 H3K14 的整体乙酰化,并且是胎肝红细胞生成所必需的。
Blood. 2011 Sep 1;118(9):2443-53. doi: 10.1182/blood-2011-01-331892. Epub 2011 Jul 13.
6
Role of Jade-1 in the histone acetyltransferase (HAT) HBO1 complex.Jade-1在组蛋白乙酰转移酶(HAT)HBO1复合物中的作用。
J Biol Chem. 2008 Oct 24;283(43):28817-26. doi: 10.1074/jbc.M801407200. Epub 2008 Aug 6.
7
The dimeric structure and the bivalent recognition of H3K4me3 by the tumor suppressor ING4 suggests a mechanism for enhanced targeting of the HBO1 complex to chromatin.肿瘤抑制因子 ING4 对 H3K4me3 的二聚体结构和二价识别表明了 HBO1 复合物增强靶向染色质的机制。
J Mol Biol. 2010 Mar 5;396(4):1117-27. doi: 10.1016/j.jmb.2009.12.049. Epub 2010 Jan 4.
8
ING tumor suppressor proteins are critical regulators of chromatin acetylation required for genome expression and perpetuation.ING肿瘤抑制蛋白是基因组表达和延续所需的染色质乙酰化的关键调节因子。
Mol Cell. 2006 Jan 6;21(1):51-64. doi: 10.1016/j.molcel.2005.12.007.
9
HBO1 HAT complexes target chromatin throughout gene coding regions via multiple PHD finger interactions with histone H3 tail.HBO1组蛋白乙酰转移酶复合物通过多个PHD结构域与组蛋白H3尾部相互作用,靶向整个基因编码区域的染色质。
Mol Cell. 2009 Jan 30;33(2):257-65. doi: 10.1016/j.molcel.2009.01.007.
10
Deciphering structure, function and mechanism of lysine acetyltransferase HBO1 in protein acetylation, transcription regulation, DNA replication and its oncogenic properties in cancer.解析赖氨酸乙酰转移酶 HBO1 在蛋白质乙酰化、转录调控、DNA 复制中的结构、功能和作用机制及其在癌症中的致癌特性。
Cell Mol Life Sci. 2020 Feb;77(4):637-649. doi: 10.1007/s00018-019-03296-x. Epub 2019 Sep 18.

引用本文的文献

1
Lysine Acetyltransferase 6 Complexes in Neurodevelopmental Disorders and Different Types of Cancer.神经发育障碍和不同类型癌症中的赖氨酸乙酰转移酶6复合物
Results Probl Cell Differ. 2025;75:391-410. doi: 10.1007/978-3-031-91459-1_14.
2
A narrative review of epigenetic marker in H3K27ac and its emerging potential as a therapeutic target in cancer.H3K27ac中表观遗传标记的叙述性综述及其作为癌症治疗靶点的新潜力。
Epigenomics. 2025 Mar;17(4):263-279. doi: 10.1080/17501911.2025.2460900. Epub 2025 Feb 21.
3
P3 site-directed mutagenesis: An efficient method based on primer pairs with 3'-overhangs.

本文引用的文献

1
Processing of X-ray diffraction data collected in oscillation mode.振荡模式下收集的X射线衍射数据的处理。
Methods Enzymol. 1997;276:307-26. doi: 10.1016/S0076-6879(97)76066-X.
2
The Chromatin Regulator BRPF3 Preferentially Activates the HBO1 Acetyltransferase but Is Dispensable for Mouse Development and Survival.染色质调节因子BRPF3优先激活HBO1乙酰转移酶,但对小鼠的发育和存活并非必需。
J Biol Chem. 2016 Feb 5;291(6):2647-63. doi: 10.1074/jbc.M115.703041. Epub 2015 Dec 16.
3
BRPF3-HBO1 regulates replication origin activation and histone H3K14 acetylation.
P3 位点定向诱变:一种基于具有 3' 突出端引物对的高效方法。
J Biol Chem. 2025 Mar;301(3):108219. doi: 10.1016/j.jbc.2025.108219. Epub 2025 Jan 23.
4
Multifunctional acyltransferase HBO1: a key regulatory factor for cellular functions.多功能酰基转移酶 HBO1:细胞功能的关键调节因子。
Cell Mol Biol Lett. 2024 Nov 14;29(1):141. doi: 10.1186/s11658-024-00661-y.
5
HBO1 determines SMAD action in pluripotency and mesendoderm specification.HBO1 决定多能性和中胚层特化中的 SMAD 作用。
Nucleic Acids Res. 2024 May 22;52(9):4935-4949. doi: 10.1093/nar/gkae158.
6
The ORFIUS complex regulates ORC2 localization at replication origins.ORFIUS复合体调节复制起点处ORC2的定位。
NAR Cancer. 2024 Jan 29;6(1):zcae003. doi: 10.1093/narcan/zcae003. eCollection 2024 Mar.
7
Functions and mechanisms of protein lysine butyrylation (Kbu): Therapeutic implications in human diseases.蛋白质赖氨酸丁酰化(Kbu)的功能与机制:对人类疾病的治疗意义
Genes Dis. 2022 Nov 29;10(6):2479-2490. doi: 10.1016/j.gendis.2022.10.025. eCollection 2023 Nov.
8
Histone acetylation by HBO1 (KAT7) activates Wnt/β-catenin signaling to promote leukemogenesis in B-cell acute lymphoblastic leukemia.HBO1(KAT7)介导的组蛋白乙酰化激活 Wnt/β-catenin 信号通路促进 B 细胞急性淋巴细胞白血病的发生。
Cell Death Dis. 2023 Aug 4;14(8):498. doi: 10.1038/s41419-023-06019-0.
9
Post-translational modifications of histones: Mechanisms, biological functions, and therapeutic targets.组蛋白的翻译后修饰:机制、生物学功能及治疗靶点。
MedComm (2020). 2023 May 20;4(3):e292. doi: 10.1002/mco2.292. eCollection 2023 Jun.
10
HBO1 catalyzes lysine benzoylation in mammalian cells.HBO1在哺乳动物细胞中催化赖氨酸苯甲酰化。
iScience. 2022 Oct 26;25(11):105443. doi: 10.1016/j.isci.2022.105443. eCollection 2022 Nov 18.
BRPF3-HBO1调节复制起点激活和组蛋白H3K14乙酰化。
EMBO J. 2016 Jan 18;35(2):176-92. doi: 10.15252/embj.201591293. Epub 2015 Nov 30.
4
Molecular Basis for Histone Acetyltransferase Regulation by Binding Partners, Associated Domains, and Autoacetylation.组蛋白乙酰转移酶受结合伴侣、相关结构域和自身乙酰化调控的分子基础
ACS Chem Biol. 2016 Mar 18;11(3):632-42. doi: 10.1021/acschembio.5b00841. Epub 2015 Dec 2.
5
The PZP Domain of AF10 Senses Unmodified H3K27 to Regulate DOT1L-Mediated Methylation of H3K79.AF10的PZP结构域识别未修饰的H3K27以调控DOT1L介导的H3K79甲基化。
Mol Cell. 2015 Oct 15;60(2):319-27. doi: 10.1016/j.molcel.2015.08.019. Epub 2015 Oct 1.
6
Histone core modifications regulating nucleosome structure and dynamics.组蛋白核心修饰调节核小体结构和动力学。
Nat Rev Mol Cell Biol. 2014 Nov;15(11):703-8. doi: 10.1038/nrm3890. Epub 2014 Oct 15.
7
Writers and readers of histone acetylation: structure, mechanism, and inhibition.组蛋白乙酰化的作者与读者:结构、机制及抑制作用
Cold Spring Harb Perspect Biol. 2014 Jul 1;6(7):a018762. doi: 10.1101/cshperspect.a018762.
8
Hat2p recognizes the histone H3 tail to specify the acetylation of the newly synthesized H3/H4 heterodimer by the Hat1p/Hat2p complex.Hat2p 识别组蛋白 H3 尾部,指定由 Hat1p/Hat2p 复合物对新合成的 H3/H4 异二聚体进行乙酰化。
Genes Dev. 2014 Jun 1;28(11):1217-27. doi: 10.1101/gad.240531.114. Epub 2014 May 16.
9
Histone target selection within chromatin: an exemplary case of teamwork.组蛋白在染色质中的靶标选择:团队合作的典范案例。
Genes Dev. 2014 May 15;28(10):1029-41. doi: 10.1101/gad.236331.113.
10
Crosstalk between epigenetic readers regulates the MOZ/MORF HAT complexes.表观遗传阅读蛋白之间的相互作用调控MOZ/MORF组蛋白乙酰转移酶复合体。
Epigenetics. 2014 Feb;9(2):186-93. doi: 10.4161/epi.26792. Epub 2013 Oct 29.