AlZarea Bader K
Department of Prosthodontics, College of Dentistry, AlJouf University, Sakaka, Kingdom of Saudi Arabia.
Clin Interv Aging. 2017 Mar 30;12:611-617. doi: 10.2147/CIA.S129818. eCollection 2017.
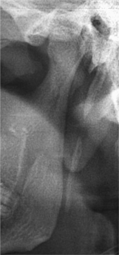
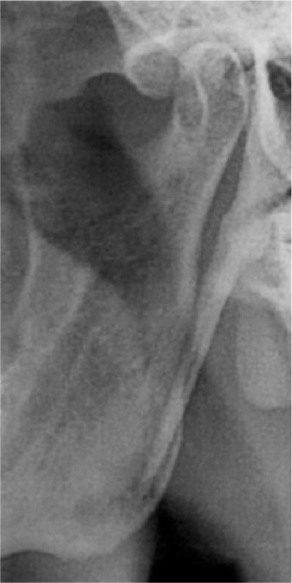
The objectives of this study were to assess the elongation of the styloid process on digital panoramic radiographs and to evaluate the prevalence of the elongation according to age, sex and types.
Digital panoramic radiographs of 198 geriatric edentulous patients were analyzed. The radiographic length of the styloid process was measured on both sides using the measurement toolbars on the accompanying analysis software. For statistical analysis, Student's -test, chi-square test and analysis of variance test were used.
The elongated styloid process was seen in 87 of the 198 patients. It was observed that as age increased, elongation of the styloid process increased with a male predominance. Type I elongation was more common than other types of elongation. Bilateral elongation was most commonly found than unilateral elongation, and both types of elongation were frequently seen in males compared with females.
The prevalence of the elongated styloid process in the present study was higher in comparison to the other reports from edentulous patients.
本研究的目的是评估数字化全景X线片上茎突的长度,并根据年龄、性别和类型评估茎突过长的患病率。
分析了198例老年无牙患者的数字化全景X线片。使用随附分析软件上的测量工具栏在两侧测量茎突的X线片长度。进行统计分析时,采用了t检验、卡方检验和方差分析。
198例患者中有87例出现茎突过长。观察到随着年龄的增加,茎突过长的情况增多,且以男性为主。I型过长比其他类型的过长更常见。双侧过长比单侧过长更常见,与女性相比,两种类型的过长在男性中更常见。
与其他关于无牙患者的报告相比,本研究中茎突过长的患病率更高。