Suppr超能文献

一篇关于在儿科患者中使用肿瘤性颧骨种植体固位上颌阻塞器的新颖报告。

A novel report on the use of an oncology zygomatic implant-retained maxillary obturator in a paediatric patient.

作者信息

Dattani Amit, Richardson David, Butterworth Chris J

机构信息

Oral and Maxillofacial Surgery, Regional Maxillofacial Unit, University Hospital Aintree, Liverpool, UK.

Maxillofacial Surgery, Regional Craniofacial Unit, Alder Hey Children's Hospital, Liverpool, UK.

出版信息

Int J Implant Dent. 2017 Dec;3(1):9. doi: 10.1186/s40729-017-0073-7. Epub 2017 Mar 28.

Abstract

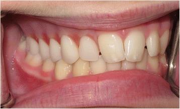
This report details the use of zygomatic oncology osseointegrated implants to support and retain a maxillary obturator in a 13-year-old male patient who underwent a right-sided hemi-maxillectomy (Brown Class 2b) (Brown and Shaw, Lancet Oncol 11:1001-8, 2010) for a myxoid spindle cell carcinoma. At the time of maxillary resection, two zygomatic oncology implants were inserted into the right zygomatic body and subsequently utilised to provide in-defect support and retention for a bar-retained maxillary acrylic obturator prosthesis, which restored the patient's aesthetics and function to a very high level. Close follow-up over 2 years demonstrated ongoing excellent function and disease control with no deleterious effects on facial or dento-alveolar growth clinically. This is the first clinical report of its kind in the published literature detailing the use of a zygomatic implant-retained obturator in a paediatric patient.

摘要

本报告详细介绍了在一名13岁男性患者中使用颧骨肿瘤骨整合种植体来支撑和固定上颌阻塞器的情况。该患者因黏液样梭形细胞癌接受了右侧半上颌骨切除术(Brown 2b级)(Brown和Shaw,《柳叶刀·肿瘤学》11:1001 - 8,2010年)。在上颌骨切除时,将两枚颧骨肿瘤种植体植入右侧颧骨体,随后用于为杆式固定的上颌丙烯酸阻塞器假体提供缺损内支撑和固定,该假体将患者的美观和功能恢复到了很高水平。超过2年的密切随访显示,功能持续良好且疾病得到控制,临床上对面部或牙牙槽骨生长无不良影响。这是已发表文献中首例详细介绍在儿科患者中使用颧骨种植体固定阻塞器的临床报告。

https://cdn.ncbi.nlm.nih.gov/pmc/blobs/7b3c/5368100/bcc5401d720c/40729_2017_73_Fig1_HTML.jpg

文献检索

告别复杂PubMed语法,用中文像聊天一样搜索,搜遍4000万医学文献。AI智能推荐,让科研检索更轻松。

立即免费搜索

文件翻译

保留排版,准确专业,支持PDF/Word/PPT等文件格式,支持 12+语言互译。

免费翻译文档

深度研究

AI帮你快速写综述,25分钟生成高质量综述,智能提取关键信息,辅助科研写作。

立即免费体验