Suppr超能文献

大鼠肝脏6-磷酸果糖-2-激酶/果糖-2,6-二磷酸酶双磷酸酶结构域在大肠杆菌中的表达。

Expression of the bisphosphatase domain of rat liver 6-phosphofructo-2-kinase/fructose-2,6-bisphosphatase in Escherichia coli.

作者信息

Tauler A, Rosenberg A H, Colosia A, Studier F W, Pilkis S J

机构信息

Department of Physiology and Biophysics, State University of New York, Stony Brook 11794.

出版信息

Proc Natl Acad Sci U S A. 1988 Sep;85(18):6642-6. doi: 10.1073/pnas.85.18.6642.

Abstract

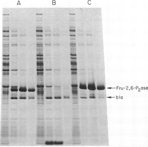
The fructose-2,6-bisphosphatase domain of rat liver 6-phosphofructo-2-kinase/fructose-2,6-bisphosphatase (EC 2.7.105/EC 3.1.3.46) was expressed in Escherichia coli by using an expression system based on bacteriophage T7 RNA polymerase. The protein was efficiently expressed (i) as a fusion protein that starts at the T7 major capsid protein initiation site in a pET expression vector and (ii) as a protein that starts within the bisphosphatase sequence by translation reinitiation. Both proteins have similar properties. The protein was purified to homogeneity by anion-exchange chromatography and gel filtration. The purified fructose-2,6-bisphosphatase domain was active and no 6-phosphofructo-2-kinase activity was found associated with it. In contrast to the dimeric bifunctional enzyme, the fructose-2,6-bisphosphatase domain behaved as a monomer of 30 kDa. The turnover number and kinetic properties of the separate bisphosphatase domain were similar to those of the bisphosphatase of the bifunctional enzyme, including the ability to form a phosphoenzyme intermediate. These results support the hypothesis that the rat liver enzyme consists of two independent domains and is a member of a class of enzymes formed by gene fusion.

摘要

利用基于噬菌体T7 RNA聚合酶的表达系统,在大肠杆菌中表达了大鼠肝脏6-磷酸果糖-2-激酶/果糖-2,6-二磷酸酶(EC 2.7.105/EC 3.1.3.46)的果糖-2,6-二磷酸酶结构域。该蛋白以两种方式高效表达:(i)作为在pET表达载体中从T7主要衣壳蛋白起始位点开始的融合蛋白;(ii)作为通过翻译重新起始在双磷酸酶序列内起始的蛋白。这两种蛋白具有相似的性质。通过阴离子交换色谱和凝胶过滤将该蛋白纯化至同质。纯化的果糖-2,6-二磷酸酶结构域具有活性,未发现与之相关的6-磷酸果糖-2-激酶活性。与二聚体双功能酶不同,果糖-2,6-二磷酸酶结构域表现为30 kDa的单体。单独的双磷酸酶结构域的周转数和动力学性质与双功能酶的双磷酸酶相似,包括形成磷酸酶中间体的能力。这些结果支持以下假说:大鼠肝脏酶由两个独立的结构域组成,是通过基因融合形成的一类酶的成员。

https://cdn.ncbi.nlm.nih.gov/pmc/blobs/9397/282033/5196eb200440/pnas00297-0076-a.jpg

文献检索

告别复杂PubMed语法,用中文像聊天一样搜索,搜遍4000万医学文献。AI智能推荐,让科研检索更轻松。

立即免费搜索

文件翻译

保留排版,准确专业,支持PDF/Word/PPT等文件格式,支持 12+语言互译。

免费翻译文档

深度研究

AI帮你快速写综述,25分钟生成高质量综述,智能提取关键信息,辅助科研写作。

立即免费体验