Suppr超能文献

胸腔镜辅助治疗细胞毒性化疗药物胸腔外渗。

Video-assisted thoracoscopy in the management of intrapleural extravasation of cytotoxic chemotherapy.

机构信息

Cardiothoracic Surgical Unit, Department of Cardiothoracic Surgery, Royal Adelaide Hospital, Adelaide, South Australia, Australia.

出版信息

Thorac Cancer. 2017 Jul;8(4):363-364. doi: 10.1111/1759-7714.12430. Epub 2017 Mar 31.

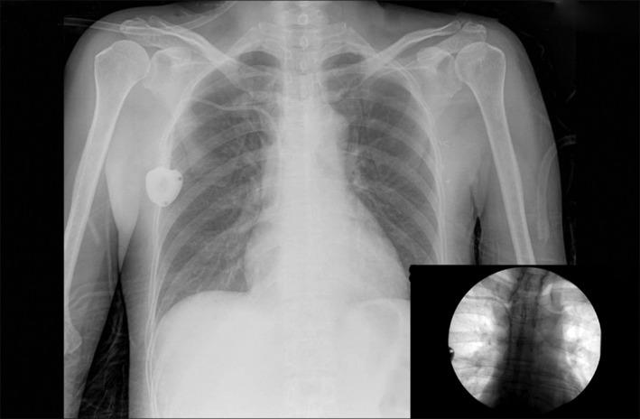
Abstract

The extravasation of cytotoxic agents into subcutaneous tissue is a serious complication of chemotherapy. Unfortunately, if such extravasation occurs into the pleural space, limited data is available to guide appropriate management. We present the first report in the literature of video-assisted thoracoscopy combined with a topoisomerase II inhibitor and iron chelator, dexrazoxane, in the successful management of this complication.

摘要

细胞毒药物渗出到皮下组织是化疗的严重并发症。不幸的是,如果这种外渗发生在胸膜腔,可用的数据有限,无法指导适当的治疗。我们首次在文献中报告了使用胸腔镜联合拓扑异构酶 II 抑制剂和铁螯合剂右雷佐生成功治疗这种并发症。

https://cdn.ncbi.nlm.nih.gov/pmc/blobs/824a/5494449/2bc53caa1c15/TCA-8-363-g001.jpg

相似文献

1
Video-assisted thoracoscopy in the management of intrapleural extravasation of cytotoxic chemotherapy.
Thorac Cancer. 2017 Jul;8(4):363-364. doi: 10.1111/1759-7714.12430. Epub 2017 Mar 31.
2
Successful experience utilizing dexrazoxane treatment for an anthracycline extravasation.
Ann Pharmacother. 2010 May;44(5):922-5. doi: 10.1345/aph.1M636. Epub 2010 Apr 6.
4
BET 3: emergency management of anthracycline extravasation.
Emerg Med J. 2012 Sep;29(9):777-9. doi: 10.1136/emermed-2012-201686.4.
5
Delayed presentation of doxorubicin extravasation into pleural space: Case report and review of literature.
J Oncol Pharm Pract. 2021 Sep;27(6):1520-1527. doi: 10.1177/1078155220975848. Epub 2020 Nov 26.
7
Intrapleural extravasation of epirubicin, 5-fluouracil, and cyclophosphamide, treated with dexrazoxane.
Int J Clin Oncol. 2006 Dec;11(6):467-70. doi: 10.1007/s10147-006-0598-x. Epub 2006 Dec 25.
9
Dexrazoxane for anthracycline extravasation and GM-CSF for skin ulceration and wound healing.
Lancet Oncol. 2004 May;5(5):320-1. doi: 10.1016/S1470-2045(04)01470-6.
10

引用本文的文献

1
Successful Assessment and Management of Chemothorax: A Case Report and Literature Review.
Cureus. 2025 Jun 23;17(6):e86595. doi: 10.7759/cureus.86595. eCollection 2025 Jun.
2
Case report: Successful multimodal assessment and management of chemothorax.
Front Surg. 2022 Jul 26;9:921968. doi: 10.3389/fsurg.2022.921968. eCollection 2022.

本文引用的文献

3
Intrapleural extravasation of epirubicin, 5-fluouracil, and cyclophosphamide, treated with dexrazoxane.
Int J Clin Oncol. 2006 Dec;11(6):467-70. doi: 10.1007/s10147-006-0598-x. Epub 2006 Dec 25.
4
Extravasation: a dreaded complication of chemotherapy.
Ann Oncol. 2003;14 Suppl 3:iii26-30. doi: 10.1093/annonc/mdg744.
5
Complications associated with implantable vascular access devices in the patient with cancer.
J Infus Nurs. 2003 Mar-Apr;26(2):97-102. doi: 10.1097/00129804-200303000-00006.
6
Delayed pneumothorax and hydrothorax with central venous catheter migration.
Anaesthesia. 1999 Oct;54(10):987-90. doi: 10.1046/j.1365-2044.1999.01033.x.

文献AI研究员

20分钟写一篇综述,助力文献阅读效率提升50倍。

立即体验

用中文搜PubMed

大模型驱动的PubMed中文搜索引擎

马上搜索

文档翻译

学术文献翻译模型,支持多种主流文档格式。

立即体验