• 文献检索
  • 文档翻译
  • 深度研究
  • 学术资讯
  • Suppr Zotero 插件Zotero 插件
  • 邀请有礼
  • 套餐&价格
  • 历史记录
应用&插件
Suppr Zotero 插件Zotero 插件浏览器插件Mac 客户端Windows 客户端微信小程序
定价
高级版会员购买积分包购买API积分包
服务
文献检索文档翻译深度研究API 文档MCP 服务
关于我们
关于 Suppr公司介绍联系我们用户协议隐私条款
关注我们

Suppr 超能文献

核心技术专利:CN118964589B侵权必究
粤ICP备2023148730 号-1Suppr @ 2026

文献检索

告别复杂PubMed语法,用中文像聊天一样搜索,搜遍4000万医学文献。AI智能推荐,让科研检索更轻松。

立即免费搜索

文件翻译

保留排版,准确专业,支持PDF/Word/PPT等文件格式,支持 12+语言互译。

免费翻译文档

深度研究

AI帮你快速写综述,25分钟生成高质量综述,智能提取关键信息,辅助科研写作。

立即免费体验

氟代脱氧葡萄糖正电子发射断层扫描在肺上皮样血管内皮瘤分期中的作用

Role of FDG-PET scan in staging of pulmonary epithelioid hemangioendothelioma.

作者信息

Calabrese Cecilia, Gilli Marina, De Rosa Nicolina, Di Crescenzo Vincenzo, Zeppa Pio, Vitale Carolina, Vatrella Alessandro

机构信息

Department of Cardio-Thoracic and Respiratory Sciences, Second University of Naples, Naples, Italy.

AORN Ospedale dei Colli, Division of Pulmonary Oncology, Naples, Italy.

出版信息

Open Med (Wars). 2016 Jun 23;11(1):158-162. doi: 10.1515/med-2016-0025. eCollection 2016.

DOI:10.1515/med-2016-0025
PMID:28352786
原文链接:https://pmc.ncbi.nlm.nih.gov/articles/PMC5329812/
Abstract

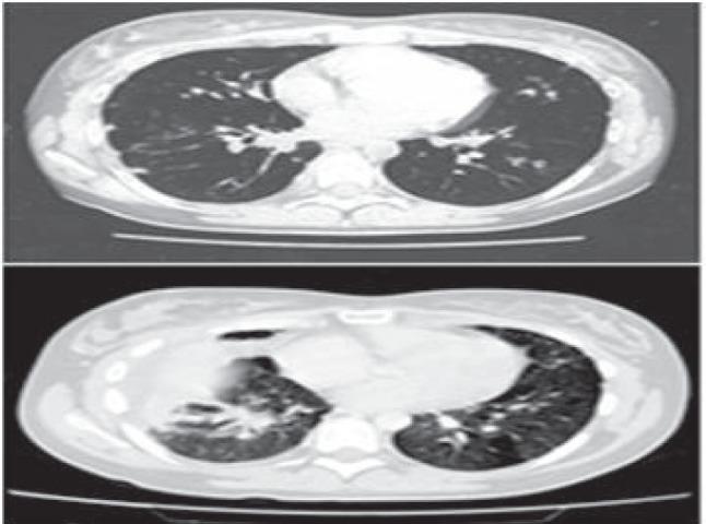
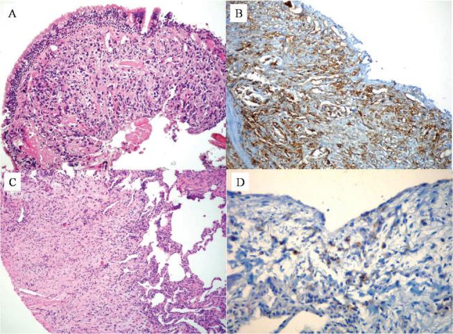
In this report we describe a case of pulmonary epithelioid hemangioendothelioma (PEH) in a young woman. The neoplasm manifested with dry cough, chest pain, finger clubbing, and multiple bilateral pulmonary nodules on chest x-ray and computed tomographic (CT) scan. She underwent thoracoscopy, and the histological features of the lung biopsies were initially interpreted as consistent with a not-well-defined interstitial lung disease. Our patient was clinically and radiologically stable over a period of four years, after which the disease progressed to involve not only the lung but also mediastinal lymph nodes, liver and bone. Fiberoptic bronchoscopy showed subtotal occlusion of the right middle and lower lobe bronchi. The histologic examination of bronchial biopsies revealed a poorly differentiated neoplasm immunohistochemically positive for vimentin and vascular markers CD31, CD34 and Factor VIII. A diagnosis of malignant hemangioendothelioma was made. Positron emission tomography (PET) is more sensitive than CT scan and bone scintigraphy in detecting PEH metastases. Furthermore, 18-fluorodeoxyglucose (FDG) uptake seems to be related to the grade of malignancy of PEH lesions. Therefore, we suggest that FDG-PET should be included in the staging system and follow-up of PEH.

摘要

在本报告中,我们描述了一名年轻女性患肺上皮样血管内皮瘤(PEH)的病例。该肿瘤表现为干咳、胸痛、杵状指,胸部X线和计算机断层扫描(CT)显示双侧肺部有多个结节。她接受了胸腔镜检查,肺活检的组织学特征最初被解释为与一种界限不清的间质性肺病相符。我们的患者在四年时间里临床和放射学表现稳定,此后病情进展,不仅累及肺部,还累及纵隔淋巴结、肝脏和骨骼。纤维支气管镜检查显示右中叶和下叶支气管部分阻塞。支气管活检的组织学检查显示为低分化肿瘤,免疫组化显示波形蛋白及血管标志物CD31、CD34和因子VIII呈阳性。诊断为恶性血管内皮瘤。正电子发射断层扫描(PET)在检测PEH转移方面比CT扫描和骨闪烁显像更敏感。此外,18-氟脱氧葡萄糖(FDG)摄取似乎与PEH病变的恶性程度有关。因此,我们建议FDG-PET应纳入PEH的分期系统和随访中。

https://cdn.ncbi.nlm.nih.gov/pmc/blobs/6abc/5329812/dae9227bc315/j_med-2016-0025_fig_003.jpg
https://cdn.ncbi.nlm.nih.gov/pmc/blobs/6abc/5329812/f2f9977e1ead/j_med-2016-0025_fig_001.jpg
https://cdn.ncbi.nlm.nih.gov/pmc/blobs/6abc/5329812/d592a2dfa425/j_med-2016-0025_fig_002.jpg
https://cdn.ncbi.nlm.nih.gov/pmc/blobs/6abc/5329812/dae9227bc315/j_med-2016-0025_fig_003.jpg
https://cdn.ncbi.nlm.nih.gov/pmc/blobs/6abc/5329812/f2f9977e1ead/j_med-2016-0025_fig_001.jpg
https://cdn.ncbi.nlm.nih.gov/pmc/blobs/6abc/5329812/d592a2dfa425/j_med-2016-0025_fig_002.jpg
https://cdn.ncbi.nlm.nih.gov/pmc/blobs/6abc/5329812/dae9227bc315/j_med-2016-0025_fig_003.jpg

相似文献

1
Role of FDG-PET scan in staging of pulmonary epithelioid hemangioendothelioma.氟代脱氧葡萄糖正电子发射断层扫描在肺上皮样血管内皮瘤分期中的作用
Open Med (Wars). 2016 Jun 23;11(1):158-162. doi: 10.1515/med-2016-0025. eCollection 2016.
2
Pulmonary epithelioid hemangioendothelioma coexisting with pulmonary nodular amyloidosis: case discussion and review of the literature.肺上皮样血管内皮瘤合并肺结节性淀粉样变:病例讨论及文献复习
Int J Clin Exp Med. 2014 Jul 15;7(7):1891-7. eCollection 2014.
3
More advantages in detecting bone and soft tissue metastases from prostate cancer using F-PSMA PET/CT.使用F-PSMA PET/CT检测前列腺癌骨和软组织转移方面有更多优势。
Hell J Nucl Med. 2019 Jan-Apr;22(1):6-9. doi: 10.1967/s002449910952. Epub 2019 Mar 7.
4
A case of pulmonary epithelioid hemangioendothelioma surviving 10 years without treatment.一例未经治疗存活10年的肺上皮样血管内皮瘤病例。
Ann Thorac Cardiovasc Surg. 2010 Dec;16(6):432-5.
5
Increased FDG uptake in pulmonary epitheloid hemangioendothelioma.肺上皮样血管内皮瘤中氟代脱氧葡萄糖摄取增加。
Rev Esp Med Nucl. 2006 May-Jun;25(3):188-92. doi: 10.1157/13088416.
6
18F-FDG-PET/CT as an indicator for resection of pulmonary epithelioid hemangioendothelioma.18F-氟脱氧葡萄糖正电子发射断层扫描/计算机断层扫描作为肺上皮样血管内皮瘤切除术的指标
Ann Nucl Med. 2008 Jul;22(6):521-4. doi: 10.1007/s12149-007-0159-z. Epub 2008 Aug 1.
7
Malignant epithelioid hemangioendothelioma of the lower extremity: staging with F-18 FDG PET/CT.下肢恶性上皮样血管内皮细胞瘤:F-18 FDG PET/CT 分期。
Clin Nucl Med. 2011 Jul;36(7):590-2. doi: 10.1097/RLU.0b013e318217733b.
8
FDG PET/CT of Mediastinal Epithelioid Hemangioendothelioma.纵隔上皮样血管内皮细胞瘤的 FDG PET/CT。
Clin Nucl Med. 2019 Sep;44(9):e540-e543. doi: 10.1097/RLU.0000000000002726.
9
Pulmonary epithelioid hemangioendothelioma.肺上皮样血管内皮瘤
Gen Thorac Cardiovasc Surg. 2011 Apr;59(4):297-300. doi: 10.1007/s11748-010-0651-6. Epub 2011 Apr 12.
10
[Pulmonary Epithelial Hemangioendothelioma Needed to Differentiate from Metastatic Lung Tumor;Report of a Case].[肺上皮样血管内皮瘤需与肺转移瘤相鉴别;1例报告]
Kyobu Geka. 2019 Apr;72(4):321-323.

引用本文的文献

1
Primary pulmonary epithelioid hemangioendothelioma.原发性肺上皮样血管内皮细胞瘤。
BMJ Case Rep. 2023 Sep 14;16(9):e254915. doi: 10.1136/bcr-2023-254915.
2
Case report: Rare epithelioid hemangioendothelioma occurs in both main bronchus and lung.病例报告:罕见的上皮样血管内皮瘤同时发生于主支气管和肺。
Front Med (Lausanne). 2022 Dec 15;9:1066870. doi: 10.3389/fmed.2022.1066870. eCollection 2022.
3
Epithelioid hemangioendothelioma: evaluation by F-FDG PET/CT.上皮样血管内皮瘤:F-FDG PET/CT评估

本文引用的文献

1
Ultrasound-guided fine needle aspiration cytology of a primary lymph node leiomyoma: a flexible procedure for a complex case.超声引导下原发性淋巴结平滑肌瘤细针穿刺细胞学检查:复杂病例的灵活操作方法
Acta Cytol. 2014;58(3):303-8. doi: 10.1159/000363122. Epub 2014 Jun 7.
2
Application of proteomics and peptidomics to COPD.蛋白质组学和肽组学在慢性阻塞性肺疾病中的应用。
Biomed Res Int. 2014;2014:764581. doi: 10.1155/2014/764581. Epub 2014 May 5.
3
Fine needle aspiration cytology of lymphoproliferative lesions of the oral cavity.口腔淋巴增生性病变的细针穿刺细胞学检查
Am J Nucl Med Mol Imaging. 2021 Apr 15;11(2):77-86. eCollection 2021.
4
Effective combined therapy for pulmonary epithelioid hemangioendothelioma: A case report.肺上皮样血管内皮瘤的有效联合治疗:一例报告
World J Clin Cases. 2020 May 26;8(10):2009-2015. doi: 10.12998/wjcc.v8.i10.2009.
5
[Research Progress of Pulmonary Epithelioid Hemangioendothelioma].[肺上皮样血管内皮瘤的研究进展]
Zhongguo Fei Ai Za Zhi. 2019 Jul 20;22(7):470-476. doi: 10.3779/j.issn.1009-3419.2019.07.10.
6
Apatinib for the treatment of pulmonary epithelioid hemangioendothelioma: A case report and literature review.阿帕替尼治疗肺上皮样血管内皮瘤:1例报告并文献复习
Medicine (Baltimore). 2017 Nov;96(45):e8507. doi: 10.1097/MD.0000000000008507.
Cytopathology. 2014 Aug;25(4):241-9. doi: 10.1111/cyt.12132. Epub 2014 Feb 7.
4
Fine-needle cytology of Hürthle cell tumors and morphometry.许特莱细胞肿瘤的细针穿刺细胞学检查与形态测量学
Cancer Cytopathol. 2014 Jul;122(7):553. doi: 10.1002/cncy.21420. Epub 2014 Apr 4.
5
Lymph node fine needle cytology in the staging and follow-up of cutaneous lymphomas.皮肤淋巴瘤分期及随访中的淋巴结细针穿刺细胞学检查
BMC Cancer. 2014 Jan 6;14:8. doi: 10.1186/1471-2407-14-8.
6
Diagnostic utility of BRAFV600E mutation testing in thyroid nodules in elderly patients.BRAFV600E突变检测在老年患者甲状腺结节中的诊断效用
BMC Surg. 2013;13 Suppl 2(Suppl 2):S37. doi: 10.1186/1471-2482-13-S2-S37. Epub 2013 Oct 8.
7
Pulmonary sequestration presented as massive left hemothorax and associated with primary lung sarcoma.肺隔离症表现为大量左侧血胸,并与原发性肺肉瘤相关。
BMC Surg. 2013;13 Suppl 2(Suppl 2):S34. doi: 10.1186/1471-2482-13-S2-S34. Epub 2013 Oct 8.
8
An unusual case of primary choriocarcinoma of the lung.一例罕见的原发性肺绒毛膜癌病例。
BMC Surg. 2013;13 Suppl 2(Suppl 2):S33. doi: 10.1186/1471-2482-13-S2-S33. Epub 2013 Oct 8.
9
Genetic mutations in the treatment of anaplastic thyroid cancer: a systematic review.间变性甲状腺癌治疗中的基因突变:一项系统评价
BMC Surg. 2013;13 Suppl 2(Suppl 2):S44. doi: 10.1186/1471-2482-13-S2-S44. Epub 2013 Oct 8.
10
Update on anticytokine treatment for asthma.哮喘的抗细胞因子治疗进展。
Biomed Res Int. 2013;2013:104315. doi: 10.1155/2013/104315. Epub 2013 Jun 18.