Suppr超能文献

黄斑受累巨细胞病毒性视网膜炎的谱域光相干断层扫描结果。

SPECTRAL DOMAIN OPTICAL COHERENCE TOMOGRAPHY FINDINGS IN MACULA-INVOLVING CYTOMEGALOVIRUS RETINITIS.

机构信息

Department of Ophthalmology, Weill Cornell Medical College, New York-Presbyterian Hospital, New York, New York.

Albert Einstein College of Medicine, New York, New York.

出版信息

Retina. 2018 May;38(5):1000-1010. doi: 10.1097/IAE.0000000000001644.

Abstract

PURPOSE

To evaluate the microstructural features of cytomegalovirus (CMV) retinitis by spectral domain optical coherence tomography (OCT).

METHODS

Subjects were patients with macula-involving CMV retinitis with OCT imaging. The leading edge of retinitis in the macula was identified based on fundus imaging, and OCT findings were longitudinally evaluated in three areas: within the area of active retinitis, at the leading edge of retinitis, and just beyond the leading edge of retinitis.

RESULTS

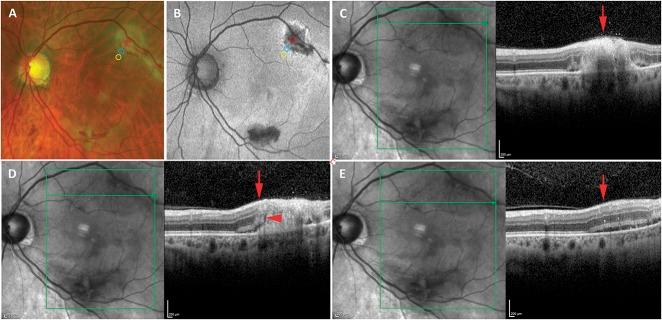
Optical coherence tomography imaging of macular CMV retinitis identified vitreous cells in 10 eyes (100%), posterior vitreous detachment in four eyes (40%), broad-based vitreomacular traction in one eye (10%), epiretinal membrane in eight eyes (80%), and lamellar hole-associated epiretinal proliferation associated with an atrophic hole in one eye (10%). Retinal architectural disruption, disruption of inner retinal layers, disruption of the external limiting membrane, and ellipsoid zone abnormalities were noted within the area of retinitis in all eyes and decreased in frequency and severity at and beyond the leading edge of retinitis, although all 10 eyes (100%) exhibited one of these abnormalities, especially outer retinal microabnormalities, beyond the leading edge of retinitis.

CONCLUSION

Microstructural abnormalities were frequently noted on OCT of CMV retinitis, including within the retina beyond the leading edge of retinitis identified by corresponding fundus imaging. Outer retinal abnormalities were noted more frequently than inner retinal abnormalities beyond the leading edge of retinitis. These findings provide insight into the effects of CMV retinitis on retinal microstructure and potentially on vision and highlight the potential utility of OCT for monitoring microprogression of macula-involving CMV retinitis.

摘要

目的

通过频域光相干断层扫描(OCT)评估巨细胞病毒(CMV)视网膜炎的微观结构特征。

方法

研究对象为黄斑受累 CMV 视网膜炎患者,这些患者具有 OCT 成像。根据眼底图像识别黄斑区视网膜炎的前缘,在三个区域对 OCT 发现进行纵向评估:活动性视网膜炎区域内、视网膜炎前缘和视网膜炎前缘之外。

结果

黄斑 CMV 视网膜炎的 OCT 成像在 10 只眼中发现玻璃体细胞(100%),4 只眼中发现后玻璃体脱离(40%),1 只眼中发现宽基底玻璃体黄斑牵引(10%),8 只眼中发现视网膜内膜(80%)和 1 只眼中发现与萎缩孔相关的板层孔相关的视网膜内膜增殖(10%)。所有眼中均在视网膜炎区域内发现视网膜结构破坏、内视网膜层破坏、外部限制膜破坏和椭圆体带异常,在视网膜炎前缘及其以外区域,这些异常的频率和严重程度降低,但所有 10 只眼(100%)均表现出一种异常,特别是在视网膜炎前缘以外的外视网膜微异常。

结论

CMV 视网膜炎的 OCT 常显示微观结构异常,包括通过相应的眼底图像识别的视网膜炎前缘以外的视网膜。在视网膜炎前缘以外,外视网膜异常比内视网膜异常更常见。这些发现深入了解了 CMV 视网膜炎对视网膜微观结构的影响,以及对视力的潜在影响,并强调了 OCT 监测黄斑受累 CMV 视网膜炎微进展的潜在效用。

https://cdn.ncbi.nlm.nih.gov/pmc/blobs/ac9b/5943072/6cd4ffe35417/retina-38-1000-g002.jpg

文献AI研究员

20分钟写一篇综述,助力文献阅读效率提升50倍。

立即体验

用中文搜PubMed

大模型驱动的PubMed中文搜索引擎

马上搜索

文档翻译

学术文献翻译模型,支持多种主流文档格式。

立即体验