Suppr超能文献

过表达血小板衍生生长因子受体α的肺动脉肉瘤

Pulmonary Artery Sarcoma Overexpressing Platelet-derived Growth Factor Receptor α.

作者信息

Takemoto Shinnosuke, Soda Hiroshi, Iwasaki Keisuke, Kitazaki Takeshi, Sumiyoshi Makoto, Harada Tatsuhiko, Dotsu Yosuke, Ogawara Daiki, Fukahori Susumu, Fukuda Yuichi, Mukae Hiroshi

机构信息

Department of Respiratory Medicine, Sasebo City General Hospital, Japan.

出版信息

Intern Med. 2017;56(7):823-826. doi: 10.2169/internalmedicine.56.7731. Epub 2017 Apr 1.

Abstract

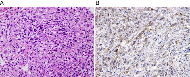
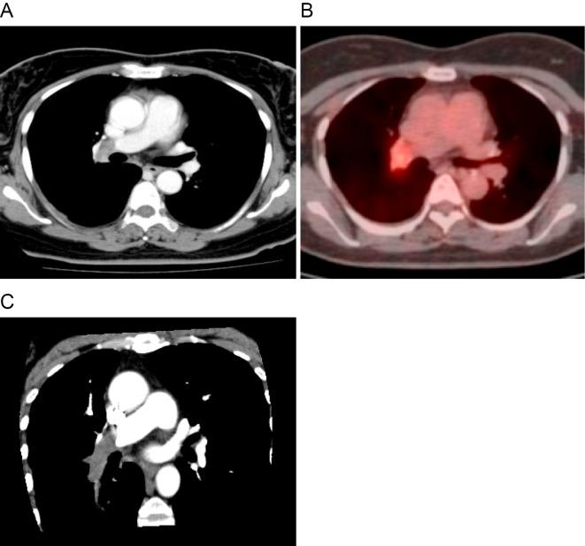
Pulmonary artery sarcoma is highly malignant and easily metastasizes to the systemic organs. Both the introduction of novel diagnostic procedures and the development of new treatment modalities are required to achieve long-term survival. Several studies have shown that platelet-derived growth factor receptor α (PDGFRα) gene amplification is frequently observed in pulmonary artery sarcoma. PDGFRα is known to be involved in cell proliferation in certain malignancies. PDGFRα may become a potential biological marker in pulmonary artery sarcoma. We report a case in which a diagnosis of pulmonary artery sarcoma overexpressing PDGFRα was made using endovascular catheter biopsy following positron emission tomography with integrated computed tomography (PET/CT) scans.

摘要

肺动脉肉瘤恶性程度高,易转移至全身各器官。为实现长期生存,既需要引入新的诊断方法,也需要开发新的治疗方式。多项研究表明,肺动脉肉瘤中经常观察到血小板衍生生长因子受体α(PDGFRα)基因扩增。已知PDGFRα参与某些恶性肿瘤的细胞增殖。PDGFRα可能成为肺动脉肉瘤潜在的生物学标志物。我们报告一例病例,该病例通过正电子发射断层扫描与计算机断层扫描(PET/CT)联合扫描后,采用血管内导管活检确诊为过表达PDGFRα的肺动脉肉瘤。

https://cdn.ncbi.nlm.nih.gov/pmc/blobs/5900/5457927/82203380555d/1349-7235-56-0823-g001.jpg

文献AI研究员

20分钟写一篇综述,助力文献阅读效率提升50倍。

立即体验

用中文搜PubMed

大模型驱动的PubMed中文搜索引擎

马上搜索

文档翻译

学术文献翻译模型,支持多种主流文档格式。

立即体验