Suppr超能文献

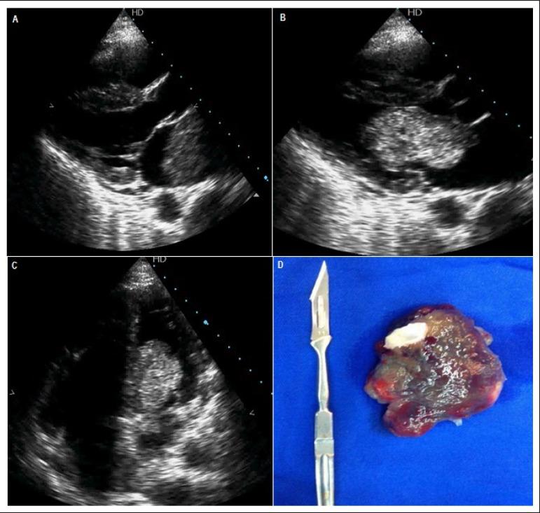
Patient with Atrial Myxoma and Signs of Obstruction of the Left Ventricular Outflow Tract.

作者信息

Freire Antonio Fernando Diniz, Soares Alexandre Anderson de Sousa, Leal Tatiana de Carvalho Andreucci Torres, Oliveira Junior Mucio Tavares de, Soeiro Alexandre de Matos

机构信息

Hospital das Clínicas, Faculdade de Medicina, Universidade de São Paulo, São Paulo, SP, Brazil.

出版信息

Arq Bras Cardiol. 2017 Mar;108(3):281-282. doi: 10.5935/abc.20170007.

Abstract
摘要
https://cdn.ncbi.nlm.nih.gov/pmc/blobs/7ee8/5389880/9a70ea0527bd/abc-108-03-0281-g01.jpg

文献AI研究员

20分钟写一篇综述,助力文献阅读效率提升50倍。

立即体验

用中文搜PubMed

大模型驱动的PubMed中文搜索引擎

马上搜索

文档翻译

学术文献翻译模型,支持多种主流文档格式。

立即体验